Clinical products
Premium antibodies (GMP)
Intracellular staining
Surface staining
Hematology
Kits
Lysing solutions
Multicolor cocktails
Single color antibodies
Immunodeficiency
Kits
Lysing solutions
Mitogens
Multicolor cocktails
Single color antibodies
Reproductive immunology
Kits
Lysing solutions
Multicolor cocktails
New products
Allergy
Kits
Recombinant allergens
Allergen extracts
Other allergens
Research products
Antibodies
CD and related antigens
Blood group antigens
Multicolor cocktails
Serum, plasma, and secreted proteins
Cytoskeleton and ECM
Isotype controls
MHC antigens
Nucleus
Other intracellular antigens
Small organic molecules
Tags and labels
Microbiology and virology
Accessory reagents
Annexin V
DNA-binding probes
Lineage cocktail
Lysing solutions
Recombinant proteins
Streptavidin
Recombinant allergens
Animal
Food
House Dust Mite
Mold
Pollen
Venom
Kits
New products
Dry Reagents
About exbio
Company
OEM and Commercial Supplies
Events and Conferences
Blog
Inquiries
Technical resources
International distributors
Contact
Jobs
IVDR
E-mail
*
Password
*
Remember me
Forgotten password
Log in
Register
E-mail
Send request
Log in
Exbio
—
Research products
—
Antibodies
—
Other intracellular antigens
—
Anti-PDE8A Purified
Anti-PDE8A Purified
Regulatory status
RUO
Antigen
PDE8A
Clone
EM-52
Format
Purified
Reactivity
Human
Application
WB
Variant
0.1 mg
11-710-C100
In stock
203.50 USD
0.025 mg
11-710-C025
Delivery 1 week
101.75 USD
Variant
0.1 mg
11-710-C100
In stock
203.50 USD
0.025 mg
11-710-C025
Delivery 1 week
101.75 USD
Contact distributor
Product details
Description
Images
References
SDS download
Isotype
Mouse IgG1 kappa
Specificity
The mouse monoclonal antibody EM-52 recognizes PDE8a (phosphodiesterase 8 A), an approximately 93 kDa intracellular enzyme that hydrolyzes cAMP to 5'AMP.
Application
WB
Application details
Western blotting: Recommended dilution: 1-2 μg/ml.
Reactivity
Human
Immunogen
Human PDE8a
Concentration
1 mg/ml
Preparation
Purified by protein-A affinity chromatography.
Formulation
Phosphate buffered saline (PBS), pH 7.4, 15 mM sodium azide
Storage and handling
Store at 2-8°C. Do not freeze.
Exbio licence note
The product is intended For Research Use Only. Diagnostic or therapeutic applications are strictly forbidden. Products shall not be used for resale or transfer to third parties either as a stand-alone product or as a manufacture component of another product without written consent of EXBIO Praha, a.s. EXBIO Praha, a.s. will not be held responsible for patent infringement or any other violations of intellectual property rights that may occur with the use of the products. Orders for all products are accepted subject to the Term and Conditions available at www.exbio.cz. EXBIO, EXBIO Logo, and all other trademarks are property of EXBIO Praha, a.s.
Other names
HsT19550
Antigen description
PDE8a (high affinity cAMP-specific and IBMX-insensitive 3´,5´-cyclic phosphodiesterase 8 A) is a cyclic nucleotide phosphodiesterase, which hydrolyzes cAMP, an important regulator and mediator of multiple cellular responses to extracellular signals. It is expressed in a wide variety of tissues including testis, ovary, small intestine, and colon. It is not expressed e.g. in thymus. PDE8a is composed of C-terminal catalytic domain containing two putative divalent metal sites and an N-terminal regulatory domain.
