Clinical products
Premium antibodies (GMP)
Intracellular staining
Surface staining
Hematology
Kits
Lysing solutions
Multicolor cocktails
Single color antibodies
Immunodeficiency
Kits
Lysing solutions
Mitogens
Multicolor cocktails
Single color antibodies
Reproductive immunology
Kits
Lysing solutions
Multicolor cocktails
New products
Allergy
Kits
Recombinant allergens
Allergen extracts
Other allergens
Research products
Antibodies
CD and related antigens
Blood group antigens
Multicolor cocktails
Serum, plasma, and secreted proteins
Cytoskeleton and ECM
Isotype controls
MHC antigens
Nucleus
Other intracellular antigens
Small organic molecules
Tags and labels
Microbiology and virology
Accessory reagents
Annexin V
DNA-binding probes
Lineage cocktail
Lysing solutions
Recombinant proteins
Streptavidin
Recombinant allergens
Animal
Food
House Dust Mite
Mold
Pollen
Venom
Kits
New products
Dry Reagents
About exbio
Company
OEM and Commercial Supplies
Events and Conferences
Blog
Inquiries
Technical resources
International distributors
Contact
Jobs
IVDR
E-mail
*
Password
*
Remember me
Forgotten password
Log in
Register
E-mail
Send request
Log in
Exbio
—
Research products
—
Antibodies
—
CD and related antigens
—
Anti-Hu CD28 Purified
Anti-Hu CD28 Purified
Regulatory status
RUO
Antigen
CD28
Clone
CD28.2
Format
Purified
Reactivity
Non-human primates, Human
Application
IP, WB, FC (QC tested), IHC-F, ICC
Variant
0.1 mg
11-577-C100
In stock
147.40 USD
0.025 mg
11-577-C025
Delivery 1 week
73.70 USD
Variant
0.1 mg
11-577-C100
In stock
147.40 USD
0.025 mg
11-577-C025
Delivery 1 week
73.70 USD
Contact distributor
Product details
Description
Images
References
SDS download
Isotype
Mouse IgG1 kappa
Specificity
The mouse monoclonal antibody CD28.2 recognizes an extracellular epitope of CD28, a disulfide-linked homodimeric type I glycoprotein (monomer of Mw 44 kDa) which is a critical costimulatory receptor of T cells.
Workshop
HLDA V: WS Code 5T CD28.05
Application
IP, WB, FC (QC tested), IHC-F, ICC
Application details
Flow cytometry: Recommended dilution: 1-12 µg/ml.
Western blotting: Recommended dilution: 1-2 µg/ml.
Reactivity
Non-human primates, Human
Immunogen
DC28.1.3.3 murine T cell hybridoma transfected with human CD28 cDNA
Concentration
1 mg/ml
Preparation
Purified by protein-A affinity chromatography.
Formulation
Phosphate buffered saline (PBS), pH 7.4, 15 mM sodium azide
Storage and handling
Store at 2-8°C. Do not freeze.
Exbio licence note
The product is intended For Research Use Only. Diagnostic or therapeutic applications are strictly forbidden. Products shall not be used for resale or transfer to third parties either as a stand-alone product or as a manufacture component of another product without written consent of EXBIO Praha, a.s. EXBIO Praha, a.s. will not be held responsible for patent infringement or any other violations of intellectual property rights that may occur with the use of the products. Orders for all products are accepted subject to the Term and Conditions available at www.exbio.cz. EXBIO, EXBIO Logo, and all other trademarks are property of EXBIO Praha, a.s.
Other names
TP44
Antigen description
CD28 is the critical T cell costimulatory receptor which provides to the cell the important second activation signal by binding CD80 and CD86 that are expressed by antigen presenting cells. Besides its costimulation role CD28 functions in preventing T cells from anergic hyporesponsive state or from undergoing premature apoptotic cell death. CD28 is also expressed on human fetal NK cells and some NK cell lines, whereas on murine NK cells the CD28 expression is much broader.
Entrez Gene ID
940
UniProt ID
P10747
Flow cytometry surface staining pattern of human peripheral blood stained using anti-human CD28 (CD28.2) purified antibody (concentration in sample 1,6 μg/ml) GAM APC.
Separation of human CD28 positive lymphocytes (red-filled) from neutrophil granulocytes (black-dashed) in flow cytometry analysis (surface staining) of human peripheral whole blood stained using anti-human CD28 (CD28.2) purified antibody (concentration in sample 1,6 μg/ml) GAM APC.
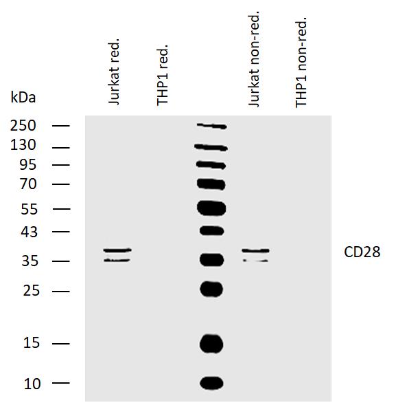
Western blotting analysis of human CD28 using mouse monoclonal antibody CD28.2 on lysates of Jurkat cells and THP1 cells (negative control) under reducing and non-reducing conditions. Nitrocellulose membrane was probed with 2 µg/ml of mouse monoclonal antibody followed by IRDye800-conjugated anti-mouse secondary antibody. CD28 was detected around 35-40 kDa.
