Clinical products
Premium antibodies (GMP)
Intracellular staining
Surface staining
Hematology
Kits
Lysing solutions
Multicolor cocktails
Single color antibodies
Immunodeficiency
Kits
Lysing solutions
Mitogens
Multicolor cocktails
Single color antibodies
Reproductive immunology
Kits
Lysing solutions
Multicolor cocktails
New products
Allergy
Kits
Recombinant allergens
Allergen extracts
Other allergens
Research products
Antibodies
CD and related antigens
Blood group antigens
Multicolor cocktails
Serum, plasma, and secreted proteins
Cytoskeleton and ECM
Isotype controls
MHC antigens
Nucleus
Other intracellular antigens
Small organic molecules
Tags and labels
Microbiology and virology
Accessory reagents
Annexin V
DNA-binding probes
Lineage cocktail
Lysing solutions
Recombinant proteins
Streptavidin
Recombinant allergens
Animal
Food
House Dust Mite
Mold
Pollen
Venom
Kits
New products
Dry Reagents
About exbio
Company
OEM and Commercial Supplies
Events and Conferences
Blog
Inquiries
Technical resources
International distributors
Contact
Jobs
IVDR
E-mail
*
Password
*
Remember me
Forgotten password
Log in
Register
E-mail
Send request
Log in
Exbio
—
Research products
—
Antibodies
—
CD and related antigens
—
Anti-Hu CD79b Purified
Anti-Hu CD79b Purified
Regulatory status
RUO
Antigen
CD79b
Clone
CB3-1
Format
Purified
Reactivity
Human
Application
IHC-P (verified), FC (QC tested), IP (reported), WB (reported)
Variant
0.1 mg
11-676-C100
In stock
147.40 USD
0.025 mg
11-676-C025
Delivery 1 week
73.70 USD
Variant
0.1 mg
11-676-C100
In stock
147.40 USD
0.025 mg
11-676-C025
Delivery 1 week
73.70 USD
Contact distributor
Product details
Description
Images
References
SDS download
Isotype
Mouse IgG1 kappa
Specificity
The mouse monoclonal antibody CB3-1 recognizes an extracellular epitope of CD79b (CD79 beta, Ig beta), an approximately 38 kDa component of B cell receptor (BCR) complex.
Workshop
HLDA VI: WS Code CD79.1
Application
IHC-P (verified), FC (QC tested), IP (reported), WB (reported)
Application details
Flow cytometry: Recommended dilution: 1-5 μg/ml.
Reactivity
Human
Immunogen
Fraction of Ig-associated molecules isolated from Ramos B cells
Concentration
1 mg/ml
Preparation
Purified by protein-A affinity chromatography.
Formulation
Phosphate buffered saline (PBS), pH 7.4, 15 mM sodium azide
Storage and handling
Store at 2-8°C. Do not freeze.
Exbio licence note
The product is intended For Research Use Only. Diagnostic or therapeutic applications are strictly forbidden. Products shall not be used for resale or transfer to third parties either as a stand-alone product or as a manufacture component of another product without written consent of EXBIO Praha, a.s. EXBIO Praha, a.s. will not be held responsible for patent infringement or any other violations of intellectual property rights that may occur with the use of the products. Orders for all products are accepted subject to the Term and Conditions available at www.exbio.cz. EXBIO, EXBIO Logo, and all other trademarks are property of EXBIO Praha, a.s.
Other names
BCR beta, Ig-beta, B29, IGB
Antigen description
CD79b (Ig beta, B29) forms disulfide-linked heterodimer with CD79a (Ig alpha, MB1). They both are transmembrane proteins with extended cytoplasmic domains containing immunoreceptor tyrosine activation motives (ITAMs), and together with cell surface immunoglobulin they constitute B-cell antigen-specific receptor (BCR). CD79a and b are the first components of BCR that are expressed developmentally. They appear on pro-B cells in association with the endoplasmic reticulum chaperone calnexin. Subsequently, in pre-B cells, CD79 heterodimer is associated with lambda5-VpreB surrogate immunoglobulin and later with antigen-specific surface immunoglobulins. CD79a/b complex interacts with Src-family tyrosine kinase Lyn, which phosphorylates its cytoplasmic ITAM motives to form docking sites for downstream signaling.
Entrez Gene ID
974
UniProt ID
P40259
Flow cytometry analysis (surface staining) of CD79b in human peripheral blood with anti-CD79b (CB3-1) purified / GAM-APC.
