Clinical products
Premium antibodies (GMP)
Intracellular staining
Surface staining
Hematology
Kits
Lysing solutions
Multicolor cocktails
Single color antibodies
Immunodeficiency
Kits
Lysing solutions
Mitogens
Multicolor cocktails
Single color antibodies
Reproductive immunology
Kits
Lysing solutions
Multicolor cocktails
New products
Allergy
Kits
Recombinant allergens
Allergen extracts
Other allergens
Research products
Antibodies
CD and related antigens
Blood group antigens
Multicolor cocktails
Serum, plasma, and secreted proteins
Cytoskeleton and ECM
Isotype controls
MHC antigens
Nucleus
Other intracellular antigens
Small organic molecules
Tags and labels
Microbiology and virology
Accessory reagents
Annexin V
DNA-binding probes
Lineage cocktail
Lysing solutions
Recombinant proteins
Streptavidin
Recombinant allergens
Animal
Food
House Dust Mite
Mold
Pollen
Venom
Kits
New products
Dry Reagents
About exbio
Company
OEM and Commercial Supplies
Events and Conferences
Blog
Inquiries
Technical resources
International distributors
Contact
Jobs
IVDR
E-mail
*
Password
*
Remember me
Forgotten password
Log in
Register
E-mail
Send request
Log in
Exbio
—
Research products
—
Antibodies
—
Cytoskeleton and ECM
—
Anti-alpha-Tubulin Purified
Anti-alpha-Tubulin Purified
Regulatory status
RUO
Antigen
alpha-Tubulin
Clone
TU-16
Format
Purified
Reactivity
Mouse, Rat, Pig, Nicotiana, Human, Dog
Application
ELISA, IP, WB, IHC-P, ICC
Variant
0.1 mg
11-283-C100
In stock
180.40 USD
0.025 mg
11-283-C025
Delivery 1 week
90.20 USD
Variant
0.1 mg
11-283-C100
In stock
180.40 USD
0.025 mg
11-283-C025
Delivery 1 week
90.20 USD
Contact distributor
Product details
Description
Images
References
SDS download
Isotype
Mouse IgM
Specificity
The antibody TU-16 reacts with alpha-tubulin of all tested species, under denaturing and non-denaturing conditions.
Application
ELISA, IP, WB, IHC-P, ICC
Application details
Immunohistochemistry (paraffin sections): Recommended dilution: 10 μg/ml.
Immunoprecipitation: Reducing conditions.
Western blotting: Recommended dilution: 1-2 μg/ml. This antibody can be used for Western blotting, but its alternative TU-02 (11-447-C100) gives better signal in this application.
Reactivity
Mouse, Rat, Pig, Nicotiana, Human, Dog
Immunogen
Porcine brain microtubule protein MTP-1.
Concentration
1 mg/ml
Preparation
Purified by sequential steps of physicochemical fractionation (differential precipitation and solid-phase chromatography methods).
Formulation
Tris buffered saline (TBS), pH 8.0, 15 mM sodium azide
Storage and handling
Store at 2-8°C. Do not freeze.
Exbio licence note
The product is intended For Research Use Only. Diagnostic or therapeutic applications are strictly forbidden. Products shall not be used for resale or transfer to third parties either as a stand-alone product or as a manufacture component of another product without written consent of EXBIO Praha, a.s. EXBIO Praha, a.s. will not be held responsible for patent infringement or any other violations of intellectual property rights that may occur with the use of the products. Orders for all products are accepted subject to the Term and Conditions available at www.exbio.cz. EXBIO, EXBIO Logo, and all other trademarks are property of EXBIO Praha, a.s.
Other names
TUBA
Antigen description
The microtubules are intracellular dynamic polymers made up of evolutionarily conserved polymorphic alpha/beta-tubulin heterodimers and a large number of microtubule-associated proteins (MAPs). The microtubules consist of 13 protofilaments and have an outer diameter 25 nm. Microtubules have their intrinsic polarity; highly dynamic plus ends and less dynamic minus ends. Microtubules are required for vital processes in eukaryotic cells including mitosis, meiosis, maintenance of cell shape and intracellular transport. Microtubules are also necessary for movement of cells by means of flagella and cilia. In mammalian tissue culture cells microtubules have their minus ends anchored in microtubule organizing centers (MTOCs). The GTP (guanosintriphosphate) molecule is an essential for tubulin heterodimer to associate with other heterodimers to form microtubule. In vivo, microtubule dynamics vary considerably. Microtubule polymerization is reversible and a populations of microtubules in cells are on their minus ends either growing or shortening – this phenomenon is called dynamic instability of microtubules. On a practical level, microtubules can easily be stabilized by the addition of non-hydrolysable analogues of GTP (eg. GMPPCP) or more commonly by anti-cancer drugs such as Taxol. Taxol stabilizes microtubules at room temperature for many hours. Using limited proteolysis by enzymes both tubulin subunits can be divided into N-terminal and C-terminal structural domains. The alpha-tubulin (relative molecular weight around 50 kDa) is globular protein that exists in cells as part of soluble alpha/beta-tubulin dimer or it is polymerized into microtubules. In different species it is coded by multiple tubulin genes that form tubulin classes (in human 6 genes). Expressed tubulin genes are named tubulin isotypes. Some of the tubulin isotypes are expressed ubiquitously, while some have more restricted tissue expression. Alpha-tubulin is also subject of numerous post-translational modifications. Tubulin isotypes and their posttranslational modifications are responsible for multiple tubulin charge variants - tubulin isoforms. Heterogeneity of alpha-tubulin is concentrated in C-terminal structural domain.
