Clinical products
Premium antibodies (GMP)
Intracellular staining
Surface staining
Hematology
Kits
Lysing solutions
Multicolor cocktails
Single color antibodies
Immunodeficiency
Kits
Lysing solutions
Mitogens
Multicolor cocktails
Single color antibodies
Reproductive immunology
Kits
Lysing solutions
Multicolor cocktails
New products
Allergy
Kits
Recombinant allergens
Allergen extracts
Other allergens
Research products
Antibodies
CD and related antigens
Blood group antigens
Multicolor cocktails
Serum, plasma, and secreted proteins
Cytoskeleton and ECM
Isotype controls
MHC antigens
Nucleus
Other intracellular antigens
Small organic molecules
Tags and labels
Microbiology and virology
Accessory reagents
Annexin V
DNA-binding probes
Lineage cocktail
Lysing solutions
Recombinant proteins
Streptavidin
Recombinant allergens
Animal
Food
House Dust Mite
Mold
Pollen
Venom
Kits
New products
Dry Reagents
About exbio
Company
OEM and Commercial Supplies
Events and Conferences
Blog
Inquiries
Technical resources
International distributors
Contact
Jobs
IVDR
E-mail
*
Password
*
Remember me
Forgotten password
Log in
Register
E-mail
Send request
Log in
Exbio
—
Research products
—
Antibodies
—
Cytoskeleton and ECM
—
Anti-Hu Tenascin C Purified
Anti-Hu Tenascin C Purified
Regulatory status
RUO
Antigen
Tenascin C
Clone
T2H5
Format
Purified
Reactivity
Human
Application
IP, WB, IHC-P
Variant
0.1 mg
11-370-C100
In stock
169.40 USD
0.025 mg
11-370-C025
Delivery 1 week
84.70 USD
Variant
0.1 mg
11-370-C100
In stock
169.40 USD
0.025 mg
11-370-C025
Delivery 1 week
84.70 USD
Contact distributor
Product details
Description
Images
References
SDS download
Isotype
Mouse IgG1
Specificity
The antibody T2H5 recognizes tenascin C, a large hexameric extracellular matrix glycoprotein.
Application
IP, WB, IHC-P
Application details
Immunohistochemistry (paraffin sections): Immunohistochemical detection of tenascin is valuable for studies of tissue differentiation and tumour growth. The antibody T2H5 is excellent for staining of paraffin-embedded tissue sections. Heat-mediated antigen retrieval in citrate buffer.
Western blotting: Recommended dilution: 1-2 μg/ml.
Reactivity
Human
Immunogen
Protein preparation from a homogenate of a human mammary tumour specimen.
Concentration
1 mg/ml
Preparation
Purified by protein-A affinity chromatography.
Formulation
Tris buffered saline (TBS), pH 8.0, 15 mM sodium azide
Storage and handling
Store at 2-8°C. Do not freeze.
Exbio licence note
The product is intended For Research Use Only. Diagnostic or therapeutic applications are strictly forbidden. Products shall not be used for resale or transfer to third parties either as a stand-alone product or as a manufacture component of another product without written consent of EXBIO Praha, a.s. EXBIO Praha, a.s. will not be held responsible for patent infringement or any other violations of intellectual property rights that may occur with the use of the products. Orders for all products are accepted subject to the Term and Conditions available at www.exbio.cz. EXBIO, EXBIO Logo, and all other trademarks are property of EXBIO Praha, a.s.
Other names
TNC, Hexabrachion, Cytotactin, Neuronectin
Antigen description
Tenascin C is an approximately 250 kDa extracellular matrix glycoprotein with important roles in the nervous system, as it promotes correct migration of growing axons during development and during neuronal regeneration. It is also involved in synaptic plasticity. Ligands of tenascin C are integrins alpha-8/beta-1, alpha-9/beta-1, alpha-V/beta-3, and alpha-V/beta-6. Similarly to neural cells, it also stimulates angiogenesis by promoting elongation and migration of endothelial cells.
Entrez Gene ID
3371
UniProt ID
P24821
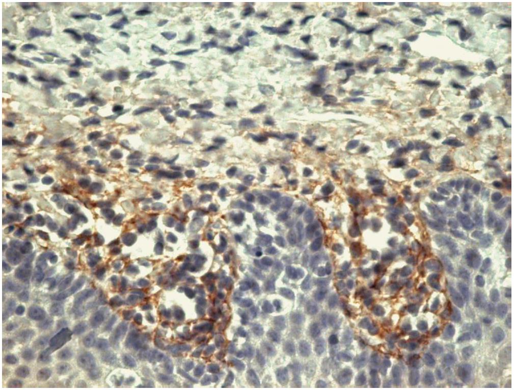
Immunohistochemistry staining of tonsil (paraffin-embedded sections) with anti-human tenascin C (T2H5).
Separation of U-87 MG cells stained using anti-tenascin C (T2H5) purified antibody (concentration in sample 12 μg/ml, GAM FITC, red-filled) from U-87 MG cells unstained by primary antibody (GAM FITC, black-dashed) in flow cytometry analysis (surface staining).
Immunocytochemistry staining of tenascin C in U-87 MG cells using purified mouse monoclonal antibody T2H7 (concentration in sample 12 μg/ml, GAM FITC, right picture) vs. Hoechst 34580 nuclear staining (left picture).
