Clinical products
Premium antibodies (GMP)
Intracellular staining
Surface staining
Hematology
Kits
Lysing solutions
Multicolor cocktails
Single color antibodies
Immunodeficiency
Kits
Lysing solutions
Mitogens
Multicolor cocktails
Single color antibodies
Reproductive immunology
Kits
Lysing solutions
Multicolor cocktails
New products
Allergy
Kits
Recombinant allergens
Allergen extracts
Other allergens
Research products
Antibodies
CD and related antigens
Blood group antigens
Multicolor cocktails
Serum, plasma, and secreted proteins
Cytoskeleton and ECM
Isotype controls
MHC antigens
Nucleus
Other intracellular antigens
Small organic molecules
Tags and labels
Microbiology and virology
Accessory reagents
Annexin V
DNA-binding probes
Lineage cocktail
Lysing solutions
Recombinant proteins
Streptavidin
Recombinant allergens
Animal
Food
House Dust Mite
Mold
Pollen
Venom
Kits
New products
Dry Reagents
About exbio
Company
OEM and Commercial Supplies
Events and Conferences
Blog
Inquiries
Technical resources
International distributors
Contact
Jobs
IVDR
E-mail
*
Password
*
Remember me
Forgotten password
Log in
Register
E-mail
Send request
Log in
Exbio
—
Research products
—
Antibodies
—
CD and related antigens
—
Anti-Hu CD57 Purified
Anti-Hu CD57 Purified
Regulatory status
RUO
Antigen
CD57
Clone
TB01
Format
Purified
Reactivity
Human
Application
WB, FC (QC tested), IHC-F, IHC-P, ICC
Variant
0.1 mg
11-158-C100
In stock
147.40 USD
0.025 mg
11-158-C025
Delivery 1 week
73.70 USD
Variant
0.1 mg
11-158-C100
In stock
147.40 USD
0.025 mg
11-158-C025
Delivery 1 week
73.70 USD
Contact distributor
Product details
Description
Images
References
SDS download
Isotype
Mouse IgM
Specificity
The mouse monoclonal antibody TB01 recognizes CD57, a carbohydrate extracellular antigen present mainly on NK cells, NK T cells, and in neural tissue.
Workshop
HLDA VI: WS Code NK16
Application
WB, FC (QC tested), IHC-F, IHC-P, ICC
Application details
Flow cytometry: Recommended dilution: 1-4 μg/ml.
Immunohistochemistry: Recommended dilution: 5-10 μg/ml.
Reactivity
Human
Immunogen
A pool of neuroblastoma cell lines
Concentration
1 mg/ml
Preparation
Purified by sequential steps of physicochemical fractionation (differential precipitation and solid-phase chromatography methods).
Formulation
Tris buffered saline (TBS), pH 8.0, 15 mM sodium azide
Storage and handling
Store at 2-8°C. Do not freeze.
Exbio licence note
The product is intended For Research Use Only. Diagnostic or therapeutic applications are strictly forbidden. Products shall not be used for resale or transfer to third parties either as a stand-alone product or as a manufacture component of another product without written consent of EXBIO Praha, a.s. EXBIO Praha, a.s. will not be held responsible for patent infringement or any other violations of intellectual property rights that may occur with the use of the products. Orders for all products are accepted subject to the Term and Conditions available at www.exbio.cz. EXBIO, EXBIO Logo, and all other trademarks are property of EXBIO Praha, a.s.
Other names
HNK1, LEU7, 3-O-sulfoglucuronic acid beta1-3 Gal beta1-4 GlcNAc
Antigen description
CD57, also known as HNK1 or Leu7, is a sulphated trisaccharide (3-O-sulfoglucuronic acid beta1-3 Gal beta1-4 GlcNAc) attached to several glycoproteins, including CD56, myelin glycoprotein PO, and neural cell adhesion molecule L1, as well as on glycolipids and chondroitin sulphate proteoglycans in the nervous system. It serves as a NK cell marker and it is expressed on well differentiated prostate cancers and uveal and cutaneous melanoma. CD57+ T cells are implicated as suppressors of T-cell responses.
Entrez Gene ID
27087
UniProt ID
Q9P2W7
Flow cytometry analysis (surface staining) of human buffy coat cells with anti-human CD57 (TB01) purified, GAM-APC.
