Clinical products
Premium antibodies (GMP)
Intracellular staining
Surface staining
Hematology
Kits
Lysing solutions
Multicolor cocktails
Single color antibodies
Immunodeficiency
Kits
Lysing solutions
Mitogens
Multicolor cocktails
Single color antibodies
Reproductive immunology
Kits
Lysing solutions
Multicolor cocktails
New products
Allergy
Kits
Recombinant allergens
Allergen extracts
Other allergens
Research products
Antibodies
CD and related antigens
Blood group antigens
Multicolor cocktails
Serum, plasma, and secreted proteins
Cytoskeleton and ECM
Isotype controls
MHC antigens
Nucleus
Other intracellular antigens
Small organic molecules
Tags and labels
Microbiology and virology
Accessory reagents
Annexin V
DNA-binding probes
Lineage cocktail
Lysing solutions
Recombinant proteins
Streptavidin
Recombinant allergens
Animal
Food
House Dust Mite
Mold
Pollen
Venom
Kits
New products
Dry Reagents
About exbio
Company
OEM and Commercial Supplies
Events and Conferences
Blog
Inquiries
Technical resources
International distributors
Contact
Jobs
IVDR
E-mail
*
Password
*
Remember me
Forgotten password
Log in
Register
E-mail
Send request
Log in
Exbio
—
Research products
—
Antibodies
—
Other intracellular antigens
—
Anti-SLP76 Purified
Anti-SLP76 Purified
Regulatory status
RUO
Antigen
SLP76
Clone
PAb (412)
Format
Purified
Reactivity
Human
Application
WB, IHC-P
Variant
0.1 mg
11-412-C100
Ask for delivery term
HERE
203.50 USD
0.025 mg
11-412-C025
Delivery 1 week
101.75 USD
Variant
0.1 mg
11-412-C100
Ask for delivery term
HERE
203.50 USD
0.025 mg
11-412-C025
Delivery 1 week
101.75 USD
Contact distributor
Product details
Description
Images
References
SDS download
Isotype
Rabbit polyclonal
Specificity
The polyclonal antibody reacts with SLP76, a 76kDa cytosolic adaptor protein that is involved in signaling of various hematopoietic cells, such as T cells, mast cells or neutrophils; in B cells, however, it is replaced by SLP65.
Application
WB, IHC-P
Application details
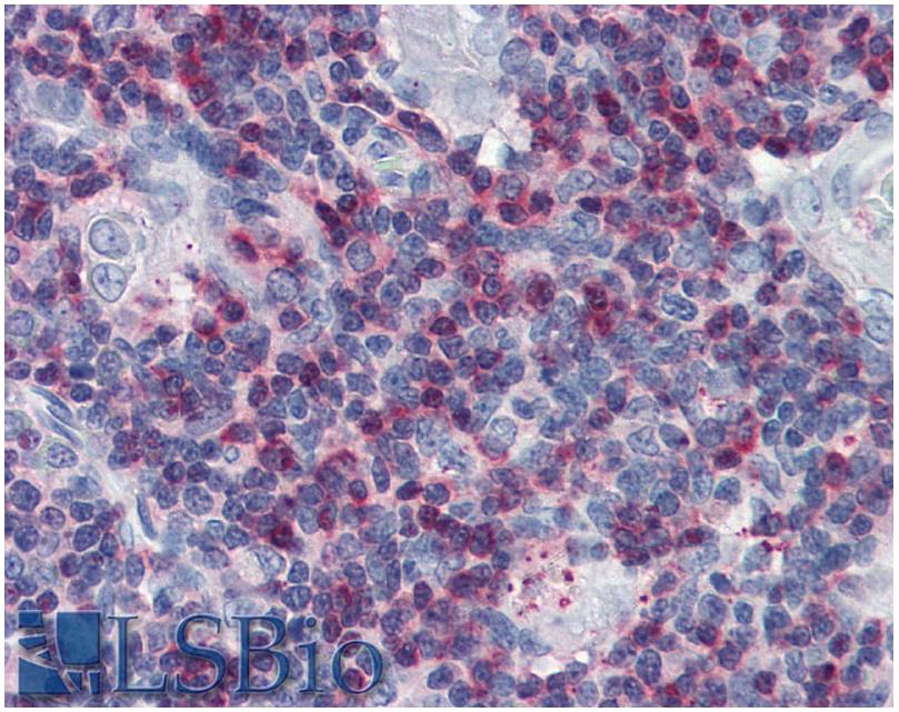
Western blotting: Positive control: JURKAT human T cell leukemia cell lysate, reducing conditions; Immunohistochemistry (paraffin sections): Recommended dilution: 10 μg/ml, positive tissue: thymus.
Reactivity
Human
Immunogen
Bacterially expressed fusion protein representing amino acids 216-434 of human SLP76 with histidine tag
Concentration
1 mg/ml
Preparation
Purified by protein-A affinity chromatography.
