Clinical products
Premium antibodies (GMP)
Intracellular staining
Surface staining
Hematology
Kits
Lysing solutions
Multicolor cocktails
Single color antibodies
Immunodeficiency
Kits
Lysing solutions
Mitogens
Multicolor cocktails
Single color antibodies
Reproductive immunology
Kits
Lysing solutions
Multicolor cocktails
New products
Allergy
Kits
Recombinant allergens
Allergen extracts
Other allergens
Research products
Antibodies
CD and related antigens
Blood group antigens
Multicolor cocktails
Serum, plasma, and secreted proteins
Cytoskeleton and ECM
Isotype controls
MHC antigens
Nucleus
Other intracellular antigens
Small organic molecules
Tags and labels
Microbiology and virology
Accessory reagents
Annexin V
DNA-binding probes
Lineage cocktail
Lysing solutions
Recombinant proteins
Streptavidin
Recombinant allergens
Animal
Food
House Dust Mite
Mold
Pollen
Venom
Kits
New products
Dry Reagents
About exbio
Company
OEM and Commercial Supplies
Events and Conferences
Blog
Inquiries
Technical resources
International distributors
Contact
Jobs
IVDR
E-mail
*
Password
*
Remember me
Forgotten password
Log in
Register
E-mail
Send request
Log in
Exbio
—
Research products
—
Antibodies
—
Serum, plasma, and secreted proteins
—
Anti-PSA Purified
Anti-PSA Purified
Regulatory status
RUO
Antigen
PSA
Clone
A67-B/E3
Format
Purified
Reactivity
Human
Application
ELISA, WB, IHC-P
Variant
0.1 mg
11-289-C100
In stock
124.30 USD
0.025 mg
11-289-C025
Delivery 1 week
62.15 USD
Variant
0.1 mg
11-289-C100
In stock
124.30 USD
0.025 mg
11-289-C025
Delivery 1 week
62.15 USD
Contact distributor
Product details
Description
Images
SDS download
Isotype
Mouse IgG1
Specificity
The mouse monoclonal antibody A67-B/E3 reacts with prostate-specific antigen (PSA), a protein produced by normal prostate cells. The highest amounts of PSA are found in the seminal fluid. This antibody recognizes both free and complexed PSA.
Workshop
TD-3 PSA Workshop
Application
ELISA, WB, IHC-P
Application details
Western blotting: Positive material: seminal plasma, reducing conditions, recommended antibody dilution: 2-5 μg/ml.
Reactivity
Human
Immunogen
30 kDa protein fraction prepared from human seminal plasma
Concentration
1 mg/ml
Preparation
Purified by protein-A affinity chromatography.
Formulation
Phosphate buffered saline (PBS), pH 7.4, 15 mM sodium azide
Storage and handling
Store at 2-8°C. Do not freeze.
Exbio licence note
The product is intended For Research Use Only. Diagnostic or therapeutic applications are strictly forbidden. Products shall not be used for resale or transfer to third parties either as a stand-alone product or as a manufacture component of another product without written consent of EXBIO Praha, a.s. EXBIO Praha, a.s. will not be held responsible for patent infringement or any other violations of intellectual property rights that may occur with the use of the products. Orders for all products are accepted subject to the Term and Conditions available at www.exbio.cz. EXBIO, EXBIO Logo, and all other trademarks are property of EXBIO Praha, a.s.
Other names
Prostate-specific antigen, Kallikrein-3, Semenogelase, Seminin
Antigen description
Prostate-specific antigen (PSA) is a protein produced by normal prostate cells. This enzyme participates in the dissolution of the seminal fluid coagulum and plays an important role in fertility. The highest amounts of PSA are found in the seminal fluid; some PSA escapes the prostate and can be found in the serum. This serum component has been used to track the response to therapy in men with prostate cancer.
