Clinical products
Premium antibodies (GMP)
Intracellular staining
Surface staining
Hematology
Kits
Lysing solutions
Multicolor cocktails
Single color antibodies
Immunodeficiency
Kits
Lysing solutions
Mitogens
Multicolor cocktails
Single color antibodies
Reproductive immunology
Kits
Lysing solutions
Multicolor cocktails
New products
Allergy
Kits
Recombinant allergens
Allergen extracts
Other allergens
Research products
Antibodies
CD and related antigens
Blood group antigens
Multicolor cocktails
Serum, plasma, and secreted proteins
Cytoskeleton and ECM
Isotype controls
MHC antigens
Nucleus
Other intracellular antigens
Small organic molecules
Tags and labels
Microbiology and virology
Accessory reagents
Annexin V
DNA-binding probes
Lineage cocktail
Lysing solutions
Recombinant proteins
Streptavidin
Recombinant allergens
Animal
Food
House Dust Mite
Mold
Pollen
Venom
Kits
New products
Dry Reagents
About exbio
Company
OEM and Commercial Supplies
Events and Conferences
Blog
Inquiries
Technical resources
International distributors
Contact
Jobs
IVDR
E-mail
*
Password
*
Remember me
Forgotten password
Log in
Register
E-mail
Send request
Log in
Exbio
—
Research products
—
Antibodies
—
CD and related antigens
—
Anti-Hu CD43 Purified Low Endotoxin
Anti-Hu CD43 Purified Low Endotoxin
Regulatory status
RUO
Antigen
CD43
Clone
MEM-59
Format
Purified Low Endotoxin
Reactivity
Human
Application
IP, WB, FC (QC tested), IHC-P, FUNC
Variant
0.1 mg
12-220-C100
In stock
158.40 USD
Variant
0.1 mg
12-220-C100
In stock
158.40 USD
Contact distributor
Product details
Description
Images
References
SDS download
Isotype
Mouse IgG1
Specificity
The antibody MEM-59 recognizes a neuraminidase-sensitive extracellular epitope on CD43 (Leukosialin), a 95-135 kDa type I transmembrane glycoprotein (mucin-type) which is involved in lymphocyte activation. CD43 is expressed by platelets and at high levels on the surface of all leukocytes; it is negative on resting B lymphocytes and erythrocytes.
Workshop
HLDA IV: WS Code NL 604; HLDA V: WS Code AS S290
Application
IP, WB, FC (QC tested), IHC-P, FUNC
Application details
Functional application: The antibody MEM-59 activates T lymphocytes and also induces apoptosis in hemopoietic progenitor cells.
Flow cytometry: Recommended dilution: 1-5 μg/ml.
Immunohistochemistry (paraffin sections): Positive tissue: spleen, thymus, tonsil; recommended dilution: 10 μg/ml.
Reactivity
Human
Immunogen
Human T lymphocytes.
Concentration
1 mg/ml
Preparation
Purified by protein-A affinity chromatography.
Formulation
Phosphate buffered saline (PBS), pH 7.4
Storage and handling
Store at 2-8°C. Do not freeze.
Exbio licence note
The product is intended For Research Use Only. Diagnostic or therapeutic applications are strictly forbidden. Products shall not be used for resale or transfer to third parties either as a stand-alone product or as a manufacture component of another product without written consent of EXBIO Praha, a.s. EXBIO Praha, a.s. will not be held responsible for patent infringement or any other violations of intellectual property rights that may occur with the use of the products. Orders for all products are accepted subject to the Term and Conditions available at www.exbio.cz. EXBIO, EXBIO Logo, and all other trademarks are property of EXBIO Praha, a.s.
Other names
Leukosialin, Sialophorin, Galactoglycoprotein, GALGP, LSN, SPN, GALGP, GP5
Antigen description
CD43 (leukosialin, sialophorin) is a transmembrane mucin-like protein with high negative charge, expressed on the surface of most hematopoietic cells. CD43 contributes to a repulsive barrier that interferes with cellular adhesion, however, in certain cases also promotes leukocyte aggregation. By interaction with actin-binding proteins ezrin and moesin CD43 plays a regulatory role in remodeling T-cell morphology and regulates cell-cell interactions during lymphocyte traffic. CD43 signaling both enhances LFA-1 adhesiveness and counteracts LFA-1 induction via other receptors. Expression of CD43 causes induction of functionally active tumour suppressor p53 protein, but in case of p53 and ARF defficiency CD43 promotes tumour proliferation and viability. It appears to be an important modulator of leukocyte functions.
Entrez Gene ID
6693
UniProt ID
P16150
Separation of human CD43 positive lymphocytes (red-filled) from human CD43 negative blood debris (black-dashed) in flow cytometry analysis (surface staining) of human peripheral blood stained using anti-human CD43 (MEM-59) purified antibody (concentration in sample 2 μg/ml, GAM APC).
Flow cytometry surface staining pattern of human peripheral blood stained using anti-human CD43 (MEM-59) purified antibody (concentration in sample 2 μg/ml, GAM APC).
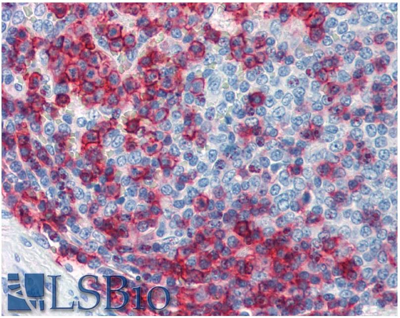
Immunohistochemistry staining of human spleen (paraffin sections) using anti-CD43 (MEM-59). Commercially tested by LifeSpan BioSciences.
