Clinical products
Premium antibodies (GMP)
Intracellular staining
Surface staining
Hematology
Kits
Lysing solutions
Multicolor cocktails
Single color antibodies
Immunodeficiency
Kits
Lysing solutions
Mitogens
Multicolor cocktails
Single color antibodies
Reproductive immunology
Kits
Lysing solutions
Multicolor cocktails
New products
Allergy
Kits
Recombinant allergens
Allergen extracts
Other allergens
Research products
Antibodies
CD and related antigens
Blood group antigens
Multicolor cocktails
Serum, plasma, and secreted proteins
Cytoskeleton and ECM
Isotype controls
MHC antigens
Nucleus
Other intracellular antigens
Small organic molecules
Tags and labels
Microbiology and virology
Accessory reagents
Annexin V
DNA-binding probes
Lineage cocktail
Lysing solutions
Recombinant proteins
Streptavidin
Recombinant allergens
Animal
Food
House Dust Mite
Mold
Pollen
Venom
Kits
New products
Dry Reagents
About exbio
Company
OEM and Commercial Supplies
Events and Conferences
Blog
Inquiries
Technical resources
International distributors
Contact
Jobs
IVDR
E-mail
*
Password
*
Remember me
Forgotten password
Log in
Register
E-mail
Send request
Log in
Exbio
—
Research products
—
Antibodies
—
Nucleus
—
Anti-UBN1 Purified
Anti-UBN1 Purified
Regulatory status
RUO
Antigen
UBN1
Clone
UBN1-02
Format
Purified
Reactivity
Human
Application
IP, WB
Variant
0.1 mg
11-565-C100
In stock
203.50 USD
0.025 mg
11-565-C025
Delivery 1 week
101.75 USD
Variant
0.1 mg
11-565-C100
In stock
203.50 USD
0.025 mg
11-565-C025
Delivery 1 week
101.75 USD
Contact distributor
Product details
Description
Images
References
SDS download
Isotype
Mouse IgG1 kappa
Specificity
The antibody UBN1-02 recognizes N-terminal part of ubinuclein 1 (UBN1), a widely expressed nuclear and adhesion complex protein. Western blotting analysis reveals UBN1 as a 165 kDa band.
Application
IP, WB
Application details
Western blotting: Recommended dilution: 1-5 μg/ml; positive control: HeLa cell line.
Reactivity
Human
Immunogen
Recombinant protein corresponding to amino acids 1-190 of ubinuclein 1.
Concentration
1 mg/ml
Preparation
Purified by protein-A affinity chromatography.
Formulation
Phosphate buffered saline (PBS), pH 7.4, 15 mM sodium azide
Storage and handling
Store at 2-8°C. Do not freeze.
Exbio licence note
The product is intended For Research Use Only. Diagnostic or therapeutic applications are strictly forbidden. Products shall not be used for resale or transfer to third parties either as a stand-alone product or as a manufacture component of another product without written consent of EXBIO Praha, a.s. EXBIO Praha, a.s. will not be held responsible for patent infringement or any other violations of intellectual property rights that may occur with the use of the products. Orders for all products are accepted subject to the Term and Conditions available at www.exbio.cz. EXBIO, EXBIO Logo, and all other trademarks are property of EXBIO Praha, a.s.
Other names
Ubinuclein 1, VT4
Antigen description
Ubinuclein 1 (UBN1) is a ubiquitously expressed evolutionarily conserved protein which binds to proliferation-promoting genes that are repressed by formation of senescence-associated heterochromatin foci (SAHF). Ubinuclein 1 associates with various transcription factors and with histone methyltransferase activity, is indispensable for SAHF formation and appears to be a regulator of senescence. Although in most cells ubinuclein is localized to the nucleus, in cells forming tight junctions it is recruited to the cell adhesion complexes, dependently on the cell density.
Entrez Gene ID
29855
UniProt ID
Q6PIZ9
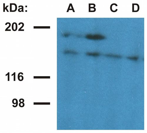
Western blotting analysis of ubinuclein in nuclear fraction of HeLa cells. The monoclonal antibody UBN1-01 (lane A, B) detects ubinuclein 1 (165 kDa) and an 180 kDa protein - presumable ubinuclein 2. The antibody UBN1-02 (lane C, D) detects ubinuclein 1. Antibody dilution: A, C - 1 μg/ml; B, D - 5 μg/ml.
General references:
Aho S, Buisson M, Pajunen T, Ryoo YW, Giot JF, Gruffat H, Sergeant A, Uitto J: Ubinuclein, a novel nuclear protein interacting with cellular and viral transcription factors. J Cell Biol. 2000 Mar 20;148(6):1165-76.
PubMed
Aho S, Lupo J, Coly PA, Sabine A, Castellazzi M, Morand P, Sergeant A, Manet E, Boyer V, Gruffat H: Characterization of the ubinuclein protein as a new member of the nuclear and adhesion complex components (NaCos). Biol Cell. 2008 Sep 30.
PubMed
Banumathy G, Somaiah N, Zhang R, Tang Y, Hoffmann J, Andrake M, Ceulemans H, Schultz D, Marmorstein R, Adams PD: Human UBN1 is an ortholog of yeast Hpc2p and has an essential role in the HIRA/ASF1a chromatin-remodeling pathway in senescent cells. Mol Cell Biol. 2009 Feb;29(3):758-70.
PubMed
Further SDS language mutations available for download below. Please contact us with request for additional languages on info@exbio.cz
MPAbNaN3_SDS_v1_AU.pdf
MPAbNaN3_SDS_v1_GB.pdf
MPAbNaN3_SDS_v1_TR.pdf
MPAbNaN3_SDS_v6_AT.pdf
MPAbNaN3_SDS_v6_CH.pdf
MPAbNaN3_SDS_v6_CS.pdf
MPAbNaN3_SDS_v6_EN.pdf
MPAbNaN3_SDS_v6_ES.pdf
MPAbNaN3_SDS_v6_FR.pdf
MPAbNaN3_SDS_v6_IT.pdf
MPAbNaN3_SDS_v6_NO.pdf
MPAbNaN3_SDS_v6_PL.pdf
MPAbNaN3_SDS_v6_PT.pdf
MPAbNaN3_SDS_v6_SE.pdf
MPAbNaN3_SDS_v6_SK.pdf
MPAbNaN3_SDS_v6_SL.pdf
MPAbNaN3_SDS_v7_DE.pdf
Variant
0.1 mg
11-565-C100
In stock
203.50 USD
0.025 mg
11-565-C025
Delivery 1 week
101.75 USD
Variant
0.1 mg
11-565-C100
In stock
203.50 USD
0.025 mg
11-565-C025
Delivery 1 week
101.75 USD
Contact distributor
Datasheet download
Bulk requests
Technical support for this product
Continue to checkout
×
Zavřít