Entrez Gene ID
354
UniProt ID
P07288
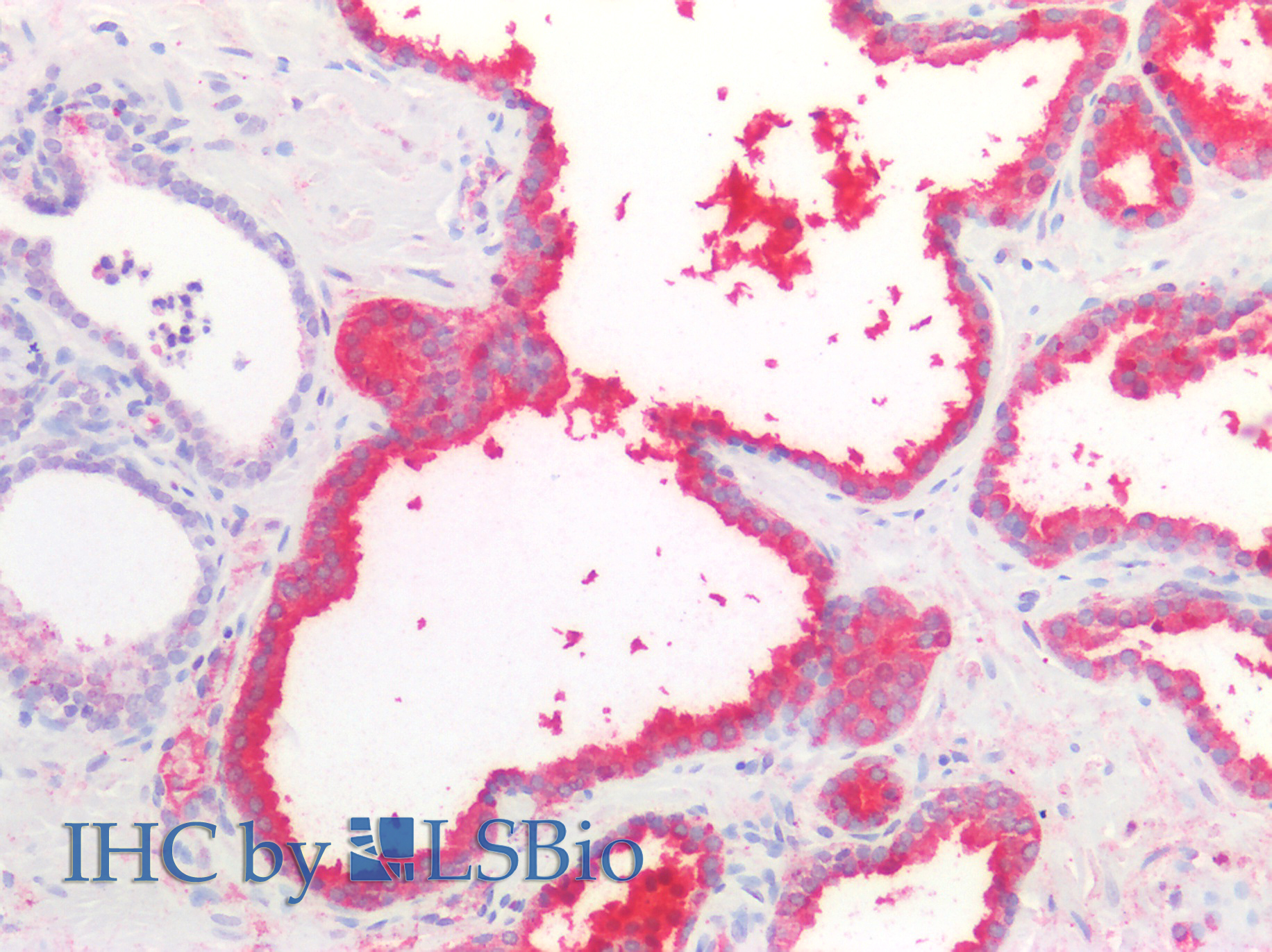
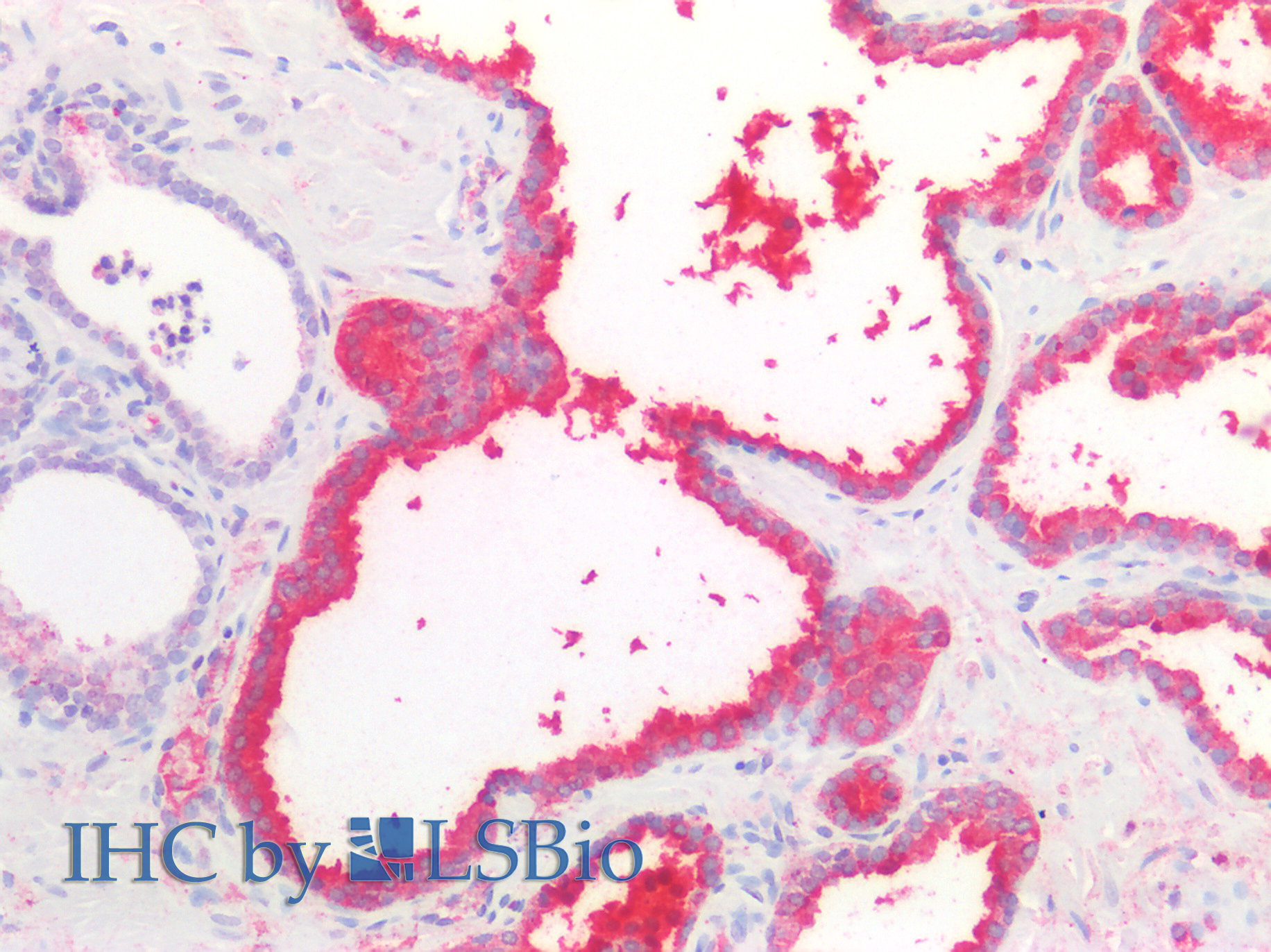
Immunohistochemistry staining of prostate (paraffin-embedded sections) with anti-human Prostate-specific antigen (A67-B/E3).
