Clinical products
Premium antibodies (GMP)
Intracellular staining
Surface staining
Hematology
Kits
Lysing solutions
Multicolor cocktails
Single color antibodies
Immunodeficiency
Kits
Lysing solutions
Mitogens
Multicolor cocktails
Single color antibodies
Reproductive immunology
Kits
Lysing solutions
Multicolor cocktails
New products
Allergy
Kits
Recombinant allergens
Allergen extracts
Other allergens
Research products
Antibodies
CD and related antigens
Blood group antigens
Multicolor cocktails
Serum, plasma, and secreted proteins
Cytoskeleton and ECM
Isotype controls
MHC antigens
Nucleus
Other intracellular antigens
Small organic molecules
Tags and labels
Microbiology and virology
Accessory reagents
Annexin V
DNA-binding probes
Lineage cocktail
Lysing solutions
Recombinant proteins
Streptavidin
Recombinant allergens
Animal
Food
House Dust Mite
Mold
Pollen
Venom
Kits
New products
Dry Reagents
About exbio
Company
OEM and Commercial Supplies
Events and Conferences
Blog
Inquiries
Technical resources
International distributors
Contact
Jobs
IVDR
E-mail
*
Password
*
Remember me
Forgotten password
Log in
Register
E-mail
Send request
Log in
Exbio
—
Research products
—
Antibodies
—
MHC antigens
—
Anti-HLA-DR/DP Purified
Anti-HLA-DR/DP Purified
Regulatory status
RUO
Antigen
HLA-DR/DP
Clone
HL-38
Format
Purified
Reactivity
Pig, Human
Application
IP, WB, FC (QC tested), IHC-P
Variant
0.1 mg
11-239-C100
In stock
147.40 USD
0.025 mg
11-239-C025
Delivery 1 week
73.70 USD
Variant
0.1 mg
11-239-C100
In stock
147.40 USD
0.025 mg
11-239-C025
Delivery 1 week
73.70 USD
Contact distributor
Product details
Images
References
SDS download
Isotype
Mouse IgG2a
Specificity
The antibody HL-38 recognizes an extracellular common epitope on beta-chain of human HLA-DR and HLA-DP. DR and DP are the isotypes of human MHC Class II molecules expressed on antigen-presenting cells (APC; dendritic cells, B lymphocytes, monocytes, macrophages).
Application
IP, WB, FC (QC tested), IHC-P
Application details
Western blotting: Recommended dilution: 1 µg/ml
Flow cytometry: Recommended dilution: 1-4 µg/ml
Reactivity
Pig, Human
Immunogen
Raji Burkitt's lymphoma cell line
Concentration
1 mg/ml
Preparation
Purified by protein-A affinity chromatography.
Formulation
Phosphate buffered saline (PBS), pH 7.4, 15 mM sodium azide
Storage and handling
Store at 2-8°C. Do not freeze.
Exbio licence note
The product is intended For Research Use Only. Diagnostic or therapeutic applications are strictly forbidden. Products shall not be used for resale or transfer to third parties either as a stand-alone product or as a manufacture component of another product without written consent of EXBIO Praha, a.s. EXBIO Praha, a.s. will not be held responsible for patent infringement or any other violations of intellectual property rights that may occur with the use of the products. Orders for all products are accepted subject to the Term and Conditions available at www.exbio.cz. EXBIO, EXBIO Logo, and all other trademarks are property of EXBIO Praha, a.s.
Separation of human HLA-DR/DP positive lymphocytes (red-filled) from HLA-DR/DP negative lymphocytes (black-dashed) in flow cytometry analysis (surface staining) of human peripheral whole blood stained using anti-human HLA-DR/DP (HL-38) purified antibody (concentration in sample 6 μg/ml, GAM APC).
Flow cytometry surface staining pattern of human peripheral whole blood stained using anti-human HLA-DR/DP (HL-38) purified antibody (concentration in sample 6 μg/ml, GAM APC).