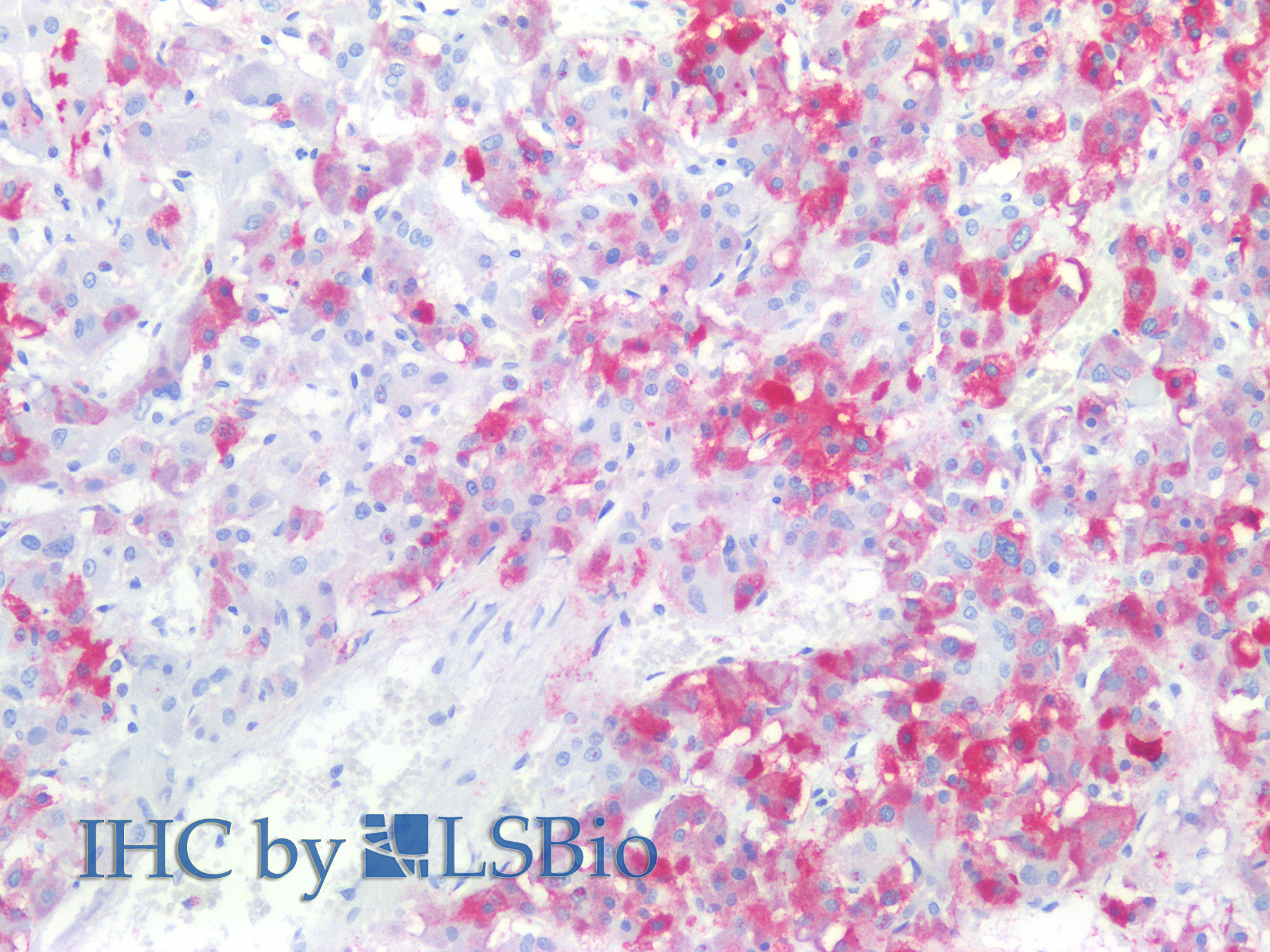
Immunohistochemistry staining of human adrenal gland (paraffin-embedded sections) with anti-CD57 (TB01), 10 μg/ml. Commercially tested by LifeSpan BioSciences.
