Clinical products
Premium antibodies (GMP)
Intracellular staining
Surface staining
Hematology
Kits
Lysing solutions
Multicolor cocktails
Single color antibodies
Immunodeficiency
Kits
Lysing solutions
Mitogens
Multicolor cocktails
Single color antibodies
Reproductive immunology
Kits
Lysing solutions
Multicolor cocktails
New products
Allergy
Kits
Recombinant allergens
Allergen extracts
Other allergens
Research products
Antibodies
CD and related antigens
Blood group antigens
Multicolor cocktails
Serum, plasma, and secreted proteins
Cytoskeleton and ECM
Isotype controls
MHC antigens
Nucleus
Other intracellular antigens
Small organic molecules
Tags and labels
Microbiology and virology
Accessory reagents
Annexin V
DNA-binding probes
Lineage cocktail
Lysing solutions
Recombinant proteins
Streptavidin
Recombinant allergens
Animal
Food
House Dust Mite
Mold
Pollen
Venom
Kits
New products
Dry Reagents
About exbio
Company
OEM and Commercial Supplies
Events and Conferences
Blog
Inquiries
Technical resources
International distributors
Contact
Jobs
IVDR
E-mail
*
Password
*
Remember me
Forgotten password
Log in
Register
E-mail
Send request
Log in
Exbio
—
Research products
—
Antibodies
—
Cytoskeleton and ECM
—
Anti-alpha-Tubulin Purified
Anti-alpha-Tubulin Purified
Regulatory status
RUO
Antigen
alpha-Tubulin
Clone
YOL1/34
Format
Purified
Reactivity
Mouse, Rat, Mammalian, Avian, Yeast, Human
Application
ELISA (reported), IHC-P (reported), IHC-F (reported), WB (verified), FC-IC (verified)
Variant
0.1 mg
11-886-C100
In stock
158.40 USD
Variant
0.1 mg
11-886-C100
In stock
158.40 USD
Contact distributor
Product details
Description
Images
References
SDS download
Isotype
Rat IgG2a
Specificity
The rat monoclonal antibody YOL1/34 recognizes an epitope of alpha-tubulin localized between amino acids 414-422. It has higher affinity for fixed microtubules than for native ones.
Application
ELISA (reported), IHC-P (reported), IHC-F (reported), WB (verified), FC-IC (verified)
Application details
Immunocytochemistry: Recommended dilution 4-8 μg/ml.
Western blotting: Recommended dilution 1-2 μg/ml; reducing conditions.
Flow cytometry: Recommended dilution: 8-12 μg/ml; intracellular staining.
Reactivity
Mouse, Rat, Mammalian, Avian, Yeast, Human
Immunogen
Yeast tubulin
Concentration
1 mg/ml
Preparation
Purified by protein-G affinity chromatography.
Formulation
Phosphate buffered saline (PBS), pH 7.4, 15 mM sodium azide
Storage and handling
Store at 2-8°C. Do not freeze.
Exbio licence note
The product is intended For Research Use Only. Diagnostic or therapeutic applications are strictly forbidden. Products shall not be used for resale or transfer to third parties either as a stand-alone product or as a manufacture component of another product without written consent of EXBIO Praha, a.s. EXBIO Praha, a.s. will not be held responsible for patent infringement or any other violations of intellectual property rights that may occur with the use of the products. Orders for all products are accepted subject to the Term and Conditions available at www.exbio.cz. EXBIO, EXBIO Logo, and all other trademarks are property of EXBIO Praha, a.s.
Other names
TUBA
Antigen description
The microtubules are intracellular dynamic polymers made up of evolutionarily conserved polymorphic alpha/beta-tubulin heterodimers and a large number of microtubule-associated proteins (MAPs). The microtubules consist of 13 protofilaments and have an outer diameter 25 nm. Microtubules have their intrinsic polarity; highly dynamic plus ends and less dynamic minus ends. Microtubules are required for vital processes in eukaryotic cells including mitosis, meiosis, maintenance of cell shape and intracellular transport. Microtubules are also necessary for movement of cells by means of flagella and cilia. In mammalian tissue culture cells microtubules have their minus ends anchored in microtubule organizing centers (MTOCs). The GTP (guanosintriphosphate) molecule is an essential for tubulin heterodimer to associate with other heterodimers to form microtubule. In vivo, microtubule dynamics vary considerably. Microtubule polymerization is reversible and a populations of microtubules in cells are on their minus ends either growing or shortening – this phenomenon is called dynamic instability of microtubules. On a practical level, microtubules can easily be stabilized by the addition of non-hydrolysable analogues of GTP (eg. GMPPCP) or more commonly by anti-cancer drugs such as Taxol. Taxol stabilizes microtubules at room temperature for many hours. Using limited proteolysis by enzymes both tubulin subunits can be divided into N-terminal and C-terminal structural domains. The alpha-tubulin (relative molecular weight around 50 kDa) is globular protein that exists in cells as part of soluble alpha/beta-tubulin dimer or it is polymerized into microtubules. In different species it is coded by multiple tubulin genes that form tubulin classes (in human 6 genes). Expressed tubulin genes are named tubulin isotypes. Some of the tubulin isotypes are expressed ubiquitously, while some have more restricted tissue expression. Alpha-tubulin is also subject of numerous post-translational modifications. Tubulin isotypes and their posttranslational modifications are responsible for multiple tubulin charge variants - tubulin isoforms. Heterogeneity of alpha-tubulin is concentrated in C-terminal structural domain.