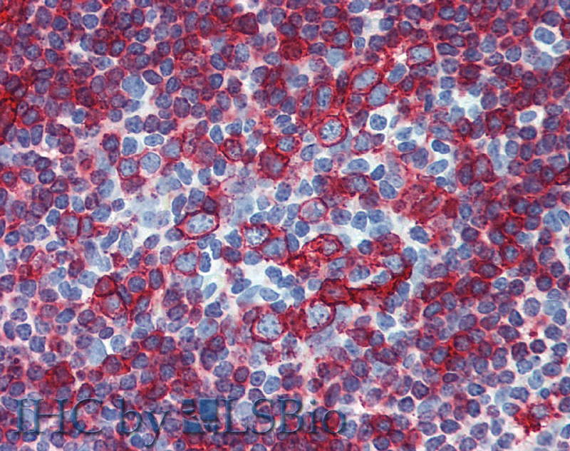
Immunohistochemistry staining of human small intestine (paraffin-embedded sections) with anti-HLA-DR+DP (HL-38). Commercially tested by LifeSpan BioSciences.
Anti-HLA-DR/DP (clone HL-38) works in WB application under reducing and non-reducing conditions.
Western blotting analysis was performed on whole cell extracts (RIPA lysis buffer) of Raji and Jurkat cell lines, mixed and heated (100°C, 5 min) with reducing and non-reducing SDS-loading buffer. Samples were resolved using 10% SDS-PAGE gel.
Nitrocellulose membrane blot was probed with mouse IgG2a monoclonal antibody HL-38 (1 µg/ml), followed by IRDye 800CW Goat-anti-Mouse IgG (green). Multiplex fluorescent Western blot detection was performed.
HLA-DR/DP molecules were detected at ~25 kDa in Raji cell line.
Product specific references:
Horejsi V, Nemec M, Angelisova P, Kristofova H, Gorga JC, Hilgert I: Characterization of seven new monoclonal antibodies against human DR, DR + DP and DQ1 + DQ3 antigens. Tissue Antigens. 1986 Nov;28(5):288-97.
PubMed
Further SDS language mutations available for download below. Please contact us with request for additional languages on info@exbio.cz
MPAbNaN3_SDS_v1_AU.pdf
MPAbNaN3_SDS_v1_GB.pdf
MPAbNaN3_SDS_v1_TR.pdf
MPAbNaN3_SDS_v6_AT.pdf
MPAbNaN3_SDS_v6_CH.pdf
MPAbNaN3_SDS_v6_CS.pdf
MPAbNaN3_SDS_v6_EN.pdf
MPAbNaN3_SDS_v6_ES.pdf
MPAbNaN3_SDS_v6_FR.pdf
MPAbNaN3_SDS_v6_IT.pdf
MPAbNaN3_SDS_v6_NO.pdf
MPAbNaN3_SDS_v6_PL.pdf
MPAbNaN3_SDS_v6_PT.pdf
MPAbNaN3_SDS_v6_SE.pdf
MPAbNaN3_SDS_v6_SK.pdf
MPAbNaN3_SDS_v6_SL.pdf
MPAbNaN3_SDS_v7_DE.pdf
Variant
0.1 mg
11-239-C100
In stock
147.40 USD
0.025 mg
11-239-C025
Delivery 1 week
73.70 USD
Variant
0.1 mg
11-239-C100
In stock
147.40 USD
0.025 mg
11-239-C025
Delivery 1 week
73.70 USD
Contact distributor
Datasheet download
Bulk requests
Technical support for this product
Related products
ED7066
EXCELLYSE Easy
-134%
Clone
Reg. status
CE IVD
Application
FC
100 ml
220.00 USD
ED7065
EXCELLYSE I
-134%
Clone
Reg. status
CE IVD
Application
FC
100 ml
66.00 USD
ED7068
EXCELLYSE Live
-134%
Clone
Reg. status
RUO
Application
FC
100 ml
55.00 USD
11-724-C100
Mouse IgG2a Isotype Control Purified
-134%
Clone
MOPC-173
Reg. status
RUO
Application
ELISA, FC, FC-IC, IP, WB, IHC-F, IHC-P, ICC
0.1 mg
118.80 USD
11-458-C100
Mouse IgG2a Isotype Control Purified
-134%
Clone
PPV-04
Reg. status
RUO
Application
ELISA, FC, FC-IC, IP, WB, IHC-F, IHC-P, ICC
0.1 mg
118.80 USD
Continue to checkout
×
Zavřít