Formulation
Phosphate buffered saline (PBS), pH 7.4, 15 mM sodium azide
Storage and handling
Store at 2-8°C. Do not freeze.
Exbio licence note
The product is intended For Research Use Only. Diagnostic or therapeutic applications are strictly forbidden. Products shall not be used for resale or transfer to third parties either as a stand-alone product or as a manufacture component of another product without written consent of EXBIO Praha, a.s. EXBIO Praha, a.s. will not be held responsible for patent infringement or any other violations of intellectual property rights that may occur with the use of the products. Orders for all products are accepted subject to the Term and Conditions available at www.exbio.cz. EXBIO, EXBIO Logo, and all other trademarks are property of EXBIO Praha, a.s.
Other names
SLP-76, LCP2
Antigen description
SLP76 (SH2 domain-containing leukocyte protein of 76 kDa) is a cytosolic adaptor protein which translocates to the plasma mambrane and is involved in multiple signaling pathways in T cells, mast cells, neutrophils and platelets; B cells express its analog SLP65/BLNK (B cell linker protein). SLP76 is phosphorylated by Syk-family and Tec-family tyrosine kinases and couples them to the phosphorylation and activation of PLC-gamma. Via Gads or Grb2, SLP76 also associates with LAT adaptor by involvement of SLP76 proline-rich region. The SH2 domain of SLP76 has been identified as the region involved in binding the serine/threonine kinase HPK1. HPK1 may act as both a positive and a negative regulator by promoting the Jnk-mitogen activated protein kinase (MAPK) pathway and inhibiting the pathway leading to AP-1 activation.
Entrez Gene ID
3937
UniProt ID
Q13094
Immunohistochemistry staining of human thymus (paraffin sections) with anti-SLP76 polyclonal. Commercially tested by LifeSpan BioSciences.
General references:
Pivniouk VI, Martin TR, Lu-Kuo JM, Katz HR, Oettgen HC, Geha RS: SLP-76 deficiency impairs signaling via the high-affinity IgE receptor in mast cells. J Clin Invest. 1999 Jun;103(12):1737-43.
PubMed
Silverman MA, Shoag J, Wu J, Koretzky GA: Disruption of SLP-76 interaction with Gads inhibits dynamic clustering of SLP-76 and FcepsilonRI signaling in mast cells. Mol Cell Biol. 2006 Mar;26(5):1826-38.
PubMed
Koretzky GA, Abtahian F, Silverman MA: SLP76 and SLP65: complex regulation of signalling in lymphocytes and beyond. Nat Rev Immunol. 2006 Jan;6(1):67-78.
PubMed
Beach D, Gonen R, Bogin Y, Reischl IG, Yablonski D: Dual role of SLP-76 in mediating T cell receptor-induced activation of phospholipase C-gamma1. J Biol Chem. 2007 Feb 2;282(5):2937-46.
PubMed
Bogin Y, Ainey C, Beach D, Yablonski D: SLP-76 mediates and maintains activation of the Tec family kinase ITK via the T cell antigen receptor-induced association between SLP-76 and ITK. Proc Natl Acad Sci U S A. 2007 Apr 17;104(16):6638-43.
PubMed
Product specific references:
Sikorski K, Mehta A, Inngjerdingen M, Thakor F, Kling S, Kalina T, Nyman TA, Stensland ME, Zhou W, de Souza GA, Holden L, Stuchly J, Templin M, Lund-Johansen F: A high-throughput pipeline for validation of antibodies. Nat Methods. 2018 Nov;15(11):909-912.
PubMed
Further SDS language mutations available for download below. Please contact us with request for additional languages on info@exbio.cz
MPAbNaN3_SDS_v1_AU.pdf
MPAbNaN3_SDS_v1_GB.pdf
MPAbNaN3_SDS_v1_TR.pdf
MPAbNaN3_SDS_v6_AT.pdf
MPAbNaN3_SDS_v6_CH.pdf
MPAbNaN3_SDS_v6_CS.pdf
MPAbNaN3_SDS_v6_EN.pdf
MPAbNaN3_SDS_v6_ES.pdf
MPAbNaN3_SDS_v6_FR.pdf
MPAbNaN3_SDS_v6_IT.pdf
MPAbNaN3_SDS_v6_NO.pdf
MPAbNaN3_SDS_v6_PL.pdf
MPAbNaN3_SDS_v6_PT.pdf
MPAbNaN3_SDS_v6_SE.pdf
MPAbNaN3_SDS_v6_SK.pdf
MPAbNaN3_SDS_v6_SL.pdf
MPAbNaN3_SDS_v7_DE.pdf
Variant
0.1 mg
11-412-C100
Ask for delivery term
HERE
203.50 USD
0.025 mg
11-412-C025
Delivery 1 week
101.75 USD
Variant
0.1 mg
11-412-C100
Ask for delivery term
HERE
203.50 USD
0.025 mg
11-412-C025
Delivery 1 week
101.75 USD
Contact distributor
Datasheet download
Bulk requests
Technical support for this product
Continue to checkout
×
Zavřít