Entrez Gene ID
7277
UniProt ID
Q71U36
Immunohistochemistry staining (paraffin sections) of alpha-tubulin in human stomach using mouse monoclonal antibody TU-16 (diluted 1:400), detected with GAM IgG-Alexa Fluor®488 (diluted 1:200; green).
Immunocytochemistry staining of alpha-tubulin in Hep-2 cells using mouse monoclonal antibody TU-16 (diluted 1:400), detected with GAM IgG-Alexa Fluor®488 (diluted 1:200; green).
Immunohistochemistry staining of human heart (paraffin sections) using anti-alpha tubulin (TU-16). Commercially tested by LifeSpan BioSciences.
Western blotting analysis of human alpha-tubulin using mouse monoclonal antibody TU-16 on lysates of various cell lines and porcine brain under reducing and non-reducing conditions. Nitrocellulose membrane was probed with 2 µg/ml of mouse anti-alpha-tubulin monoclonal antibody followed by IRDye800-conjugated anti-mouse secondary antibody. A specific band was detected for alpha-tubulin at approximately 54 kDa, nonspecific minor bands above 100 kDa do not interfere with specific signal.
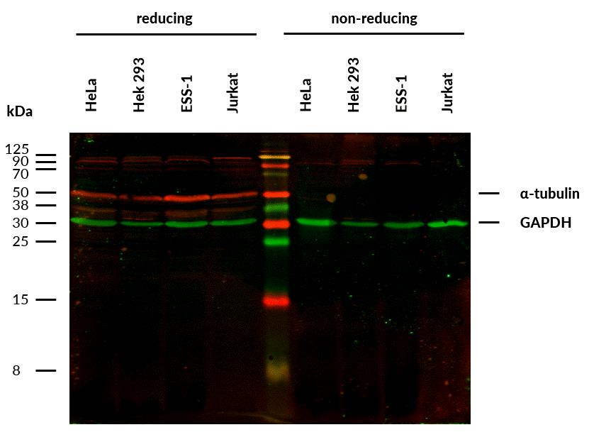
Anti-alpha-Tubulin Purified (TU-16) works in WB application under reducing conditions.
Western blotting analysis was performed on whole cell extracts (RIPA lysis buffer) of HeLa, HEK 293, ESS-1 and Jurkat cell lines mixed and heated (100°C, 5 min) with reducing (2-mercaptoethanol) or non-reducing SDS-loading buffer. Samples were resolved using 12% SDS-PAGE gel.
Nitrocellulose membrane blot was probed simultaneously with mouse IgM monoclonal antibody TU-16 (1 µg/ml) and mouse IgG1 anti-GAPDH monoclonal antibody FF26A (1 µg/ml) used as the loading control. Subclass-specific secondary antibodies IRDye 680RD Goat-anti-Mouse IgM (red) and IRDye 800CW Goat-anti-Mouse IgG (green) were used for multiplex fluorescent Western blot detection.
Alpha-tubulin was detected at ~50 kDa in all tested cell lines.
Immunoprecipitation of alpha-tubulin from HeLa and RAJI cell lysate by antibody TU-16 and its detection by antibody TU-01. IgM heavy chain (76-92 kDa) and IgM light chain (25-30 kDa) indicated. Mr of alpha tubulin is around 50 kDa. L = lysate IPr = immunoprecipitate (reducing conditions)
Product specific references:
Ji Y, Rath U, Girton J, Johansen KM, Johansen J: D-Hillarin, a novel W180-domain protein, affects cytokinesis through interaction with the septin family member Pnut. J Neurobiol. 2005 Aug;64(2):157-69.
PubMed
Qi H, Rath U, Wang D, Xu YZ, Ding Y, Zhang W, Blacketer MJ, Paddy MR, Girton J, Johansen J, Johansen KM: Megator, an essential coiled-coil protein that localizes to the putative spindle matrix during mitosis in Drosophila. Mol Biol Cell. 2004 Nov;15(11):4854-65.
PubMed
Dryková D, Cenklová V, Sulimenko V, Volc J, Dráber P, Binarová P: Plant gamma-tubulin interacts with alphabeta-tubulin dimers and forms membrane-associated complexes. Plant Cell. 2003 Feb;15(2):465-80.
PubMed
Draberova E, Draber P: Novel monoclonal antibodies TU-08 and TU-16 specific for tubulin subunits. Folia Biol (Praha). 1998;44(1):35-6.
Further SDS language mutations available for download below. Please contact us with request for additional languages on info@exbio.cz
MPAbNaN3_SDS_v1_AU.pdf
MPAbNaN3_SDS_v1_GB.pdf
MPAbNaN3_SDS_v1_TR.pdf
MPAbNaN3_SDS_v6_AT.pdf
MPAbNaN3_SDS_v6_CH.pdf
MPAbNaN3_SDS_v6_CS.pdf
MPAbNaN3_SDS_v6_EN.pdf
MPAbNaN3_SDS_v6_ES.pdf
MPAbNaN3_SDS_v6_FR.pdf
MPAbNaN3_SDS_v6_IT.pdf
MPAbNaN3_SDS_v6_NO.pdf
MPAbNaN3_SDS_v6_PL.pdf
MPAbNaN3_SDS_v6_PT.pdf
MPAbNaN3_SDS_v6_SE.pdf
MPAbNaN3_SDS_v6_SK.pdf
MPAbNaN3_SDS_v6_SL.pdf
MPAbNaN3_SDS_v7_DE.pdf
Variant
0.1 mg
11-283-C100
In stock
180.40 USD
0.025 mg
11-283-C025
Delivery 1 week
90.20 USD
Variant
0.1 mg
11-283-C100
In stock
180.40 USD
0.025 mg
11-283-C025
Delivery 1 week
90.20 USD
Contact distributor
Datasheet download
Bulk requests
Technical support for this product
Continue to checkout
×
Zavřít