Clinical products
Premium antibodies (GMP)
Intracellular staining
Surface staining
Hematology
Kits
Lysing solutions
Multicolor cocktails
Single color antibodies
Immunodeficiency
Kits
Lysing solutions
Mitogens
Multicolor cocktails
Single color antibodies
Reproductive immunology
Kits
Lysing solutions
Multicolor cocktails
New products
Allergy
Kits
Recombinant allergens
Allergen extracts
Other allergens
Research products
Antibodies
CD and related antigens
Blood group antigens
Multicolor cocktails
Serum, plasma, and secreted proteins
Cytoskeleton and ECM
Isotype controls
MHC antigens
Nucleus
Other intracellular antigens
Small organic molecules
Tags and labels
Microbiology and virology
Accessory reagents
Annexin V
DNA-binding probes
Lineage cocktail
Lysing solutions
Recombinant proteins
Streptavidin
Recombinant allergens
Animal
Food
House Dust Mite
Mold
Pollen
Venom
Kits
New products
Dry Reagents
About exbio
Company
OEM and Commercial Supplies
Events and Conferences
Blog
Inquiries
Technical resources
International distributors
Contact
Jobs
IVDR
E-mail
*
Password
*
Remember me
Forgotten password
Log in
Register
E-mail
Send request
Log in
Exbio
—
Research products
—
Antibodies
—
MHC antigens
—
Anti-HLA-E Purified
Anti-HLA-E Purified
Regulatory status
RUO
Antigen
HLA-E
Clone
MEM-E/07
Format
Purified
Reactivity
Human
Application
IP, FC (QC tested), IHC-P
Variant
0.1 mg
11-397-C100
In stock
192.50 USD
0.025 mg
11-397-C025
Delivery 1 week
96.25 USD
Variant
0.1 mg
11-397-C100
In stock
192.50 USD
0.025 mg
11-397-C025
Delivery 1 week
96.25 USD
Contact distributor
Product details
Description
Images
References
SDS download
Isotype
Mouse IgG1
Specificity
The antibody MEM-E/07 recognizes an extracellular epitope on native surface-expressed HLA-E, but not denaturated heavy chain of HLA-E. HLA-E belongs to the MHC Class I molecules (MHC Class Ib; nonclassical) and it is expressed on many types of the human cells. The published results revealed that the antibody cross-reacts with some classical MHC Class I molecules (MHC Class Ia): HLA-B7 (strongly), HLA-B8 (moderately), HLA-B27, -B44 (weakly).
Application
IP, FC (QC tested), IHC-P
Application details
Immunohistochemistry (paraffin sections): Recommended dilution: 10 μg/ml; positive tissue: spleen.
Flow cytometry: Recommended dilution: 1-4 µg/ml
Reactivity
Human
Immunogen
Bacterially expressed recombinant HLA-E refolded with beta2-microglobulin and peptide.
Concentration
1 mg/ml
Preparation
Purified by protein-A affinity chromatography.
Formulation
Phosphate buffered saline (PBS), pH 7.4, 15 mM sodium azide
Storage and handling
Store at 2-8°C. Do not freeze.
Exbio licence note
The product is intended For Research Use Only. Diagnostic or therapeutic applications are strictly forbidden. Products shall not be used for resale or transfer to third parties either as a stand-alone product or as a manufacture component of another product without written consent of EXBIO Praha, a.s. EXBIO Praha, a.s. will not be held responsible for patent infringement or any other violations of intellectual property rights that may occur with the use of the products. Orders for all products are accepted subject to the Term and Conditions available at www.exbio.cz. EXBIO, EXBIO Logo, and all other trademarks are property of EXBIO Praha, a.s.
Other names
HLA class I histocompatibility antigen, alpha chain E, MHC class I antigen E
Antigen description
HLA-E (human leukocyte antigen E) is a non-classical MHC I antigen, which is important for dialogue with NK cells and their regulation through interaction with CD94/NKG2 receptor. Like other MHC I molecules, transmembrane HLA-E molecule (45 kDa) associates with beta2 microglobulin. Unlike HLA-G, expression of HLA-E molecules is not so restricted, but it has been detected at least at mRNA level in virtually all cells and tissues examined. In peripheral blood, HLA-E protein is expressed at least in all mononuclear cells, but in different quantity (B cells and monocytes more than T cells and NK cells).
Entrez Gene ID
3133
UniProt ID
P13747
Separation of HLA-E transfected LCL cells stained using anti-human HLA-E (MEM-E/07) purified antibody (concentration in sample 2 μg/ml, red-filled) from HLA-E transfected LCL cells stained using mouse IgG1 isotype control (MOPC-21) purified antibody (concentration in sample 2 μg/ml, same as HLA-E purified antibody concentration, black-dashed) in flow cytometry analysis (surface staining).
