Clinical products
Premium antibodies (GMP)
Intracellular staining
Surface staining
Hematology
Kits
Lysing solutions
Multicolor cocktails
Single color antibodies
Immunodeficiency
Kits
Lysing solutions
Mitogens
Multicolor cocktails
Single color antibodies
Reproductive immunology
Kits
Lysing solutions
Multicolor cocktails
New products
Allergy
Kits
Recombinant allergens
Allergen extracts
Other allergens
Research products
Antibodies
CD and related antigens
Blood group antigens
Multicolor cocktails
Serum, plasma, and secreted proteins
Cytoskeleton and ECM
Isotype controls
MHC antigens
Nucleus
Other intracellular antigens
Small organic molecules
Tags and labels
Microbiology and virology
Accessory reagents
Annexin V
DNA-binding probes
Lineage cocktail
Lysing solutions
Recombinant proteins
Streptavidin
Recombinant allergens
Animal
Food
House Dust Mite
Mold
Pollen
Venom
Kits
New products
Dry Reagents
About exbio
Company
OEM and Commercial Supplies
Events and Conferences
Blog
Inquiries
Technical resources
International distributors
Contact
Jobs
IVDR
E-mail
*
Password
*
Remember me
Forgotten password
Log in
Register
E-mail
Send request
Log in
Exbio
—
Research products
—
Antibodies
—
Cytoskeleton and ECM
—
Anti-Cytokeratin 19 Purified
Anti-Cytokeratin 19 Purified
Regulatory status
RUO
Antigen
Cytokeratin 19
Clone
A53-B/A2
Format
Purified
Reactivity
Human
Application
ELISA, FC-IC, IP, WB, IHC-P, ICC
Variant
0.1 mg
11-120-C100
In stock
158.40 USD
0.025 mg
11-120-C025
Delivery 1 week
79.20 USD
Variant
0.1 mg
11-120-C100
In stock
158.40 USD
0.025 mg
11-120-C025
Delivery 1 week
79.20 USD
Contact distributor
Product details
Description
Images
References
SDS download
Isotype
Mouse IgG2a
Specificity
The mouse monoclonal antibody A53-B/A2 recognizes the rod domain of cytokeratin 19 (40 kDa), an intracellular antigen constituting intermmediate cytoskeleton filaments. Cytokeratin 19 is not expressed in hepatocytes; it is often co-expressed with cytokeratin 7.
Application
ELISA, FC-IC, IP, WB, IHC-P, ICC
Application details
Flow cytometry: Recommended dilution: 1-5 μg/ml. Intracellular staining.
Immunohistochemistry: Recommended dilution: 5-10 μg/ml.
Western blotting: Recommended dilution: 1-2 μg/ml, positive control: MCF-7, BA-17, HT-29 cells.
Reactivity
Human
Immunogen
MCF-7 human breast adenocarcinoma cell line
Concentration
1 mg/ml
Preparation
Purified by protein-A affinity chromatography.
Formulation
Phosphate buffered saline (PBS), pH 7.4, 15 mM sodium azide
Storage and handling
Store at 2-8°C. Do not freeze.
Exbio licence note
The product is intended For Research Use Only. Diagnostic or therapeutic applications are strictly forbidden. Products shall not be used for resale or transfer to third parties either as a stand-alone product or as a manufacture component of another product without written consent of EXBIO Praha, a.s. EXBIO Praha, a.s. will not be held responsible for patent infringement or any other violations of intellectual property rights that may occur with the use of the products. Orders for all products are accepted subject to the Term and Conditions available at www.exbio.cz. EXBIO, EXBIO Logo, and all other trademarks are property of EXBIO Praha, a.s.
Other names
K19, CK19, CYK19, KRT19, K1CS
Antigen description
Cytokeratins are a subfamily of intermediate filaments and characterized by remarkable biochemical diversity. They are represented in epithelial tissues by at least 20 different polypeptides, molecular weight between 40 kDa and 68 kDa. The individual cytokeratin polypeptides are designated 1 to 20 and divided into the type I (acidic cytokeratins 9-20) and type II (basic to neutral cytokeratins 1-8) families.