Product specific references:
Lim SA, Kim TJ, Lee JE, Sonn CH, Kim K, Kim J, Choi JG, Choi IK, Yun CO, Kim JH, Yee C, Kumar V, Lee KM: Ex vivo expansion of highly cytotoxic human NK cells by cocultivation with irradiated tumor cells for adoptive immunotherapy. Cancer Res. 2013 Apr 15;73(8):2598-607.
PubMed
Cunha KS, Caruso AC, Faria PA, Silva LE, Fonseca EC, Geller M, de Moura-Neto RS, Lopes VS: Evaluation of Bcl-2, Bcl-x and cleaved caspase-3 in malignant peripheral nerve sheath tumors and neurofibromas. An Acad Bras Cienc. 2013;85(4):1497-511.
PubMed
Phadwal K, Alegre-Abarrategui J, Watson AS, Pike L, Anbalagan S, Hammond EM, Wade-Martins R, McMichael A, Klenerman P, Simon AK: A novel method for autophagy detection in primary cells: impaired levels of macroautophagy in immunosenescent T cells. Autophagy. 2012 Apr;8(4):677-89.
PubMed
Marquardt N, Béziat V, Nyström S, Hengst J, Ivarsson MA, Kekäläinen E, Johansson H, Mjösberg J, Westgren M, Lankisch TO, Wedemeyer H, Ellis EC, Ljunggren HG, Michaëlsson J, Björkström NK: Cutting edge: identification and characterization of human intrahepatic CD49a+ NK cells. J Immunol. 2015 Mar 15;194(6):2467-71.
PubMed
Wangerin H, Kristiansen G, Schlomm T, Stephan C, Gunia S, Zimpfer A, Weichert W, Sauter G, Erbersdobler A: CD57 expression in incidental, clinically manifest, and metastatic carcinoma of the prostate. Biomed Res Int. 2014;2014:356427.
PubMed
Fernandez S, French MA, Price P: Immunosenescent CD57+CD4+ T-cells accumulate and contribute to interferon-γ responses in HIV patients responding stably to ART. Dis Markers. 2011;31(6):337-42.
PubMed
Further SDS language mutations available for download below. Please contact us with request for additional languages on info@exbio.cz
MPAbNaN3_SDS_v1_AU.pdf
MPAbNaN3_SDS_v1_GB.pdf
MPAbNaN3_SDS_v1_TR.pdf
MPAbNaN3_SDS_v6_AT.pdf
MPAbNaN3_SDS_v6_CH.pdf
MPAbNaN3_SDS_v6_CS.pdf
MPAbNaN3_SDS_v6_EN.pdf
MPAbNaN3_SDS_v6_ES.pdf
MPAbNaN3_SDS_v6_FR.pdf
MPAbNaN3_SDS_v6_IT.pdf
MPAbNaN3_SDS_v6_NO.pdf
MPAbNaN3_SDS_v6_PL.pdf
MPAbNaN3_SDS_v6_PT.pdf
MPAbNaN3_SDS_v6_SE.pdf
MPAbNaN3_SDS_v6_SK.pdf
MPAbNaN3_SDS_v6_SL.pdf
MPAbNaN3_SDS_v7_DE.pdf
Variant
0.1 mg
11-158-C100
In stock
147.40 USD
0.025 mg
11-158-C025
Delivery 1 week
73.70 USD
Variant
0.1 mg
11-158-C100
In stock
147.40 USD
0.025 mg
11-158-C025
Delivery 1 week
73.70 USD
Contact distributor
Datasheet download
Bulk requests
Technical support for this product
Related products
ED7066
EXCELLYSE Easy
-134%
Clone
Reg. status
CE IVD
Application
FC
100 ml
220.00 USD
ED7065
EXCELLYSE I
-134%
Clone
Reg. status
CE IVD
Application
FC
100 ml
66.00 USD
ED7068
EXCELLYSE Live
-134%
Clone
Reg. status
RUO
Application
FC
100 ml
55.00 USD
11-803-C100
Mouse IgM Isotype Control Purified
-134%
Clone
PFR-03
Reg. status
RUO
Application
ELISA, FC, FC-IC, IP, WB, IHC-F, IHC-P, ICC
0.1 mg
118.80 USD
Continue to checkout
×
Zavřít