Clinical products
Premium antibodies (GMP)
Intracellular staining
Surface staining
Hematology
Kits
Lysing solutions
Multicolor cocktails
Single color antibodies
Immunodeficiency
Kits
Lysing solutions
Mitogens
Multicolor cocktails
Single color antibodies
Reproductive immunology
Kits
Lysing solutions
Multicolor cocktails
New products
Allergy
Kits
Recombinant allergens
Allergen extracts
Other allergens
Research products
Antibodies
CD and related antigens
Blood group antigens
Multicolor cocktails
Serum, plasma, and secreted proteins
Cytoskeleton and ECM
Isotype controls
MHC antigens
Nucleus
Other intracellular antigens
Small organic molecules
Tags and labels
Microbiology and virology
Accessory reagents
Annexin V
DNA-binding probes
Lineage cocktail
Lysing solutions
Recombinant proteins
Streptavidin
Recombinant allergens
Animal
Food
House Dust Mite
Mold
Pollen
Venom
Kits
New products
Dry Reagents
About exbio
Company
OEM and Commercial Supplies
Events and Conferences
Blog
Inquiries
Technical resources
International distributors
Contact
Jobs
IVDR
E-mail
*
Password
*
Remember me
Forgotten password
Log in
Register
E-mail
Send request
Log in
Exbio
—
Research products
—
Antibodies
—
Nucleus
—
Anti-p21Waf1 Purified
Anti-p21Waf1 Purified
Regulatory status
RUO
Antigen
p21Waf1
Clone
WA-1
Format
Purified
Reactivity
Human, Non-human primates
Application
ELISA, IHC-P, ICC
Variant
0.1 mg
11-338-C100
In stock
169.40 USD
0.025 mg
11-338-C025
Delivery 1 week
84.70 USD
Variant
0.1 mg
11-338-C100
In stock
169.40 USD
0.025 mg
11-338-C025
Delivery 1 week
84.70 USD
Contact distributor
Product details
Description
Images
References
SDS download
Isotype
Mouse IgG1
Specificity
The antibody WA-1 reacts with p21 protein (Waf1, Cip1, SDI 1; intracellular antigen), a 21 kDa tumour suppressor, which inhibits the activity of cyclin-dependent family kinases and of proliferating cell nuclear antigen.
Application
ELISA, IHC-P, ICC
Application details
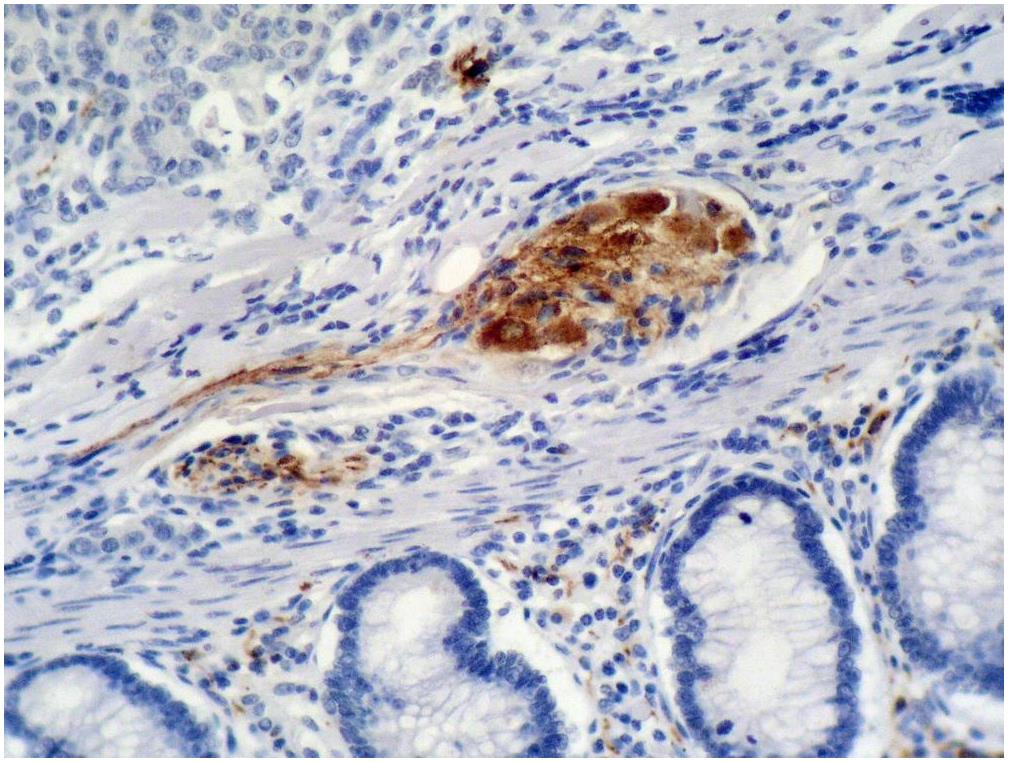
Immunohistochemistry (paraffin sections): Positive tissue: colon carcinoma.
Reactivity
Human, Non-human primates
Immunogen
Human p21 protein
Concentration
1 mg/ml
Preparation
Purified by protein-A affinity chromatography.
