Clinical products
Premium antibodies (GMP)
Intracellular staining
Surface staining
Hematology
Kits
Lysing solutions
Multicolor cocktails
Single color antibodies
Immunodeficiency
Kits
Lysing solutions
Mitogens
Multicolor cocktails
Single color antibodies
Reproductive immunology
Kits
Lysing solutions
Multicolor cocktails
New products
Allergy
Kits
Recombinant allergens
Allergen extracts
Other allergens
Research products
Antibodies
CD and related antigens
Blood group antigens
Multicolor cocktails
Serum, plasma, and secreted proteins
Cytoskeleton and ECM
Isotype controls
MHC antigens
Nucleus
Other intracellular antigens
Small organic molecules
Tags and labels
Microbiology and virology
Accessory reagents
Annexin V
DNA-binding probes
Lineage cocktail
Lysing solutions
Recombinant proteins
Streptavidin
Recombinant allergens
Animal
Food
House Dust Mite
Mold
Pollen
Venom
Kits
New products
Dry Reagents
About exbio
Company
OEM and Commercial Supplies
Events and Conferences
Blog
Inquiries
Technical resources
International distributors
Contact
Jobs
IVDR
E-mail
*
Password
*
Remember me
Forgotten password
Log in
Register
E-mail
Send request
Log in
Exbio
—
Research products
—
Antibodies
—
Other intracellular antigens
—
Anti-SIT Purified
Anti-SIT Purified
Regulatory status
RUO
Antigen
SIT
Clone
SIT-01
Format
Purified
Reactivity
Human
Application
FC-IC, IP, WB
Variant
0.1 mg
11-345-C100
In stock
180.40 USD
0.025 mg
11-345-C025
Delivery 1 week
90.20 USD
Variant
0.1 mg
11-345-C100
In stock
180.40 USD
0.025 mg
11-345-C025
Delivery 1 week
90.20 USD
Contact distributor
Product details
Description
Images
References
SDS download
Isotype
Mouse IgG1
Specificity
The antibody SIT-01 reacts with an intracellular epitope of SHP2-interacting transmembrane adaptor protein (SIT) expressed exclusively in lymphoid organs. It weakly crossreacts with murine SIT.
Application
FC-IC, IP, WB
Application details
Flow cytometry: Recommended dilution: 1-5 μg/ml, intracellular staining.
Western blotting: Recommended dilution: 1-2 μg/ml, reducing conditions.
Reactivity
Human
Immunogen
Bacterially produced recombinant intracellular fragment of human SIT.
Concentration
1 mg/ml
Preparation
Purified by protein-A affinity chromatography.
Formulation
Phosphate buffered saline (PBS), pH 7.4, 15 mM sodium azide
Storage and handling
Store at 2-8°C. Do not freeze.
Exbio licence note
The product is intended For Research Use Only. Diagnostic or therapeutic applications are strictly forbidden. Products shall not be used for resale or transfer to third parties either as a stand-alone product or as a manufacture component of another product without written consent of EXBIO Praha, a.s. EXBIO Praha, a.s. will not be held responsible for patent infringement or any other violations of intellectual property rights that may occur with the use of the products. Orders for all products are accepted subject to the Term and Conditions available at www.exbio.cz. EXBIO, EXBIO Logo, and all other trademarks are property of EXBIO Praha, a.s.
Other names
SIT1
Antigen description
SIT is a 21 kDa transmembrane adaptor protein expressed exclusively in lymphoid organs. It acts either as a positive or as a negative regulatory element in T cell activation and in T cell development. Binding to Grb2 plays a pivotal role in signal transduction. Hubener et al. (2001) determined that the SIT gene contains 5 exons and spans 1.8 kb of genomic DNA. The SIT promoter demonstrated strong transcriptional activity and potential binding sites for both ubiquitous and lymphoid-specific transcription factors.
Entrez Gene ID
27240
UniProt ID
Q9Y3P8
Anti-SIT Purified (clone SIT-01) works in WB application.
Western blotting analysis was performed on whole cell extracts (RIPA lysis buffer) of Ramos and Jurkat cell lines, mixed and heated (100°C, 5 min) with reducing (2-mercaptoethanol) SDS-loading buffer. Samples were resolved using 10% SDS-PAGE gel.
Nitrocellulose membrane blot was probed simultaneously with mouse IgG1 monoclonal antibody SIT-01 (2 µg/ml), and rat IgG2a anti-tubulin monoclonal antibody YOL1/34 (1 µg/ml) used as the loading control. Subclass-specific secondary antibodies IRDye 800CW Goat-anti-Rat IgG (green) and IRDye 680LT Goat-anti-Mouse IgG (red) were used for multiplex fluorescent Western blot detection.
SIT was detected at ~32 kDa in tested cell lines.
Flow cytometry multicolor intracellular staining of human peripheral whole blood stained using anti-SIT (SIT-01) purified antibody (concentration in sample 9 μg/ml, GAM APC) and anti-human CD3 (UCHT1) Pacific Blue™ antibody (20 μl reagent / 100 μl of peripheral whole blood).
Separation of human CD3 negative SIT positive lymphocytes (red-filled) from CD3 negative SIT negative lymphocytes (black-dashed) in flow cytometry analysis (intracellular staining) of peripheral whole blood stained using anti-SIT (SIT-01) purified antibody (concentration in sample 9 μg/ml, GAM APC).
Flow cytometry intracellular staining pattern of human peripheral whole blood using anti-SIT (SIT-01) purified antibody (concentration in sample 9 μg/ml, GAM APC).
