Clinical products
Premium antibodies (GMP)
Intracellular staining
Surface staining
Hematology
Kits
Lysing solutions
Multicolor cocktails
Single color antibodies
Immunodeficiency
Kits
Lysing solutions
Mitogens
Multicolor cocktails
Single color antibodies
Reproductive immunology
Kits
Lysing solutions
Multicolor cocktails
New products
Allergy
Kits
Recombinant allergens
Allergen extracts
Other allergens
Research products
Antibodies
CD and related antigens
Blood group antigens
Multicolor cocktails
Serum, plasma, and secreted proteins
Cytoskeleton and ECM
Isotype controls
MHC antigens
Nucleus
Other intracellular antigens
Small organic molecules
Tags and labels
Microbiology and virology
Accessory reagents
Annexin V
DNA-binding probes
Lineage cocktail
Lysing solutions
Recombinant proteins
Streptavidin
Recombinant allergens
Animal
Food
House Dust Mite
Mold
Pollen
Venom
Kits
New products
Dry Reagents
About exbio
Company
OEM and Commercial Supplies
Events and Conferences
Blog
Inquiries
Technical resources
International distributors
Contact
Jobs
IVDR
E-mail
*
Password
*
Remember me
Forgotten password
Log in
Register
E-mail
Send request
Log in
Exbio
—
Research products
—
Antibodies
—
Cytoskeleton and ECM
—
Anti-Cytokeratin 18 Purified
Anti-Cytokeratin 18 Purified
Regulatory status
RUO
Antigen
Cytokeratin 18
Clone
DC-10
Format
Purified
Reactivity
Human
Application
ELISA, FC-IC, IP, WB, IHC-P, ICC
Variant
0.1 mg
11-107-C100
In stock
147.40 USD
0.025 mg
11-107-C025
Delivery 1 week
73.70 USD
Variant
0.1 mg
11-107-C100
In stock
147.40 USD
0.025 mg
11-107-C025
Delivery 1 week
73.70 USD
Contact distributor
Product details
Description
Images
References
SDS download
Isotype
Mouse IgG1
Specificity
The mouse monoclonal antibody DC-10 reacts with cytokeratin 18 (45 kDa). Cytokeratins are members of intermediate filaments subfamily of intracellular proteins, represented in epithelial tissues.
Application
ELISA, FC-IC, IP, WB, IHC-P, ICC
Application details
Western blotting: Recommended dilution: 1-2 μg/ml.
Immunohistochemistry (paraffin sections): Recommended dilution: 10 μg/ml; positive tissue: colon, skin.
Immunocytochemistry: positive control: MCF-7 human breast adenocarcinoma cell line, HeLa human cervix carcinoma cell line.
ELISA: Positive control: MCF-7 human breast adenocarcinoma cell line; the antibody DC-10 has been tested as the detection antibody in a sandwich ELISA for analysis of Cytokeratin 18 in combination with the antibody C-04 (cat. no. 11-106-C100).
Flow cytometry: Recommended dilution: 1-4 µg/ml. Intracellular staining.
Reactivity
Human
Negative species
Dog, Mouse, Rat, Pig, Hamster, Sheep, Cow
Immunogen
Human breast carcinoma cell line PMC-42.
Concentration
1 mg/ml
Preparation
Purified by protein-A affinity chromatography.
Formulation
Phosphate buffered saline (PBS), pH 7.4, 15 mM sodium azide
Storage and handling
Store at 2-8°C. Do not freeze.
Exbio licence note
The product is intended For Research Use Only. Diagnostic or therapeutic applications are strictly forbidden. Products shall not be used for resale or transfer to third parties either as a stand-alone product or as a manufacture component of another product without written consent of EXBIO Praha, a.s. EXBIO Praha, a.s. will not be held responsible for patent infringement or any other violations of intellectual property rights that may occur with the use of the products. Orders for all products are accepted subject to the Term and Conditions available at www.exbio.cz. EXBIO, EXBIO Logo, and all other trademarks are property of EXBIO Praha, a.s.