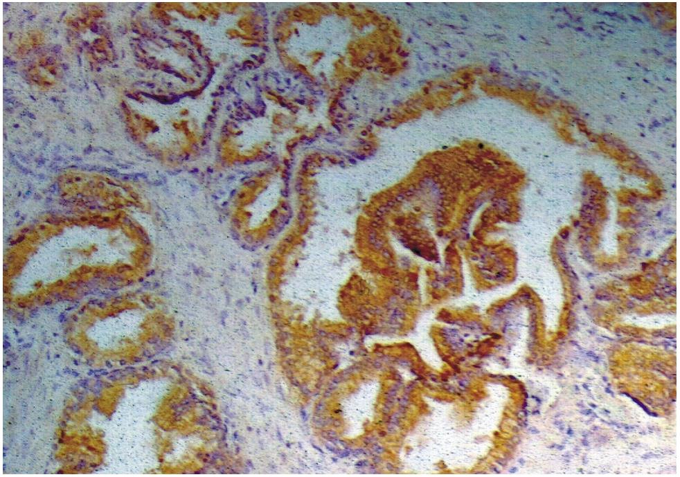
Immunohistochemistry staining of human prostate (paraffin-embedded sections) with anti-PSA (A67-B/E3), 10 μg/ml. Commercially tested by LifeSpan BioSciences.
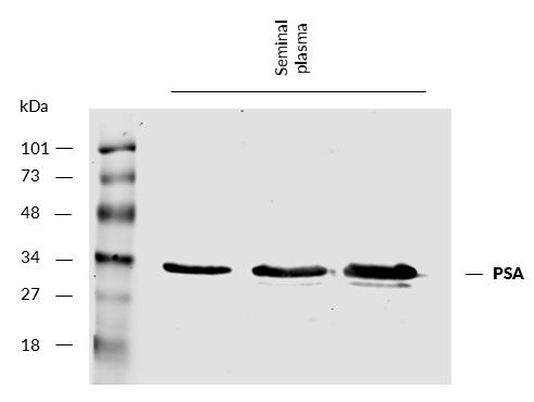
Western blotting analysis of human PSA using mouse monoclonal antibody A67-B/E3 on human seminal plasma under reducing conditions. Nitrocellulose membrane was probed with 5 µg/ml of mouse anti-PSA monoclonal antibody followed by IRDye800-conjugated anti-mouse secondary antibody. PSA was detected at approximately 30 kDa.
Further SDS language mutations available for download below. Please contact us with request for additional languages on info@exbio.cz
MPAbNaN3_SDS_v1_AU.pdf
MPAbNaN3_SDS_v1_GB.pdf
MPAbNaN3_SDS_v1_TR.pdf
MPAbNaN3_SDS_v6_AT.pdf
MPAbNaN3_SDS_v6_CH.pdf
MPAbNaN3_SDS_v6_CS.pdf
MPAbNaN3_SDS_v6_EN.pdf
MPAbNaN3_SDS_v6_ES.pdf
MPAbNaN3_SDS_v6_FR.pdf
MPAbNaN3_SDS_v6_IT.pdf
MPAbNaN3_SDS_v6_NO.pdf
MPAbNaN3_SDS_v6_PL.pdf
MPAbNaN3_SDS_v6_PT.pdf
MPAbNaN3_SDS_v6_SE.pdf
MPAbNaN3_SDS_v6_SK.pdf
MPAbNaN3_SDS_v6_SL.pdf
MPAbNaN3_SDS_v7_DE.pdf
Variant
0.1 mg
11-289-C100
In stock
124.30 USD
0.025 mg
11-289-C025
Delivery 1 week
62.15 USD
Variant
0.1 mg
11-289-C100
In stock
124.30 USD
0.025 mg
11-289-C025
Delivery 1 week
62.15 USD
Contact distributor
Datasheet download
Bulk requests
Technical support for this product
Continue to checkout
×
Zavřít