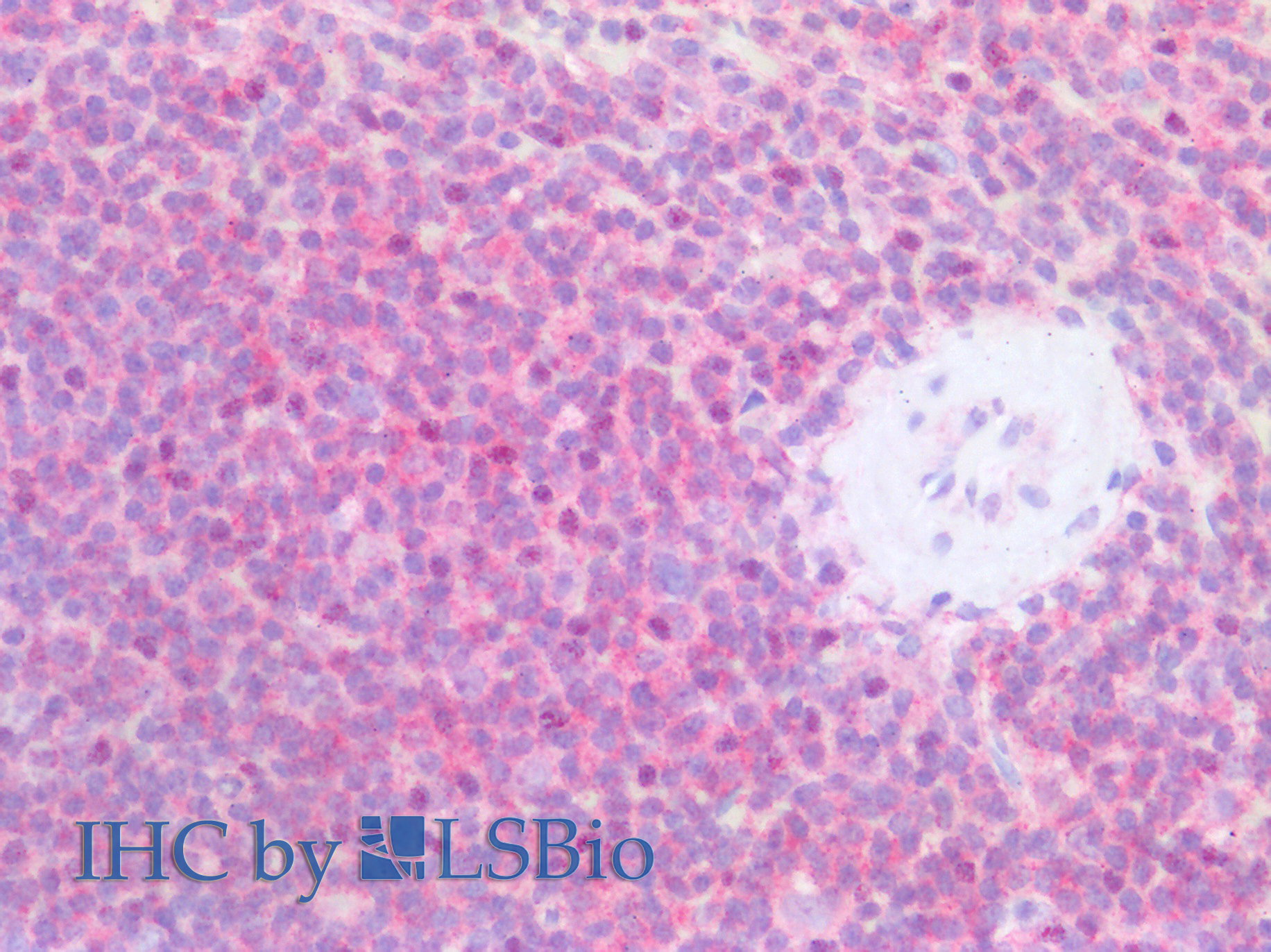
Immunohistochemistry staining of human spleen (paraffin-embedded sections) with anti-CD79b (CB3-1), 10 μg/ml. Commercially tested by LifeSpan BioSciences.
Product specific references:
Nakamura T, Kubagawa H, Cooper MD: Heterogeneity of immunoglobulin-associated molecules on human B cells identified by monoclonal antibodies. Proc Natl Acad Sci U S A. 1992 Sep 15;89(18):8522-6.
