Clinical products
Premium antibodies (GMP)
Intracellular staining
Surface staining
Hematology
Kits
Lysing solutions
Multicolor cocktails
Single color antibodies
Immunodeficiency
Kits
Lysing solutions
Mitogens
Multicolor cocktails
Single color antibodies
Reproductive immunology
Kits
Lysing solutions
Multicolor cocktails
New products
Allergy
Kits
Recombinant allergens
Allergen extracts
Other allergens
Research products
Antibodies
CD and related antigens
Blood group antigens
Multicolor cocktails
Serum, plasma, and secreted proteins
Cytoskeleton and ECM
Isotype controls
MHC antigens
Nucleus
Other intracellular antigens
Small organic molecules
Tags and labels
Microbiology and virology
Accessory reagents
Annexin V
DNA-binding probes
Lineage cocktail
Lysing solutions
Recombinant proteins
Streptavidin
Recombinant allergens
Animal
Food
House Dust Mite
Mold
Pollen
Venom
Kits
New products
Dry Reagents
About exbio
Company
OEM and Commercial Supplies
Events and Conferences
Blog
Inquiries
Technical resources
International distributors
Contact
Jobs
IVDR
E-mail
*
Password
*
Remember me
Forgotten password
Log in
Register
E-mail
Send request
Log in
Exbio
—
Research products
—
Antibodies
—
CD and related antigens
—
Anti-CDK1 Purified
Anti-CDK1 Purified
Regulatory status
RUO
Antigen
CDK1
Clone
POH-1
Format
Purified
Reactivity
Cow, Non-human primates, Human
Application
IP, WB, IHC-P, ICC
Variant
0.1 mg
11-115-C100
In stock
169.40 USD
0.025 mg
11-115-C025
Delivery 1 week
84.70 USD
Variant
0.1 mg
11-115-C100
In stock
169.40 USD
0.025 mg
11-115-C025
Delivery 1 week
84.70 USD
Contact distributor
Product details
Description
Images
References
SDS download
Isotype
Mouse IgG2a
Specificity
The antibody POH-1 specifically detects Cdk1 (p34Cdc2; an intracellular antigen). Staining of Cdk1 reflects the proliferating potential of respective tissue.
Application
IP, WB, IHC-P, ICC
Application details
Immunohistochemistry (paraffin sections): Recommended dilution: 10 μg/ml; positive tissue: thymus.
Western blotting: Recommended dilution: 1-2 μg/ml.
Reactivity
Cow, Non-human primates, Human
Negative species
Mouse, Drosophila, Rat, Xenopus
Immunogen
Bacterially expressed full-length human Cdk1 protein
Concentration
1 mg/ml
Preparation
Purified by protein-A affinity chromatography.
Formulation
Phosphate buffered saline (PBS), pH 7.4, 15 mM sodium azide
Storage and handling
Store at 2-8°C. Do not freeze.
Exbio licence note
The product is intended For Research Use Only. Diagnostic or therapeutic applications are strictly forbidden. Products shall not be used for resale or transfer to third parties either as a stand-alone product or as a manufacture component of another product without written consent of EXBIO Praha, a.s. EXBIO Praha, a.s. will not be held responsible for patent infringement or any other violations of intellectual property rights that may occur with the use of the products. Orders for all products are accepted subject to the Term and Conditions available at www.exbio.cz. EXBIO, EXBIO Logo, and all other trademarks are property of EXBIO Praha, a.s.
Other names
p34Cdc2, p34 protein kinase, CDK1, CDC2, CDC28A
Antigen description
Cdk1 (cyclin-dependent kinase 1), also known as p34Cdc2 (cell division control protein kinase 2) depends on cyclin A and B and is triggered by a positive feedback loop at the end of G2 phase, which is the key event that initiates mitotic entry. Destruction of cyclin B during metaphase results in inactivation of Cdk1, allowing mitotic exit and cell division. Cdk1 also contributes to the control of DNA replication. Cdk1 can be ihibited by several transcriptional targets of p53, such as p21WAF.
