Clinical products
Premium antibodies (GMP)
Intracellular staining
Surface staining
Hematology
Kits
Lysing solutions
Multicolor cocktails
Single color antibodies
Immunodeficiency
Kits
Lysing solutions
Mitogens
Multicolor cocktails
Single color antibodies
Reproductive immunology
Kits
Lysing solutions
Multicolor cocktails
New products
Allergy
Kits
Recombinant allergens
Allergen extracts
Other allergens
Research products
Antibodies
CD and related antigens
Blood group antigens
Multicolor cocktails
Serum, plasma, and secreted proteins
Cytoskeleton and ECM
Isotype controls
MHC antigens
Nucleus
Other intracellular antigens
Small organic molecules
Tags and labels
Microbiology and virology
Accessory reagents
Annexin V
DNA-binding probes
Lineage cocktail
Lysing solutions
Recombinant proteins
Streptavidin
Recombinant allergens
Animal
Food
House Dust Mite
Mold
Pollen
Venom
Kits
New products
Dry Reagents
About exbio
Company
OEM and Commercial Supplies
Events and Conferences
Blog
Inquiries
Technical resources
International distributors
Contact
Jobs
IVDR
E-mail
*
Password
*
Remember me
Forgotten password
Log in
Register
E-mail
Send request
Log in
Exbio
—
Research products
—
Antibodies
—
Cytoskeleton and ECM
—
Anti-GFAP Purified
Anti-GFAP Purified
Regulatory status
RUO
Antigen
GFAP
Clone
GF-01
Format
Purified
Reactivity
Pig, Cat, Human
Application
IP, WB, IHC-P, ICC
Variant
0.1 mg
11-255-C100
In stock
180.40 USD
0.025 mg
11-255-C025
Delivery 1 week
90.20 USD
Variant
0.1 mg
11-255-C100
In stock
180.40 USD
0.025 mg
11-255-C025
Delivery 1 week
90.20 USD
Contact distributor
Product details
Description
Images
References
SDS download
Isotype
Mouse IgG1
Specificity
The antibody GF-01 reacts with GFAP, the principal marker of astroglial cells in the central nervous system, which is specifically expressed in satellite cells in peripheral ganglia and in non myelinating Schwann cells in peripheral nerves. The GFAP protein runs on gels at ~55 kDa protein, usually associated with lower Mw bands which are thought to be proteolytic fragments and alternate transcripts from the single gene.
Application
IP, WB, IHC-P, ICC
Application details
Immunohistochemistry (paraffin sections): Recommended dilution: 10 μg/ml; positive tissue: human brain (cortex, cerebellum). The antibody GF-01 strongly stains astrocytes in human brain tissue sections but it is essentially negative on mouse and rat tissues.
Immunocytochemistry: Recommended dilution: 5-10 μg/ml.
Reactivity
Pig, Cat, Human
Negative species
Rat
Immunogen
Pellet of porcine brain cold-stable proteins after depolymerization of microtubules.
Concentration
1 mg/ml
Preparation
Purified by protein-A affinity chromatography.
Formulation
Phosphate buffered saline (PBS), pH 7.4, 15 mM sodium azide
Storage and handling
Store at 2-8°C. Do not freeze.
Exbio licence note
The product is intended For Research Use Only. Diagnostic or therapeutic applications are strictly forbidden. Products shall not be used for resale or transfer to third parties either as a stand-alone product or as a manufacture component of another product without written consent of EXBIO Praha, a.s. EXBIO Praha, a.s. will not be held responsible for patent infringement or any other violations of intellectual property rights that may occur with the use of the products. Orders for all products are accepted subject to the Term and Conditions available at www.exbio.cz. EXBIO, EXBIO Logo, and all other trademarks are property of EXBIO Praha, a.s.