Formulation
Phosphate buffered saline (PBS), pH 7.4, 15 mM sodium azide
Storage and handling
Store at 2-8°C. Do not freeze.
Exbio licence note
The product is intended For Research Use Only. Diagnostic or therapeutic applications are strictly forbidden. Products shall not be used for resale or transfer to third parties either as a stand-alone product or as a manufacture component of another product without written consent of EXBIO Praha, a.s. EXBIO Praha, a.s. will not be held responsible for patent infringement or any other violations of intellectual property rights that may occur with the use of the products. Orders for all products are accepted subject to the Term and Conditions available at www.exbio.cz. EXBIO, EXBIO Logo, and all other trademarks are property of EXBIO Praha, a.s.
Other names
CDKN1A, CIP1, CAP20
Antigen description
The tumour suppressor p21Waf1 (wild-type p53-activated fragment 1; also known as Cip1, Cdk interacting protein, or SDI 1) is a cyclin-dependent kinase (Cdk) inhibitor, which is expressed by involvement of p53, Egr-1, AP2, STATs or other transcription factors upon various stimuli resulting in cell cycle arrest. Through its N-terminal domain p21Waf1 inhibits Cdk activity, whereas through the C-terminal domain it inhibits the activity of PCNA (proliferating cell nuclear antigen) to activate DNA replication. Cytosolic location of p21 counteracts its inhibitory activities.
Entrez Gene ID
1026
UniProt ID
P38936
Immunohistochemistry staining of colon carcinoma (paraffin-embedded sections) with anti-p21 (WA-1).
Immunocytochemistry staining of p21 in human primary fibroblasts using anti-p21 (WA-1; green). Actin cytoskeleton decorated by phalloidin (red) and cell nuclei stained with DAPI (blue).
General references:
Choi BH, Kim CG, Bae YS, Lim Y, Lee YH, Shin SY: p21 Waf1/Cip1 expression by curcumin in U-87MG human glioma cells: role of early growth response-1 expression. Cancer Res. 2008 Mar 1;68(5):1369-77.
PubMed
Keeshan K, Cotter TG, McKenna SL: Bcr-Abl upregulates cytosolic p21WAF-1/CIP-1 by a phosphoinositide-3-kinase (PI3K)-independent pathway. Br J Haematol. 2003 Oct;123(1):34-44.
PubMed
Waga S, Hannon GJ, Beach D, Stillman B: The p21 inhibitor of cyclin-dependent kinases controls DNA replication by interaction with PCNA. Nature. 1994 Jun 16;369(6481):574-8.
PubMed
Horky M, Kuchtickova S, Vojtesek B, Kolar F: Induction of cell-cycle inhibitor p21 in rat ventricular myocytes during early postnatal transition from hyperplasia to hypertrophy. Physiol Res. 1997;46(3):233-5.
PubMed
Zhang C, Kavurma MM, Lai A, Khachigian LM: Ets-1 protects vascular smooth muscle cells from undergoing apoptosis by activating p21WAF1/Cip1: ETS-1 regulates basal and and inducible p21WAF1/Cip: ETS-1 regulates basal and inducible p21WAF1/Cip1 transcription via distinct cis-acting elements in the p21WAF/Cip1 promoter. J Biol Chem. 2003 Jul 25;278(30):27903-9.
PubMed
Product specific references:
Kolář Z, Murray PG, Scott K, Harrison A, Vojtěšek B, Dušek J: Relation of Bcl-2 expression to androgen receptor, p21WAF1/CIP1, and cyclin D1 status in prostate cancer.
PubMed
Further SDS language mutations available for download below. Please contact us with request for additional languages on info@exbio.cz
MPAbNaN3_SDS_v1_AU.pdf
MPAbNaN3_SDS_v1_GB.pdf
MPAbNaN3_SDS_v1_TR.pdf
MPAbNaN3_SDS_v6_AT.pdf
MPAbNaN3_SDS_v6_CH.pdf
MPAbNaN3_SDS_v6_CS.pdf
MPAbNaN3_SDS_v6_EN.pdf
MPAbNaN3_SDS_v6_ES.pdf
MPAbNaN3_SDS_v6_FR.pdf
MPAbNaN3_SDS_v6_IT.pdf
MPAbNaN3_SDS_v6_NO.pdf
MPAbNaN3_SDS_v6_PL.pdf
MPAbNaN3_SDS_v6_PT.pdf
MPAbNaN3_SDS_v6_SE.pdf
MPAbNaN3_SDS_v6_SK.pdf
MPAbNaN3_SDS_v6_SL.pdf
MPAbNaN3_SDS_v7_DE.pdf
Variant
0.1 mg
11-338-C100
In stock
169.40 USD
0.025 mg
11-338-C025
Delivery 1 week
84.70 USD
Variant
0.1 mg
11-338-C100
In stock
169.40 USD
0.025 mg
11-338-C025
Delivery 1 week
84.70 USD
Contact distributor
Datasheet download
Bulk requests
Technical support for this product
Continue to checkout
×
Zavřít