Western blotting analysis of human tenascin C using mouse monoclonal antibody T2H5 on lysates of U87-MG cell line and Jurkat cell line (tenascin non-expressing cell line; negative control) under non-reducing and reducing conditions. Cells were lysed by 50 mM TRIS-Cl pH 6.6, 4M urea, 4% SDS, samples were mixed and heated (100°C, 5 min) with reducing and non-reducing SDS-loading buffer, then resolved using 7.5% Tris-glycine SDS gel electrophoresis. Nitrocellulose membrane was probed with 2 µg/ml of mouse anti-tenascin monoclonal antibody followed by IRDye800-conjugated anti-mouse secondary antibody. Tenascin C was detected slightly above 250 kDa.
Product specific references:
Ioachim E, Charchanti A, Briasoulis E, Karavasilis V, Tsanou H, Arvanitis DL, Agnantis NJ, Pavlidis N: Immunohistochemical expression of extracellular matrix components tenascin, fibronectin, collagen type IV and laminin in breast cancer: their prognostic value and role in tumour invasion and progression. Eur J Cancer. 2002 Dec;38(18):2362-70.
PubMed
Gulubova M: Immunohistochemical localization of collagen type III and type IV, laminin, tenascin and alpha-smooth muscle actin (alphaSMA) in the human liver in peliosis. Pathol Res Pract. 2002;198(12):803-12.
PubMed
Faustino AM, van Garderen E, Schalken JA, Nederbragt H: Tenascin expression in normal, hyperplastic, dysplastic and neoplastic canine mammary tissues. J Comp Pathol. 2002 Jan;126(1):1-8.
PubMed
Tokes AM, Hortovanyi E, Csordas G, Kulka J, Mozes G, Hatalyak A, Kadar A: Immunohistochemical localisation of tenascin in invasive ductal carcinoma of the breast. Anticancer Res. 1999 Jan-Feb;19(1A):175-9.
PubMed
Bhattacharyya S, Wang W, Morales-Nebreda L, Feng G, Wu M, Zhou X, Lafyatis R, Lee J, Hinchcliff M, Feghali-Bostwick C, Lakota K, Scott Budinger GS, Raparia K, Tamaki Z, Varga J: Tenascin-C drives persistence of organ fibrosis. Nat Commun. 2016 Jun 3;7:11703
PubMed
Seyger MM, van Bruggen MC, Hardeman HK, van den Hoogen FH, Berden JH, van den Born J, de Jong EM: Decreased staining of heparan sulfate in non-lesional skin of a subgroup of patients with systemic lupus erythematosus. Acta Derm Venereol. 1998 Sep;78(5):326-30.
PubMed
Le Poole IC, van den Wijngaard RM, Westerhof W, Das PK: Tenascin is overexpressed in vitiligo lesional skin and inhibits melanocyte adhesion. Br J Dermatol. 1997 Aug;137(2):171-8
PubMed
Verstraeten AA, Mackie EJ, Hageman PC, Hilgers J, Schol DJ, de Jongh GJ, Schalkwijk J: Tenascin expression in basal cell carcinoma. Br J Dermatol. 1992 Dec;127(6):571-4
PubMed
Mansour RG, Stamper L, Jaeger F, McGuire E, Fouda G, Amos J, Barbas K, Ohashi T, Alam SM, Erickson H, Permar SR: The presence and anti-HIV-1 function of tenascin C in breast milk and genital fluids. PLoS One. 2016 May 16;11(5):e0155261.
PubMed
Latijnhouwers MA, Bergers M, Kuijpers AL, van der Vleuten CJ, Dijkman H, van de Kerkhof PC, J Schalkwijk: Tenascin-C is not a useful marker for disease activity in psoriasis. Acta Derm Venereol. 1998 Sep;78(5):331-4.
PubMed
Schalkwijk J, Zweers MC, Steijlen PM, Dean WB, Taylor G, van Vlijmen IM, van Haren B, Miller WL, Bristow J: A recessive form of the Ehlers-Danlos syndrome caused by tenascin-X deficiency. N Engl J Med. 2001 Oct 18;345(16):1167-75.
PubMed
Further SDS language mutations available for download below. Please contact us with request for additional languages on info@exbio.cz
MPAbNaN3_SDS_v1_AU.pdf
MPAbNaN3_SDS_v1_GB.pdf
MPAbNaN3_SDS_v1_TR.pdf
MPAbNaN3_SDS_v6_AT.pdf
MPAbNaN3_SDS_v6_CH.pdf
MPAbNaN3_SDS_v6_CS.pdf
MPAbNaN3_SDS_v6_EN.pdf
MPAbNaN3_SDS_v6_ES.pdf
MPAbNaN3_SDS_v6_FR.pdf
MPAbNaN3_SDS_v6_IT.pdf
MPAbNaN3_SDS_v6_NO.pdf
MPAbNaN3_SDS_v6_PL.pdf
MPAbNaN3_SDS_v6_PT.pdf
MPAbNaN3_SDS_v6_SE.pdf
MPAbNaN3_SDS_v6_SK.pdf
MPAbNaN3_SDS_v6_SL.pdf
MPAbNaN3_SDS_v7_DE.pdf
Variant
0.1 mg
11-370-C100
In stock
169.40 USD
0.025 mg
11-370-C025
Delivery 1 week
84.70 USD
Variant
0.1 mg
11-370-C100
In stock
169.40 USD
0.025 mg
11-370-C025
Delivery 1 week
84.70 USD
Contact distributor
Datasheet download
Bulk requests
Technical support for this product
Continue to checkout
×
Zavřít