Entrez Gene ID
3880
UniProt ID
P08727
Immunohistochemistry staining (paraffin sections) of cytokeratin 19 in human liver using mouse monoclonal antibody A53-B/A2 (11-120-C100, diluted 1:100), detected with GAM IgG-Alexa Fluor®488 (diluted 1:200; green), cell nuclei stained with PI (1µg/ml; orange).
Separation of MCF-7 cells (red-filled) from human leukocytes (black-dashed) in flow cytometry analysis (intracellular staining) of peripheral whole blood spiked with MCF-7 cells stained using anti-Cytokeratin 19 (A53-B/A2) purified antibody (concentration in sample 3 μg/ml, GAM APC).
Flow cytometry intracellular staining pattern of human peripheral whole blood spiked with MCF-7 cells stained using anti-Cytokeratin 19 (A53-B/A2) purified antibody (concentration in sample 3 μg/ml, GAM APC).
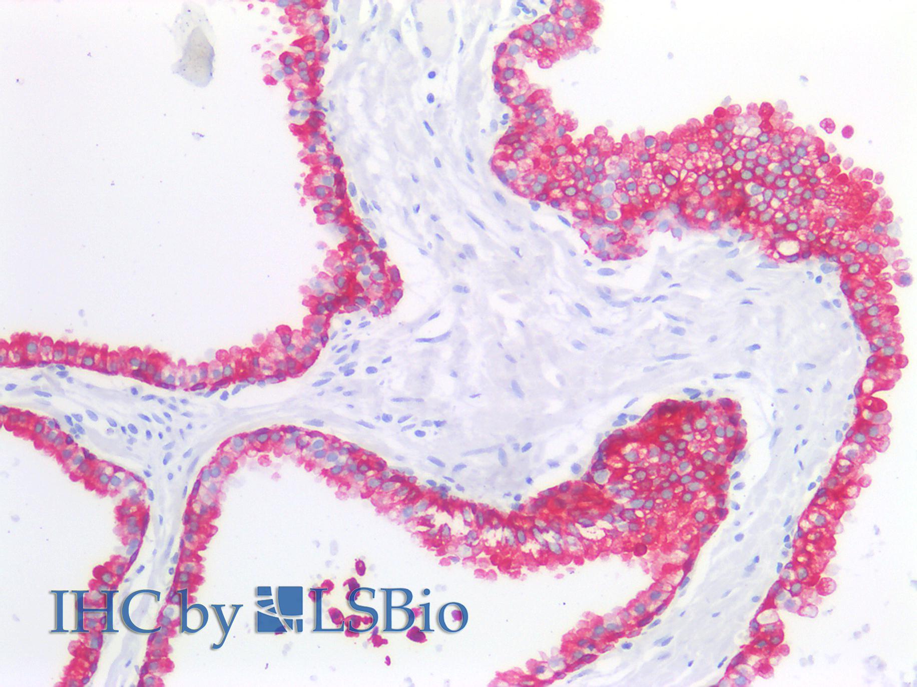
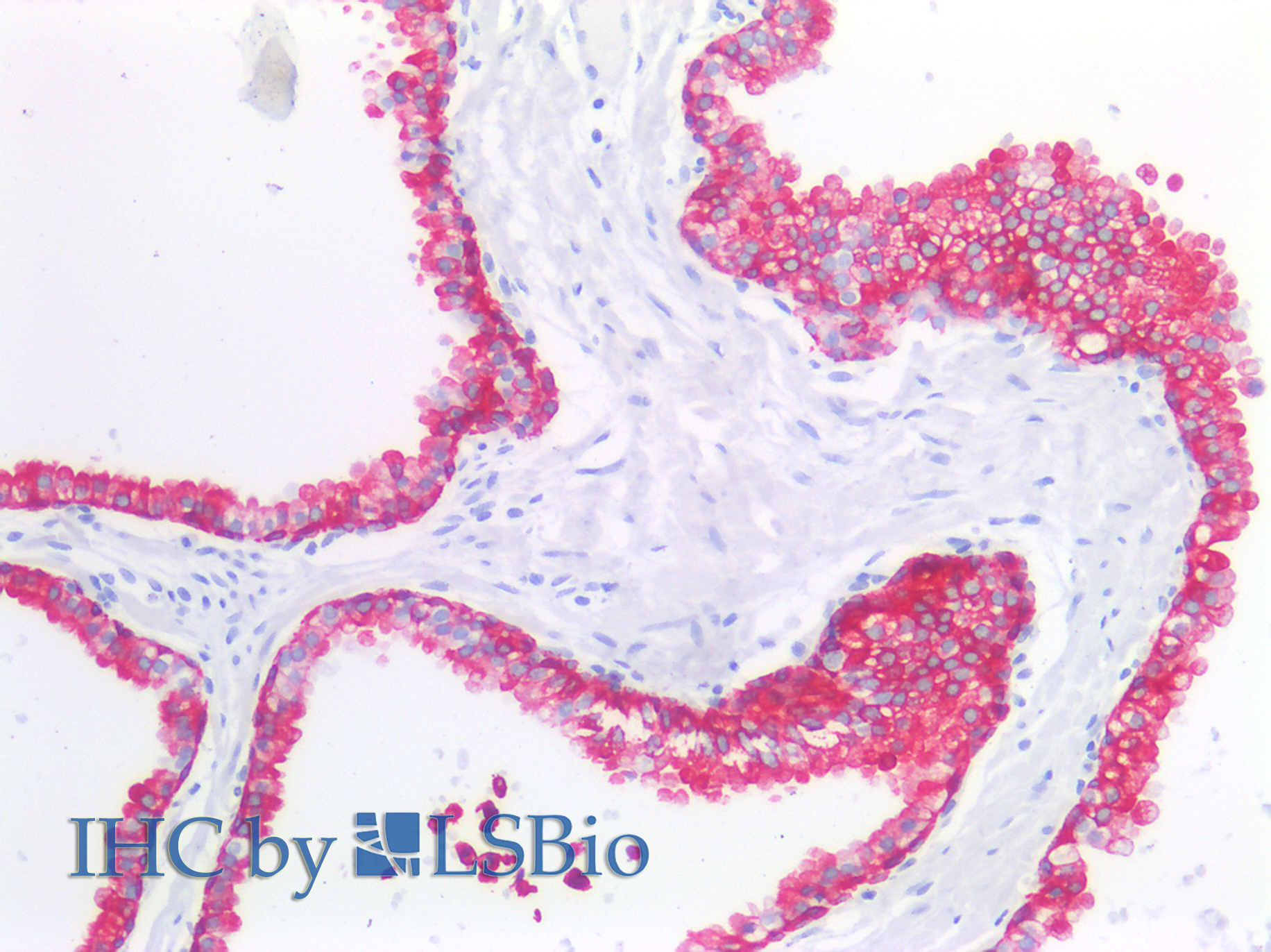
Immunohistochemistry staining of human prostate (paraffin sections) using anti-cytokeratin 19 (A53-B/A2). Commercially tested by LifeSpan BioSciences.
Anti-Hu Cytokeratin 19 Purified (clone A53-B/A2) reactivity pattern in WB application.
The reactivity of A53-B/A2 antibody was assessed by comparing binding signals in a panel of cytokeratin-positive and cytokeratin-negative human cell lines. Western blotting analysis was performed on whole cell extracts (hot 1% SDS lysis buffer) of MCF-7, Hep-G2, HT-29, HeLa, and Jurkat cell lines, mixed and heated (100°C, 5 min) with reducing (2-mercaptoethanol) SDS-loading buffer. Samples were resolved using 10% SDS-PAGE gel.
Nitrocellulose membrane blot was probed with mouse IgG2a monoclonal antibody A53-B/A2 (1 µg/ml), followed by IRDye 800CW Goat-anti-Mouse IgG (green). For multiplex fluorescent Western blot detection, mouse anti-GAPDH monoclonal antibody FF26A conjugated with DyLight 680 (0.1 µg/ml) was used as the loading control (red).
Cytokeratin 19 was detected at ~40 kDa in the respective cell lines.