Entrez Gene ID
7277
UniProt ID
Q71U36
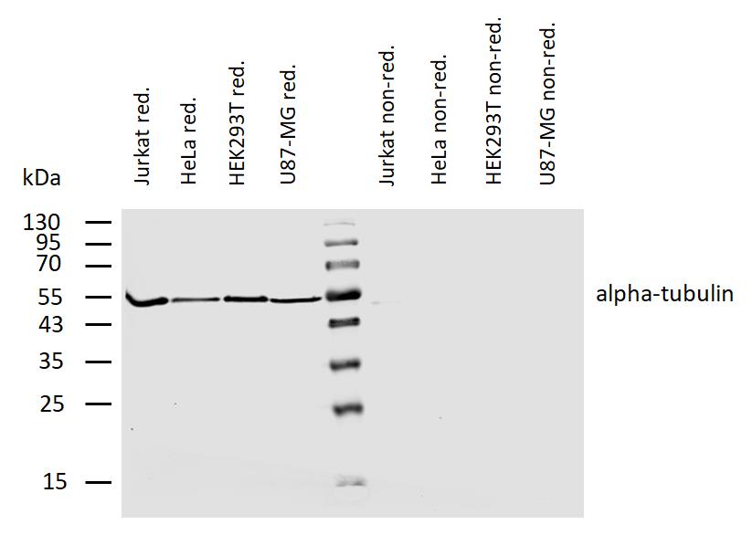
Western blotting analysis of human alpha-tubulin using rat monoclonal antibody YOL1/34 on lysates of various cell lines under reducing and non-reducing conditions. Nitrocellulose membrane was probed with 2 µg/ml of rat anti-alpha-tubulin monoclonal antibody followed by IRDye800-conjugated anti-rat secondary antibody. A specific band was detected for alpha-tubulin at approximately 54 kDa.
Separation of human monocytes stained using anti-alpha-tubulin (YOL1/34) purified antibody (concentration in sample 8 μg/ml, GAM APC, red-filled) from monocytes stained using mouse IgG1 isotype control (MOPC-21) purified antibody (concentration in sample 8 μg/ml, same as alpha-tubulin purified, GAM APC, black-dashed) in flow cytometry analysis (intracellular staining).
Flow cytometry intracellular staining pattern of human peripheral whole blood stained using anti-alpha-tubulin (YOL1/34) purified antibody (concentration in sample 8 μg/ml, GAM APC).
Immunocytochemistry staining of alpha-tubulin in K562 cells using purified rat monoclonal antibody YOL1/34 (concentration in sample 6 μg/ml, DAR FITC, left picture) vs. Hoechst 34580 nuclear staining (right picture).
Western blotting analysis of human alpha-tubulin using rat monoclonal antibody YOL1/34 on lysates of Caenorhabditis elegans, Arabidopsis thaliana, Trypanosoma brucei, Drosophila melanogaster, human HeLa cell line, and porcine brain, all under reducing conditions. Each lane contains 20 μg of total protein. Nitrocellulose membrane was probed with 2 µg/ml of rat anti-alpha-tubulin monoclonal antibody followed by IRDye800-conjugated anti-rat secondary antibody.
Product specific references:
Badin-Larçon AC, Boscheron C, Soleilhac JM, Piel M, Mann C, Denarier E, Fourest-Lieuvin A, Lafanechère L, Bornens M, Job D: Suppression of nuclear oscillations in Saccharomyces cerevisiae expressing Glu tubulin. Proc Natl Acad Sci U S A 2004 Apr 13;101(15):5577-82
PubMed
Harris GS, Keath EJ, Medoff J: Expression of alpha- and beta-tubulin genes during dimorphic-phase transitions of Histoplasma capsulatum. Mol Cell Biol. 1989 May;9(5):2042-9
PubMed
Larcher JC, Boucher D, Lazereg S, Gros F, Denoulet P: Interaction of kinesin motor domains with alpha- and beta-tubulin subunits at a tau-independent binding site. Regulation by polyglutamylation. J Biol Chem. 1996 Sep 6;271(36):22117-24
PubMed
Breitling F, Little M: Carboxy-terminal regions on the surface of tubulin and microtubules. Epitope locations of YOL1/34, DM1A and DM1B. J Mol Biol. 1986 May 20;189(2):367-70
PubMed
Further SDS language mutations available for download below. Please contact us with request for additional languages on info@exbio.cz
MPAbNaN3_SDS_v1_AU.pdf
MPAbNaN3_SDS_v1_GB.pdf
MPAbNaN3_SDS_v1_TR.pdf
MPAbNaN3_SDS_v6_AT.pdf
MPAbNaN3_SDS_v6_CH.pdf
MPAbNaN3_SDS_v6_CS.pdf
MPAbNaN3_SDS_v6_EN.pdf
MPAbNaN3_SDS_v6_ES.pdf
MPAbNaN3_SDS_v6_FR.pdf
MPAbNaN3_SDS_v6_IT.pdf
MPAbNaN3_SDS_v6_NO.pdf
MPAbNaN3_SDS_v6_PL.pdf
MPAbNaN3_SDS_v6_PT.pdf
MPAbNaN3_SDS_v6_SE.pdf
MPAbNaN3_SDS_v6_SK.pdf
MPAbNaN3_SDS_v6_SL.pdf
MPAbNaN3_SDS_v7_DE.pdf
Variant
0.1 mg
11-886-C100
In stock
158.40 USD
Variant
0.1 mg
11-886-C100
In stock
158.40 USD
Contact distributor
Datasheet download
Bulk requests
Technical support for this product
Related products
11-168-C100
Rat IgG2a Isotype Control Purified
-134%
Clone
RTG2A1-1
Reg. status
RUO
Application
ELISA, FC, FC-IC, IP, WB, IHC-F, IHC-P, ICC
0.1 mg
118.80 USD
Continue to checkout
×
Zavřít