Other names
K18, CK18, CYK18, KRT18
Antigen description
Cytokeratins are a subfamily of intermediate filaments and are characterized by remarkable biochemical diversity. They are represented in epithelial tissues by at least 20 different polypeptides, molecular weight between 40 kDa and 68 kDa. The individual cytokeratin polypeptides are designated 1 to 20 and divided into the type I (acidic cytokeratins 9-20) and type II (basic to neutral cytokeratins 1-8) families. Cytokeratin 18 belongs to type I family (acidic cytokeratins).
Entrez Gene ID
3875
UniProt ID
P05783
Separation of MCF-7 cells (red-filled) from Caco-2 cells (black-dashed) in flow cytometry analysis (intracellular staining) of cells stained using anti-cytokeratin 18 (DC-10) purified antibody (concentration in sample 0,6 μg/ml, GAM APC).
Immunocytochemistry staining of cytokeratin 18 in Hep-2 cells using mouse monoclonal antibody DC-10 (11-107-C100, diluted 1:400), detected with GAM IgG-Alexa Fluor®488 (diluted 1:200; green), cell nuclei stained with PI (1µg/ml; orange).
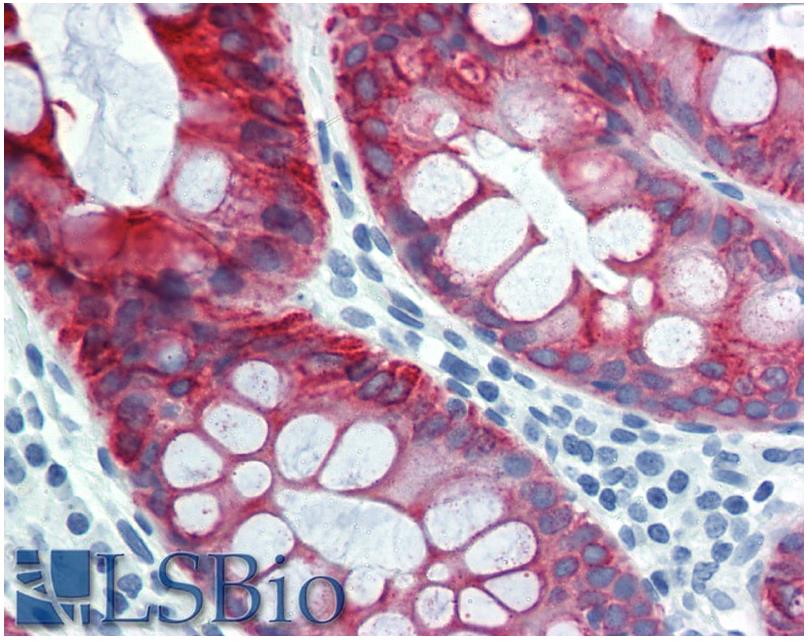
Immunohistochemistry staining of human colon (paraffin sections) using anti-cytokeratin 18 (clone DC-10). Commercially tested by LifeSpan BioSciences.
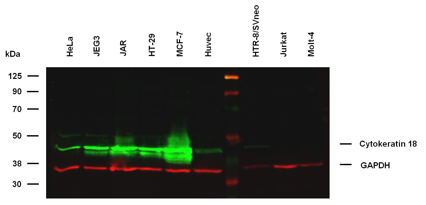
Anti-Hu Cytokeratin 18 Purified (clone DC-10) reactivity pattern in WB application.
The reactivity of DC-10 antibody was assessed by comparing binding signals in a panel of cytokeratin-positive and cytokeratin-negative human cell lines. Western blotting analysis was performed on whole cell extracts (hot 1% SDS lysis buffer) of HeLa, JEG3, JAR, HT-29, MCF-7, Huvec, HTR-8/SVneo, Jurkat, and Molt-4 cell lines, mixed and heated (100°C, 5 min) with reducing (2-mercaptoethanol) SDS-loading buffer. Samples were resolved using 10% SDS-PAGE gel.