Other names
GFAP, ALXDRD
Antigen description
GFAP (glial fibrillary acidic protein) was discovered by Bignami et al. (1972) as a major fibrous protein of multiple sclerosis plaques. It was subsequently found to be a member of the 10 nm or intermediate filament protein family, specifically the intermediate filament protein family class III, which also includes peripherin, desmin and vimentin. GFAP is heavily, and specifically, expressed in astrocytes and certain other astroglia in the central nervous system, in satellite cells in peripheral ganglia, and in non-myelinating Schwann cells in peripheral nerves. In addition, neural stem cells frequently strongly express GFAP. It is also found in the lens epithelium, Kupffer cells of the liver, in some cells in salivary tumors and has been reported in erythrocytes. Although its function is not fully understood, GFAP protein is probably involved in controlling the shape and movement of astrocytes. The protein probably also plays a significant role in the interactions of astrocytes with other cells, which are required for the formation and maintenance of the insulating layer (myelin) that covers nerve cells. Additionally, GFAP protein may assist in maintaining the protective barrier that allows only certain substances to pass between blood vessels and the brain (blood-brain barrier).In adults, GFAP levels increase as a result of the proliferation of astrocytes that occurs in a response to a variety of physical, chemical and etiological insults, including Alzheimer’s disease, epilepsy and multiple sclerosis.Antibodies to GFAP are therefore very useful as markers of astrocytic cells and neural stem cells and for distinguishing of neoplasms of astrocytic origin from other neoplasms in the central nervous system. Finally, Alexander's disease was recently shown to be caused by point mutations in protein coding region of the GFAP gene (Brenner et al., 2001). All forms of Alexander disease are characterized by the presence of Rosenthal fibers, which are GFAP containing cytoplasmic inclusions found in astrocytes.
Entrez Gene ID
2670
UniProt ID
P14136
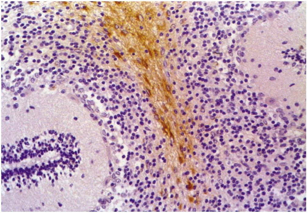
Immunohistochemistry staining of human cerebellum (paraffin-embedded sections) with anti-GFAP (clone GF-01).
Immunohistochemistry staining of human brain cortex (paraffin-embedded sections) with anti-GFAP (clone GF-01). Commercially tested by LifeSpan BioSciences.
General references:
Brenner M, Johnson AB, Boespflug-Tanguy O, Rodriguez D, Goldman JE, Messing A: Mutations in GFAP, encoding glial fibrillary acidic protein, are associated with Alexander disease. Nat Genet. 2001 Jan;27(1):117-20.
PubMed
Product specific references:
Lukas Z, Draber P, Bucek J, Draberova E, Viklicky V, Staskova Z: Expression of vimentin and glial fibrillary acidic protein in human developing spinal cord. Histochem J. 1989 Dec;21(12):693-701.
PubMed
Further SDS language mutations available for download below. Please contact us with request for additional languages on info@exbio.cz
MPAbNaN3_SDS_v1_AU.pdf
MPAbNaN3_SDS_v1_GB.pdf
MPAbNaN3_SDS_v1_TR.pdf
MPAbNaN3_SDS_v6_AT.pdf
MPAbNaN3_SDS_v6_CH.pdf
MPAbNaN3_SDS_v6_CS.pdf
MPAbNaN3_SDS_v6_EN.pdf
MPAbNaN3_SDS_v6_ES.pdf
MPAbNaN3_SDS_v6_FR.pdf
MPAbNaN3_SDS_v6_IT.pdf
MPAbNaN3_SDS_v6_NO.pdf
MPAbNaN3_SDS_v6_PL.pdf
MPAbNaN3_SDS_v6_PT.pdf
MPAbNaN3_SDS_v6_SE.pdf
MPAbNaN3_SDS_v6_SK.pdf
MPAbNaN3_SDS_v6_SL.pdf
MPAbNaN3_SDS_v7_DE.pdf
Variant
0.1 mg
11-255-C100
In stock
180.40 USD
0.025 mg
11-255-C025
Delivery 1 week
90.20 USD
Variant
0.1 mg
11-255-C100
In stock
180.40 USD
0.025 mg
11-255-C025
Delivery 1 week
90.20 USD
Contact distributor
Datasheet download
Bulk requests
Technical support for this product
Continue to checkout
×
Zavřít