PubMed
Zheng B, Fuji RN, Elkins K, Yu SF, Fuh FK, Chuh J, Tan C, Hongo JA, Raab H, Kozak KR, Williams M, McDorman E, Eaton D, Ebens A, Polson AG: In vivo effects of targeting CD79b with antibodies and antibody-drug conjugates. Mol Cancer Ther. 2009 Oct;8(10):2937-46.
PubMed
Garcia Vela J, Delgado I, Benito L, Monteserin M, Garcia Alonso L, Somolinos N, Andreu M, Oña F: CD79b expression in B cell chronic lymphocytic leukemia: its implication for minimal residual disease detection. Leukemia. 1999 Oct;13(10):1501-5.
PubMed
Rassenti LZ, Kipps TJ: Expression of Ig-beta (CD79b) by chronic lymphocytic leukemia B cells that lack immunoglobulin heavy-chain allelic exclusion. Blood. 2000 Apr 15;95(8):2725-7.
PubMed
Dornan D, Bennett F, Chen Y, Dennis M, Eaton D, Elkins K, French D, Go MA, Jack A, Junutula JR, Koeppen H, Lau J, McBride J, Rawstron A, Shi X, Yu N, Yu SF, Yue P, Zheng B, Ebens A, Polson AG: Therapeutic potential of an anti-CD79b antibody-drug conjugate, anti-CD79b-vc-MMAE, for the treatment of non-Hodgkin lymphoma. Blood. 2009 Sep 24;114(13):2721-9.
PubMed
Matutes E: New additions to antibody panels in the characterisation of chronic lymphoproliferative disorders. J Clin Pathol. 2002 Mar;55(3):180-3.
PubMed
D'Arena G, Cascavilla N, Musto P, Colella Bisogno R, Pistolese G, Carotenuto M: CD79b expression in B-cell chronic lymphocytic leukemia. Haematologica. 2000 May;85(5):556-7.
PubMed
Further SDS language mutations available for download below. Please contact us with request for additional languages on info@exbio.cz
MPAbNaN3_SDS_v1_AU.pdf
MPAbNaN3_SDS_v1_GB.pdf
MPAbNaN3_SDS_v1_TR.pdf
MPAbNaN3_SDS_v6_AT.pdf
MPAbNaN3_SDS_v6_CH.pdf
MPAbNaN3_SDS_v6_CS.pdf
MPAbNaN3_SDS_v6_EN.pdf
MPAbNaN3_SDS_v6_ES.pdf
MPAbNaN3_SDS_v6_FR.pdf
MPAbNaN3_SDS_v6_IT.pdf
MPAbNaN3_SDS_v6_NO.pdf
MPAbNaN3_SDS_v6_PL.pdf
MPAbNaN3_SDS_v6_PT.pdf
MPAbNaN3_SDS_v6_SE.pdf
MPAbNaN3_SDS_v6_SK.pdf
MPAbNaN3_SDS_v6_SL.pdf
MPAbNaN3_SDS_v7_DE.pdf
Variant
0.1 mg
11-676-C100
In stock
147.40 USD
0.025 mg
11-676-C025
Delivery 1 week
73.70 USD
Variant
0.1 mg
11-676-C100
In stock
147.40 USD
0.025 mg
11-676-C025
Delivery 1 week
73.70 USD
Contact distributor
Datasheet download
Bulk requests
Technical support for this product
Related products
ED7066
EXCELLYSE Easy
-134%
Clone
Reg. status
CE IVD
Application
FC
100 ml
220.00 USD
ED7065
EXCELLYSE I
-134%
Clone
Reg. status
CE IVD
Application
FC
100 ml
66.00 USD
ED7068
EXCELLYSE Live
-134%
Clone
Reg. status
RUO
Application
FC
100 ml
55.00 USD
11-457-C100
Mouse IgG1 Isotype Control Purified
-134%
Clone
PPV-06
Reg. status
RUO
Application
ELISA, FC, FC-IC, IP, WB, IHC-F, IHC-P, ICC
0.1 mg
118.80 USD
11-632-C100
Mouse IgG1 Isotype Control Purified
-134%
Clone
MOPC-21
Reg. status
RUO
Application
ELISA, FC, FC-IC, IP, WB, IHC-F, IHC-P, ICC
0.1 mg
118.80 USD
Continue to checkout
×
Zavřít