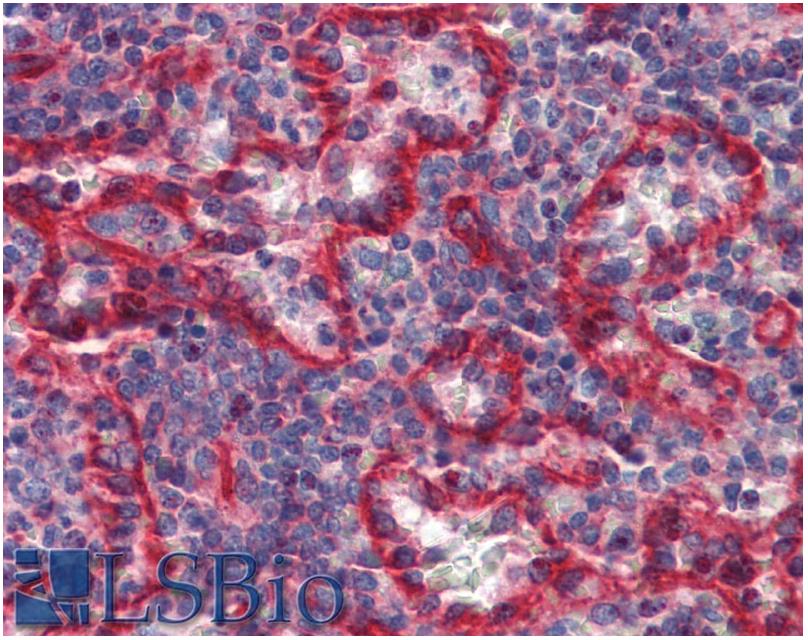
Immunohistochemistry staining of human spleen (paraffin sections) with anti-HLA-E (clone MEM-E/07). Commercially tested by LifeSpan BioSciences.
Product specific references:
Nachmani D, Zimmermann A, Oiknine Djian E, Weisblum Y, Livneh Y, Khanh Le VT, Galun E, Horejsi V, Isakov O, Shomron N, Wolf DG, Hengel H, Mandelboim O: MicroRNA editing facilitates immune elimination of HCMV infected cells. PLoS Pathog. 2014 Feb 27;10(2):e1003963.
PubMed
Lo Monaco E, Tremante E, Cerboni C, Melucci E, Sibilio L, Zingoni A, Nicotra MR, Natali PG, Giacomini P: Human leukocyte antigen E contributes to protect tumor cells from lysis by natural killer cells. Neoplasia. 2011 Sep;13(9):822-30.
PubMed
Palmisano GL, Contardi E, Morabito A, Gargaglione V, Ferrara GB, Pistillo MP.: HLA-E surface expression is independent of the availability of HLA class I signal sequence-derived peptides in human tumor cell lines. Hum Immunol. 2005 Jan;66(1):1-12.
PubMed
Sibilio L. et al., Tissue Antigens 62, 339, 2003. (Abstract 45 from the 3rd Int. Conference on HLA-G, Paris, July 2003).
Further SDS language mutations available for download below. Please contact us with request for additional languages on info@exbio.cz
MPAbNaN3_SDS_v1_AU.pdf
MPAbNaN3_SDS_v1_GB.pdf
MPAbNaN3_SDS_v1_TR.pdf
MPAbNaN3_SDS_v6_AT.pdf
MPAbNaN3_SDS_v6_CH.pdf
MPAbNaN3_SDS_v6_CS.pdf
MPAbNaN3_SDS_v6_EN.pdf
MPAbNaN3_SDS_v6_ES.pdf
MPAbNaN3_SDS_v6_FR.pdf
MPAbNaN3_SDS_v6_IT.pdf
MPAbNaN3_SDS_v6_NO.pdf
MPAbNaN3_SDS_v6_PL.pdf
MPAbNaN3_SDS_v6_PT.pdf
MPAbNaN3_SDS_v6_SE.pdf
MPAbNaN3_SDS_v6_SK.pdf
MPAbNaN3_SDS_v6_SL.pdf
MPAbNaN3_SDS_v7_DE.pdf
Variant
0.1 mg
11-397-C100
In stock
192.50 USD
0.025 mg
11-397-C025
Delivery 1 week
96.25 USD
Variant
0.1 mg
11-397-C100
In stock
192.50 USD
0.025 mg
11-397-C025
Delivery 1 week
96.25 USD
Contact distributor
Datasheet download
Bulk requests
Technical support for this product
Related products
ED7066
EXCELLYSE Easy
-134%
Clone
Reg. status
CE IVD
Application
FC
100 ml
220.00 USD
ED7065
EXCELLYSE I
-134%
Clone
Reg. status
CE IVD
Application
FC
100 ml
66.00 USD
ED7068
EXCELLYSE Live
-134%
Clone
Reg. status
RUO
Application
FC
100 ml
55.00 USD
11-457-C100
Mouse IgG1 Isotype Control Purified
-134%
Clone
PPV-06
Reg. status
RUO
Application
ELISA, FC, FC-IC, IP, WB, IHC-F, IHC-P, ICC
0.1 mg
118.80 USD
11-632-C100
Mouse IgG1 Isotype Control Purified
-134%
Clone
MOPC-21
Reg. status
RUO
Application
ELISA, FC, FC-IC, IP, WB, IHC-F, IHC-P, ICC
0.1 mg
118.80 USD
Continue to checkout
×
Zavřít