Product specific references:
Marti F, Krause A, Post NH, Lyddane C, Dupont B, Sadelain M, King PD: Negative-feedback regulation of CD28 costimulation by a novel mitogen-activated protein kinase phosphatase, MKP6. J Immunol. 2001 Jan 1;166(1):197-206.
PubMed
Scharschmidt E, Wegener E, Heissmeyer V, Rao A, Krappmann D: Degradation of Bcl10 induced by T-cell activation negatively regulates NF-kappa B signaling. Mol Cell Biol. 2004 May;24(9):3860-73.
PubMed
Jeong SH, Qiao M, Nascimbeni M, Hu Z, Rehermann B, Murthy K, Liang TJ. Immunization with hepatitis C virus-like particles induces humoral and cellular immune responses in nonhuman primates. J Virol. 2004 Jul;78(13):6995-7003.
PubMed
Nunès J, Klasen S, Ragueneau M, Pavon C, Couez D, Mawas C, Bagnasco M, Olive D: CD28 mAbs with distinct binding properties differ in their ability to induce T cell activation: analysis of early and late activation events. Int Immunol. 1993 Mar;5(3):311-5.
PubMed
Nunes J, Klasen S, Franco MD, Lipcey C, Mawas C, Bagnasco M, Olive D: Signalling through CD28 T-cell activation pathway involves an inositol phospholipid-specific phospholipase C activity. Biochem J. 1993 Aug 1;293 ( Pt 3):835-42.
PubMed
Schlossman, S., et al., Eds. 1995. Leucocyte Typing V. Oxford University Press. New York.
Galea-Lauri J, Darling D, Gan SU, Krivochtchapov L, Kuiper M, Gäken J, Souberbielle B, Farzaneh F: Expression of a variant of CD28 on a subpopulation of human NK cells: implications for B7-mediated stimulation of NK cells. J Immunol. 1999 Jul 1;163(1):62-70.
PubMed
Tazi A, Moreau J, Bergeron A, Dominique S, Hance AJ, Soler P: Evidence that Langerhans cells in adult pulmonary Langerhans cell histiocytosis are mature dendritic cells: importance of the cytokine microenvironment. J Immunol. 1999 Sep 15;163(6):3511-5.
PubMed
Mary C, Coulon F, Poirier N, Dilek N, Martinet B, Blancho G, Vanhove B: Antagonist properties of monoclonal antibodies targeting human CD28: Role of valency and the heavy-chain constant domain. MAbs Jan-Feb 2013;5(1):47-55.
PubMed
Further SDS language mutations available for download below. Please contact us with request for additional languages on info@exbio.cz
MPAbNaN3_SDS_v1_AU.pdf
MPAbNaN3_SDS_v1_GB.pdf
MPAbNaN3_SDS_v1_TR.pdf
MPAbNaN3_SDS_v6_AT.pdf
MPAbNaN3_SDS_v6_CH.pdf
MPAbNaN3_SDS_v6_CS.pdf
MPAbNaN3_SDS_v6_EN.pdf
MPAbNaN3_SDS_v6_ES.pdf
MPAbNaN3_SDS_v6_FR.pdf
MPAbNaN3_SDS_v6_IT.pdf
MPAbNaN3_SDS_v6_NO.pdf
MPAbNaN3_SDS_v6_PL.pdf
MPAbNaN3_SDS_v6_PT.pdf
MPAbNaN3_SDS_v6_SE.pdf
MPAbNaN3_SDS_v6_SK.pdf
MPAbNaN3_SDS_v6_SL.pdf
MPAbNaN3_SDS_v7_DE.pdf
Variant
0.1 mg
11-577-C100
In stock
147.40 USD
0.025 mg
11-577-C025
Delivery 1 week
73.70 USD
Variant
0.1 mg
11-577-C100
In stock
147.40 USD
0.025 mg
11-577-C025
Delivery 1 week
73.70 USD
Contact distributor
Datasheet download
Bulk requests
Technical support for this product
Related products
ED7066
EXCELLYSE Easy
-134%
Clone
Reg. status
CE IVD
Application
FC
100 ml
220.00 USD
ED7065
EXCELLYSE I
-134%
Clone
Reg. status
CE IVD
Application
FC
100 ml
66.00 USD
ED7068
EXCELLYSE Live
-134%
Clone
Reg. status
RUO
Application
FC
100 ml
55.00 USD
11-457-C100
Mouse IgG1 Isotype Control Purified
-134%
Clone
PPV-06
Reg. status
RUO
Application
ELISA, FC, FC-IC, IP, WB, IHC-F, IHC-P, ICC
0.1 mg
118.80 USD
11-632-C100
Mouse IgG1 Isotype Control Purified
-134%
Clone
MOPC-21
Reg. status
RUO
Application
ELISA, FC, FC-IC, IP, WB, IHC-F, IHC-P, ICC
0.1 mg
118.80 USD
Continue to checkout
×
Zavřít