General references:
Kadaja L, Laos S, Maimets T: Overexpression of leukocyte marker CD43 causes activation of the tumor suppressor proteins p53 and ARF. Oncogene. 2004 Apr 1;23(14):2523-30.
PubMed
Khunkaewla P, Schiller HB, Paster W, Leksa V, Cermák L, Anděra L, Hořejší V, Stockinger H: LFA-1-mediated leukocyte adhesion regulated by interaction of CD43 with LFA-1 and CD147. Mol Immunol. 2007 Nov 8
PubMed
Kadaja-Saarepuu L, Laos S, Jääger K, Viil J, Balikova A, Lõoke M, Hansson GC, Maimets T: CD43 promotes cell growth and helps to evade FAS-mediated apoptosis in non-hematopoietic cancer cells lacking the tumor suppressors p53 or ARF. Oncogene. 2007 Sep 24
PubMed
Mody PD, Cannon JL, Bandukwala HS, Blaine KM, Schilling AB, Swier K, Sperling AI: Signaling through CD43 regulates CD4 T-cell trafficking. Blood. 2007 Oct 15;110(8):2974-82.
PubMed
Stefanova I, Hilgert I, Kristofova H, Brown R, Low MG, Horejsi V: Characterization of a broadly expressed human leucocyte surface antigen MEM-43 anchored in membrane through phosphatidylinositol. Mol Immunol. 1989 nFeb;26(2):153-61.
PubMed
Product specific references:
Schatzlmaier P, Supper V, Göschl L, Zwirzitz A, Eckerstorfer P, Ellmeier W, Huppa JB, Stockinger H: Rapid multiplex analysis of lipid raft components with single-cell resolution. Sci Signal. 2015 Sep 22;8(395):rs11
PubMed
Filatov AV, Krotov GI, Zgoda VG, Volkov Y: Fluorescent immunoprecipitation analysis of cell surface proteins: a methodology compatible with mass-spectrometry. J Immunol Methods. 2007 Jan 30;319(1-2):21-33.
PubMed
Cermak L, Simova S, Pintzas A, Horejsi V, Andera L: Molecular mechanisms involved in CD43-mediated apoptosis of TF-1 cells. Roles of transcription Daxx expression, and adhesion molecules. J Biol Chem. 2002 Mar 8;277(10):7955-61.
PubMed
Simova S, Klima M, Cermak L, Sourkova V, Andera L: Arf and Rho GAP adapter protein ARAP1 participates in the mobilization of TRAIL-R1/DR4 to the plasma membrane. Apoptosis. 2008 Mar;13(3):423-36.
PubMed
Leukocyte Typing VI., Kishimoto T. et al. (Eds.), Garland Publishing Inc. (1997).
Alvarado M, Klassen C, Cerny J, Horejsi V, Schmidt RE: MEM-59 monoclonal antibody detects a CD43 epitope involved in lymphocyte activation. Eur J Immunol. 1995 Apr;25(4):1051-5.
PubMed
Leukocyte Typing V., Schlossman S. et al. (Eds.), Oxford University Press (1995).
Leukocyte Typing IV., Knapp W. et al. (Eds.), Oxford University Press (1989).
Stefanova I, Hilgert I, Angelisova P, Kristofova H, Horejsi V: Characterization of a 95 kDa human leucocyte sialoglycoprotein: its identity with CD43, gpL115, leukosialin and sialophorin. Folia Biol (Praha). 1988;34(4):255-65.
PubMed
Blixt O, Lavrova OI, Mazurov DV, Cló E, Kracun SK, Bovin NV, Filatov AV: Analysis of Tn antigenicity with a panel of new IgM and IgG1 monoclonal antibodies raised against leukemic cells. Glycobiology. 2012 Apr;22(4):529-42.
PubMed
Further SDS language mutations available for download below. Please contact us with request for additional languages on info@exbio.cz
MPAb_SDS_v1_GB.pdf
MPAb_SDS_v1_TR.pdf
MPAb_SDS_v6_AT.pdf
MPAb_SDS_v6_CH.pdf
MPAb_SDS_v6_CS.pdf
MPAb_SDS_v6_EN.pdf
MPAb_SDS_v6_ES.pdf
MPAb_SDS_v6_FR.pdf
MPAb_SDS_v6_IT.pdf
MPAb_SDS_v6_NO.pdf
MPAb_SDS_v6_PL.pdf
MPAb_SDS_v6_PT.pdf
MPAb_SDS_v6_SE.pdf
MPAb_SDS_v6_SK.pdf
MPAb_SDS_v6_SL.pdf
MPAb_SDS_v7_DE.pdf
Variant
0.1 mg
12-220-C100
In stock
158.40 USD
Variant
0.1 mg
12-220-C100
In stock
158.40 USD
Contact distributor
Datasheet download
Bulk requests
Technical support for this product
Related products
ED7066
EXCELLYSE Easy
-134%
Clone
Reg. status
CE IVD
Application
FC
100 ml
220.00 USD
ED7065
EXCELLYSE I
-134%
Clone
Reg. status
CE IVD
Application
FC
100 ml
66.00 USD
ED7068
EXCELLYSE Live
-134%
Clone
Reg. status
RUO
Application
FC
100 ml
55.00 USD
12-632-C100
Mouse IgG1 Isotype Control Purified Low Endotoxin
-134%
Clone
MOPC-21
Reg. status
RUO
Application
ELISA, FC, FC-IC, IP, WB, IHC-F, IHC-P, ICC, FUNC
0.1 mg
118.80 USD
Continue to checkout
×
Zavřít