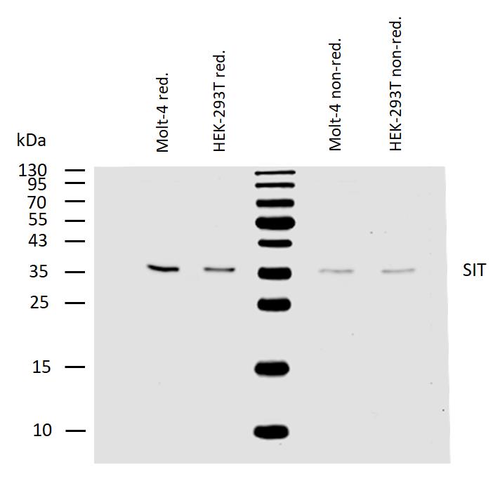
Western blotting analysis of human SIT using mouse monoclonal antibody SIT-01 on lysates of Molt-4 and HEK-293T cells under reducing and non-reducing conditions. Nitrocellulose membrane was probed with 2 µg/ml of mouse anti-SIT monoclonal antibody followed by IRDye800-conjugated anti-mouse secondary antibody. SIT was detected around 36 kDa.
Anti-SIT Purified (clone SIT-01) specificity verification by WB.
The specificity of SIT-01 antibody was assessed by comparing binding signals in HEK293T cells overexpressing the target SIT protein to wild type cells (control) with low level of endogenous protein expression.
Western blotting analysis was performed on whole cell extracts (urea lysis buffer) of transfected and control cells, mixed and heated (100°C, 5 min) with reducing (2-mercaptoethanol) SDS-loading buffer. Samples were resolved using 10% SDS-PAGE gel.
Nitrocellulose membrane blot was probed simultaneously with mouse IgG1 monoclonal antibody SIT-01 (2 µg/ml), and rat IgG2a anti-tubulin monoclonal antibody YOL1/34 (1 µg/ml) used as the loading control. Subclass-specific secondary antibodies IRDye 800CW Goat-anti-Rat IgG (green) and IRDye 680LT Goat-anti-Mouse IgG (red) were used for multiplex fluorescent Western blot detection.
General references:
Hubener C, Mincheva A, Lichter P, Schraven B, Bruyns E: Complete sequence, genomic organization, and chromosomal localization of the human gene encoding the SHP2-interacting transmembrane adaptor protein (SIT). Immunogenetics. 2001 May-Jun;53(4):337-41.
PubMed
Simeoni L, Posevitz V, Kolsch U, Meinert I, Bruyns E, Pfeffer K, Reinhold D, Schraven B: The transmembrane adapter protein SIT regulates thymic development and peripheral T-cell functions. Mol Cell Biol. 2005 Sep;25(17):7557-68.
PubMed
Marie-Cardine A, Kirchgessner H, Bruyns E, Shevchenko A, Mann M, Autschbach F, Ratnofsky S, Meuer S, Schraven B: SHP2-interacting transmembrane adaptor protein (SIT), a novel disulfide-linked dimer regulating human T cell activation. J Exp Med. 1999 Apr 19;189(8):1181-94.
PubMed
Product specific references:
Tedoldi S, Paterson JC, Hansmann ML, Natkunam Y, Rüdiger T, Angelisova P, Du MQ, Roberton H, Roncador G, Sanchez L, Pozzobon M, Masir N, Barry R, Pileri S, Mason DY, Marafioti T, Horejsí V: Transmembrane adaptor molecules: a new category of lymphoid-cell markers. Blood. 2006 Jan 1;107(1):213-21.
PubMed
Further SDS language mutations available for download below. Please contact us with request for additional languages on info@exbio.cz
MPAbNaN3_SDS_v1_AU.pdf
MPAbNaN3_SDS_v1_GB.pdf
MPAbNaN3_SDS_v1_TR.pdf
MPAbNaN3_SDS_v6_AT.pdf
MPAbNaN3_SDS_v6_CH.pdf
MPAbNaN3_SDS_v6_CS.pdf
MPAbNaN3_SDS_v6_EN.pdf
MPAbNaN3_SDS_v6_ES.pdf
MPAbNaN3_SDS_v6_FR.pdf
MPAbNaN3_SDS_v6_IT.pdf
MPAbNaN3_SDS_v6_NO.pdf
MPAbNaN3_SDS_v6_PL.pdf
MPAbNaN3_SDS_v6_PT.pdf
MPAbNaN3_SDS_v6_SE.pdf
MPAbNaN3_SDS_v6_SK.pdf
MPAbNaN3_SDS_v6_SL.pdf
MPAbNaN3_SDS_v7_DE.pdf
Variant
0.1 mg
11-345-C100
In stock
180.40 USD
0.025 mg
11-345-C025
Delivery 1 week
90.20 USD
Variant
0.1 mg
11-345-C100
In stock
180.40 USD
0.025 mg
11-345-C025
Delivery 1 week
90.20 USD
Contact distributor
Datasheet download
Bulk requests
Technical support for this product
Related products
11-457-C100
Mouse IgG1 Isotype Control Purified
-134%
Clone
PPV-06
Reg. status
RUO
Application
ELISA, FC, FC-IC, IP, WB, IHC-F, IHC-P, ICC
0.1 mg
118.80 USD
11-632-C100
Mouse IgG1 Isotype Control Purified
-134%
Clone
MOPC-21
Reg. status
RUO
Application
ELISA, FC, FC-IC, IP, WB, IHC-F, IHC-P, ICC
0.1 mg
118.80 USD
Continue to checkout
×
Zavřít