Clinical products
Premium antibodies (GMP)
Intracellular staining
Surface staining
Hematology
Kits
Lysing solutions
Multicolor cocktails
Single color antibodies
Immunodeficiency
Kits
Lysing solutions
Mitogens
Multicolor cocktails
Single color antibodies
Reproductive immunology
Kits
Lysing solutions
Multicolor cocktails
New products
Allergy
Kits
Recombinant allergens
Allergen extracts
Other allergens
Research products
Antibodies
CD and related antigens
Blood group antigens
Multicolor cocktails
Serum, plasma, and secreted proteins
Cytoskeleton and ECM
Isotype controls
MHC antigens
Nucleus
Other intracellular antigens
Small organic molecules
Tags and labels
Microbiology and virology
Accessory reagents
Annexin V
DNA-binding probes
Lineage cocktail
Lysing solutions
Recombinant proteins
Streptavidin
Recombinant allergens
Animal
Food
House Dust Mite
Mold
Pollen
Venom
Kits
New products
Dry Reagents
About exbio
Company
OEM and Commercial Supplies
Events and Conferences
Blog
Inquiries
Technical resources
International distributors
Contact
Jobs
IVDR
E-mail
*
Password
*
Remember me
Forgotten password
Log in
Register
E-mail
Send request
Log in
Exbio
—
Research products
—
Antibodies
—
Microbiology and virology
—
Anti-FTT0571 (F. tularensis ssp. tularensis) Purified
Anti-FTT0571 (F. tularensis ssp. tularensis) Purified
Regulatory status
RUO
Antigen
FTT0571 (F. tularensis ssp. tularensis)
Clone
PAb (181)
Format
Purified
Reactivity
Francisella tularensis ssp. tularensis
Application
ELISA, WB
Variant
0.1 mg
11-181-C100
In stock
203.50 USD
Variant
0.1 mg
11-181-C100
In stock
203.50 USD
Contact distributor
Product details
Description
Images
SDS download
Isotype
Rabbit polyclonal
Specificity
The rabbit polyclonal antibody to FTT0571 reacts with Francisella tularensis subsp. tularensis antigen FTT0571 (FTT_0571). The antibody does not react with Francisella tularensis subsp. holarctica homolog.
Application
ELISA, WB
Reactivity
Francisella tularensis ssp. tularensis
Immunogen
Recombinant FTT0571 protein produced in E. coli
Concentration
1 mg/ml
Preparation
Purified by protein-A affinity chromatography.
Formulation
Phosphate buffered saline (PBS), pH 7.4, 15 mM sodium azide
Storage and handling
Store at 2-8°C. Do not freeze.
Exbio licence note
The product is intended For Research Use Only. Diagnostic or therapeutic applications are strictly forbidden. Products shall not be used for resale or transfer to third parties either as a stand-alone product or as a manufacture component of another product without written consent of EXBIO Praha, a.s. EXBIO Praha, a.s. will not be held responsible for patent infringement or any other violations of intellectual property rights that may occur with the use of the products. Orders for all products are accepted subject to the Term and Conditions available at www.exbio.cz. EXBIO, EXBIO Logo, and all other trademarks are property of EXBIO Praha, a.s.
Other names
FTT_0571
Antigen description
The Francisella tularensis subsp. tularensis antigen FTT0571 (FTT_0571) is an almost uncharacterized protein structurally similar to metaxin.
Entrez Gene ID
3191185
UniProt ID
Q5NH96
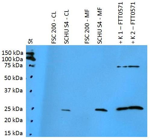
Western blotting analysis of polyclonal anti-Francisella tularensis subsp. tularensis antigen FTT0571.
St: Mw marker
FSC200-CL: 10 μg of F. tularensis ssp. holarctica FSC200 cell lysate
SCHUS4-CL: 10 μg of F. tularensis ssp. tularensis SCHU S4 cell lysate
FSC200-MF: 10 μg of F. tularensis ssp. holarctica FSC200 membrane fraction
SCHUS4-CL: 10 μg of F. tularensis ssp. tularensis SCHU S4 membrane fraction
K1: 50 ng of FTT0571 recombinant protein
K2: 125 ng of FTT0571 recombinant protein
Further SDS language mutations available for download below. Please contact us with request for additional languages on info@exbio.cz
MPAbNaN3_SDS_v1_AU.pdf
MPAbNaN3_SDS_v1_GB.pdf
MPAbNaN3_SDS_v1_TR.pdf
MPAbNaN3_SDS_v6_AT.pdf
MPAbNaN3_SDS_v6_CH.pdf
MPAbNaN3_SDS_v6_CS.pdf
MPAbNaN3_SDS_v6_EN.pdf
MPAbNaN3_SDS_v6_ES.pdf
MPAbNaN3_SDS_v6_FR.pdf
MPAbNaN3_SDS_v6_IT.pdf
MPAbNaN3_SDS_v6_NO.pdf
MPAbNaN3_SDS_v6_PL.pdf
MPAbNaN3_SDS_v6_PT.pdf
MPAbNaN3_SDS_v6_SE.pdf
MPAbNaN3_SDS_v6_SK.pdf
MPAbNaN3_SDS_v6_SL.pdf
MPAbNaN3_SDS_v7_DE.pdf
Variant
0.1 mg
11-181-C100
In stock
203.50 USD
Variant
0.1 mg
11-181-C100
In stock
203.50 USD
Contact distributor
Datasheet download
Bulk requests
Technical support for this product
Continue to checkout
×
Zavřít