Entrez Gene ID
5151
UniProt ID
O60658
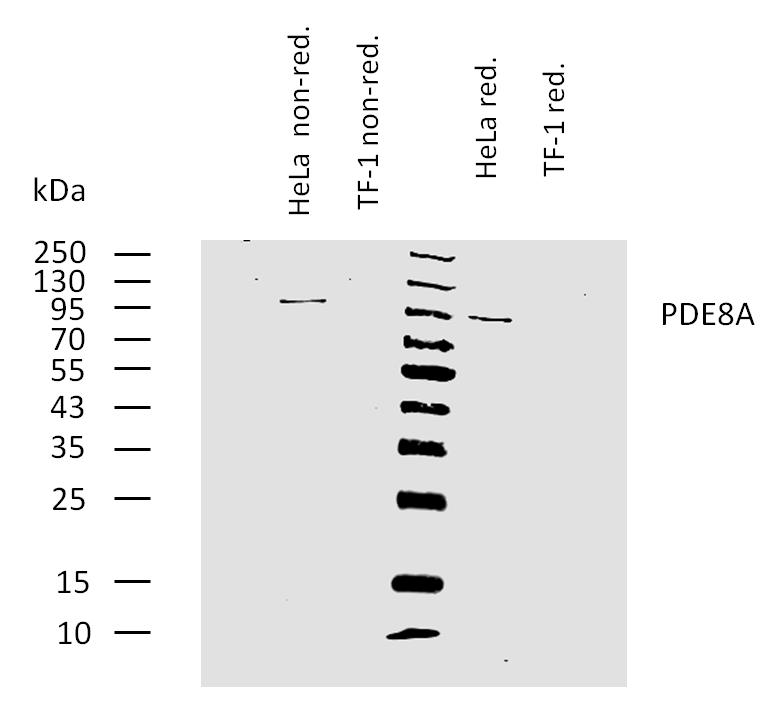
Western bloting analysis of human PDE8A using mouse monoclonal antibody EM-52 on lysates of HeLa cell line and TF-1 cell line (negative control) under non-reducing and reducing conditions. Nitrocellulose membrane was probed with 2 µg/ml of mouse monoclonal antibody anti-PDE8A followed by Alexa Fluor® 790-conjugated goat-anti-mouse secondary antibody. A specific band was detected for PDE8A at approximately 95 kDa.
General references:
Wang H, Yan Z, Yang S, Cai J, Robinson H, Ke H: Kinetic and structural studies of phosphodiesterase-8A and implication on the inhibitor selectivity. Biochemistry. 2008 Dec 2;47(48):12760-8. doi: 10.1021/bi801487x.
PubMed
Brown KM, Day JP, Huston E, Zimmermann B, Hampel K, Christian F, Romano D, Terhzaz S, Lee LC, Willis MJ, Morton DB, Beavo JA, Shimizu-Albergine M, Davies SA, Kolch W, Houslay MD, Baillie GS: Phosphodiesterase-8A binds to and regulates Raf-1 kinase. Proc Natl Acad Sci U S A. 2013 Apr 16;110(16):E1533-42
PubMed
Further SDS language mutations available for download below. Please contact us with request for additional languages on info@exbio.cz
MPAbNaN3_SDS_v1_AU.pdf
MPAbNaN3_SDS_v1_GB.pdf
MPAbNaN3_SDS_v1_TR.pdf
MPAbNaN3_SDS_v6_AT.pdf
MPAbNaN3_SDS_v6_CH.pdf
MPAbNaN3_SDS_v6_CS.pdf
MPAbNaN3_SDS_v6_EN.pdf
MPAbNaN3_SDS_v6_ES.pdf
MPAbNaN3_SDS_v6_FR.pdf
MPAbNaN3_SDS_v6_IT.pdf
MPAbNaN3_SDS_v6_NO.pdf
MPAbNaN3_SDS_v6_PL.pdf
MPAbNaN3_SDS_v6_PT.pdf
MPAbNaN3_SDS_v6_SE.pdf
MPAbNaN3_SDS_v6_SK.pdf
MPAbNaN3_SDS_v6_SL.pdf
MPAbNaN3_SDS_v7_DE.pdf
Variant
0.1 mg
11-710-C100
In stock
203.50 USD
0.025 mg
11-710-C025
Delivery 1 week
101.75 USD
Variant
0.1 mg
11-710-C100
In stock
203.50 USD
0.025 mg
11-710-C025
Delivery 1 week
101.75 USD
Contact distributor
Datasheet download
Bulk requests
Technical support for this product
Continue to checkout
×
Zavřít