Nitrocellulose membrane blot was probed with mouse IgG1 monoclonal antibody DC-10 (1 µg/ml), followed by IRDye 800CW Goat-anti-Mouse IgG (green). For multiplex fluorescent Western blot detection, mouse anti-GAPDH monoclonal antibody FF26A conjugated with DyLight 680 (0.1 µg/ml) was used as the loading control (red).
Cytokeratin 18 was detected at ~45 kDa in the respective cell lines.
General references:
Čáp J, Čermáň J, Němeček S, Marková M, Haná V, Frysák Z: The influence of treatment with somatostatin analogues on morphology, proliferative and apoptotic activity in GH-secreting pituitary adenomas. J Clin Neurosci. 2003 Jul;10(4):444-8.
PubMed
Kovařík J. et al., J. Tumor Marker Oncol. 5, 219 (1990).
Taylor-Papadimitriou J, Stampfer M, Bártek J, Lewis A, Boshell M, Lane EB, Leigh IM: Keratin expression in human mammary epithelial cells cultured from normal and malignant tissue: relation to in vivo phenotypes and influence of medium. J Cell Sci. 1989 Nov;94 ( Pt 3):403-13.
PubMed
Product specific references:
Lauerova L, Kovarik J, Bartek J, Rejthar A, Vojtesek B: Novel monoclonal antibodies defining epitope of human cytokeratin 18 molecule. Hybridoma. 1988 Oct;7(5):495-504.
PubMed
Kovarik J, Rejthar A, Lauerova L, Vojtesek B, Bartkova J: Monoclonal antibodies against individual cytokeratins in the detection of metastatic spread. Int J Cancer Suppl. 1988;3:50-5.
PubMed
Vojtesek B, Staskova Z, Nenutil R, Lauerova L, Kovarik J, Rejthar A, Bartkova J, Bartek J: Monoclonal antibodies recognizing different epitopes of cytokeratin No.18. Folia Biol (Praha). 1989;35(6):373-82.
PubMed
Further SDS language mutations available for download below. Please contact us with request for additional languages on info@exbio.cz
MPAbNaN3_SDS_v1_AU.pdf
MPAbNaN3_SDS_v1_GB.pdf
MPAbNaN3_SDS_v1_TR.pdf
MPAbNaN3_SDS_v6_AT.pdf
MPAbNaN3_SDS_v6_CH.pdf
MPAbNaN3_SDS_v6_CS.pdf
MPAbNaN3_SDS_v6_EN.pdf
MPAbNaN3_SDS_v6_ES.pdf
MPAbNaN3_SDS_v6_FR.pdf
MPAbNaN3_SDS_v6_IT.pdf
MPAbNaN3_SDS_v6_NO.pdf
MPAbNaN3_SDS_v6_PL.pdf
MPAbNaN3_SDS_v6_PT.pdf
MPAbNaN3_SDS_v6_SE.pdf
MPAbNaN3_SDS_v6_SK.pdf
MPAbNaN3_SDS_v6_SL.pdf
MPAbNaN3_SDS_v7_DE.pdf
Variant
0.1 mg
11-107-C100
In stock
147.40 USD
0.025 mg
11-107-C025
Delivery 1 week
73.70 USD
Variant
0.1 mg
11-107-C100
In stock
147.40 USD
0.025 mg
11-107-C025
Delivery 1 week
73.70 USD
Contact distributor
Datasheet download
Bulk requests
Technical support for this product
Related products
11-457-C100
Mouse IgG1 Isotype Control Purified
-134%
Clone
PPV-06
Reg. status
RUO
Application
ELISA, FC, FC-IC, IP, WB, IHC-F, IHC-P, ICC
0.1 mg
118.80 USD
11-632-C100
Mouse IgG1 Isotype Control Purified
-134%
Clone
MOPC-21
Reg. status
RUO
Application
ELISA, FC, FC-IC, IP, WB, IHC-F, IHC-P, ICC
0.1 mg
118.80 USD
Continue to checkout
×
Zavřít