Western blotting analysis of human cytokeratin 19 using mouse monoclonal antibody A53-B/A2 on lysates of HT-29 cell line and Jurkat cell line (cytokeratin non-expressing cell line; negative control) under non-reducing and reducing conditions. Nitrocellulose membrane was probed with 2 µg/ml of mouse anti-cytokeratin 19 monoclonal antibody A53-B/A2 followed by IRDye800-conjugated anti-mouse IgG1 secondary antibody. A specific band was detected for cytokeratin 19 at approximately 40 kDa.
Product specific references:
Karsten U, Papsdorf G, Roloff G, Stolley P, Abel H, Walther I, Weiss H: Monoclonal anti-cytokeratin antibody from a hybridoma clone generated by electrofusion. Eur J Cancer Clin Oncol. 1985 Jun;21(6):733-40.
PubMed
Kasper M, Moll R, Stosiek P, Karsten U: Patterns of cytokeratin and vimentin expression in the human eye. Histochemistry. 1988;89(4):369-77.
PubMed
Bártek J, Bártková J, Taylor-Papadimitriou J, Rejthar A, Kovarík J, Lukás Z, Vojtĕsek B: Differential expression of keratin 19 in normal human epithelial tissues revealed by monospecific monoclonal antibodies. Histochem J. 1986 Oct;18(10):565-75.
PubMed
Quardokus EM, Saunders DC, McDonough E, Hickey JW, Werlein C, Surrette C, Rajbhandari P, Martinez Casals A, Tian H, Lowery L, Neumann EK, Björklund F, Neelakantan TV, Croteau J, Wiblin AE, Fisher J, Livengood AJ, Dowell KG, Silverstein JC, Spraggins JM, Pryhuber GS, Deutsch G, Ginty F, Nolan GP, Melov S, Jonigk D, Caldwell MA, Vlachos IS, Mueller W, Gehlenborg N, Stockwell BR, Lundberg E, Snyder MP, Germain RN, Camarillo JM, Kelleher NL, Börner K, Radtke AJ: Organ mapping antibody panels: a community resource for standardized multiplexed tissue imaging. Nat Methods 2023 Aug;20(8):1174-1178. doi: 10.1038/s41592-023-01846-7.
PubMed
Further SDS language mutations available for download below. Please contact us with request for additional languages on info@exbio.cz
MPAbNaN3_SDS_v1_AU.pdf
MPAbNaN3_SDS_v1_GB.pdf
MPAbNaN3_SDS_v1_TR.pdf
MPAbNaN3_SDS_v6_AT.pdf
MPAbNaN3_SDS_v6_CH.pdf
MPAbNaN3_SDS_v6_CS.pdf
MPAbNaN3_SDS_v6_EN.pdf
MPAbNaN3_SDS_v6_ES.pdf
MPAbNaN3_SDS_v6_FR.pdf
MPAbNaN3_SDS_v6_IT.pdf
MPAbNaN3_SDS_v6_NO.pdf
MPAbNaN3_SDS_v6_PL.pdf
MPAbNaN3_SDS_v6_PT.pdf
MPAbNaN3_SDS_v6_SE.pdf
MPAbNaN3_SDS_v6_SK.pdf
MPAbNaN3_SDS_v6_SL.pdf
MPAbNaN3_SDS_v7_DE.pdf
Variant
0.1 mg
11-120-C100
In stock
158.40 USD
0.025 mg
11-120-C025
Delivery 1 week
79.20 USD
Variant
0.1 mg
11-120-C100
In stock
158.40 USD
0.025 mg
11-120-C025
Delivery 1 week
79.20 USD
Contact distributor
Datasheet download
Bulk requests
Technical support for this product
Related products
11-724-C100
Mouse IgG2a Isotype Control Purified
-134%
Clone
MOPC-173
Reg. status
RUO
Application
ELISA, FC, FC-IC, IP, WB, IHC-F, IHC-P, ICC
0.1 mg
118.80 USD
11-458-C100
Mouse IgG2a Isotype Control Purified
-134%
Clone
PPV-04
Reg. status
RUO
Application
ELISA, FC, FC-IC, IP, WB, IHC-F, IHC-P, ICC
0.1 mg
118.80 USD
Continue to checkout
×
Zavřít