Entrez Gene ID
983
UniProt ID
B7Z3D6
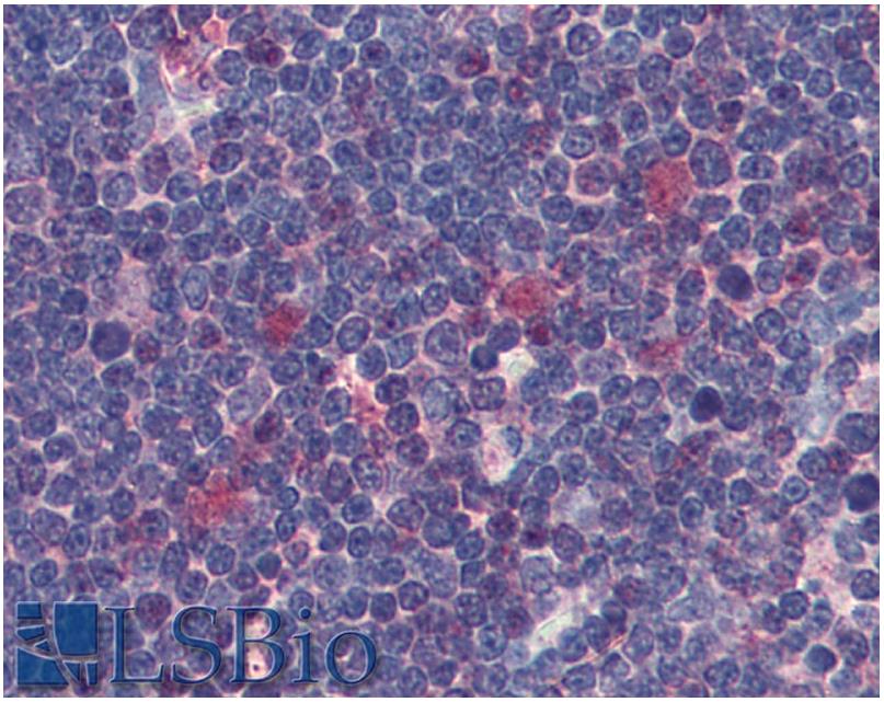
Immunohistochemistry staining of human thymus (paraffin sections) using anti-Cdk1 (clone POH-1). Commercially tested by LifeSpan BioSciences.
Western blotting analysis of human Cdk1 using mouse monoclonal antibody POH-1 on lysates of HeLa, MOLT-4, and Jurkat cells under reducing and non-reducing conditions. Nitrocellulose membrane was probed with 2 µg/ml of mouse anti-Cdk1 monoclonal antibody followed by IRDye800-conjugated anti-mouse secondary antibody. A specific band was detected for Cdk1 protein at approximately 32 kDa.
General references:
Liu ZG, Zhao LN, Liu YW, Li TT, Fan DM, Chen JJ: Activation of Cdc2 contributes to apoptosis in HPV E6 expressing human keratinocytes in response to therapeutic agents. J Mol Biol. 2007 Nov 23;374(2):334-45.
PubMed
Lindqvist A, van Zon W, Karlsson Rosenthal C, Wolthuis RM: Cyclin B1-Cdk1 activation continues after entrosome separation to control mitotic progression. PLoS Biol. 2007 May;5(5):e123.
PubMed
Hochegger H, Dejsuphong D, Sonoda E, Saberi A, Rajendra E, Kirk J, Hunt T, Takeda S: An essential role for Cdk1 in S phase control is revealed via chemical genetics in vertebrate cells. J Cell Biol. 2007 Jul 16;178(2):257-68.
PubMed
Product specific references:
Sikorski K, Mehta A, Inngjerdingen M, Thakor F, Kling S, Kalina T, Nyman TA, Stensland ME, Zhou W, de Souza GA, Holden L, Stuchly J, Templin M, Lund-Johansen F: A high-throughput pipeline for validation of antibodies. Nat Methods. 2018 Nov;15(11):909-912.
PubMed
Lukas J, Draetta G, Bartek J: Distinct forms of human CDC2 identified by novel monoclonal antibodies. Eur J Biochem. 1992 Jul 1;207(1):169-76.
PubMed
Further SDS language mutations available for download below. Please contact us with request for additional languages on info@exbio.cz
MPAbNaN3_SDS_v1_AU.pdf
MPAbNaN3_SDS_v1_GB.pdf
MPAbNaN3_SDS_v1_TR.pdf
MPAbNaN3_SDS_v6_AT.pdf
MPAbNaN3_SDS_v6_CH.pdf
MPAbNaN3_SDS_v6_CS.pdf
MPAbNaN3_SDS_v6_EN.pdf
MPAbNaN3_SDS_v6_ES.pdf
MPAbNaN3_SDS_v6_FR.pdf
MPAbNaN3_SDS_v6_IT.pdf
MPAbNaN3_SDS_v6_NO.pdf
MPAbNaN3_SDS_v6_PL.pdf
MPAbNaN3_SDS_v6_PT.pdf
MPAbNaN3_SDS_v6_SE.pdf
MPAbNaN3_SDS_v6_SK.pdf
MPAbNaN3_SDS_v6_SL.pdf
MPAbNaN3_SDS_v7_DE.pdf
Variant
0.1 mg
11-115-C100
In stock
169.40 USD
0.025 mg
11-115-C025
Delivery 1 week
84.70 USD
Variant
0.1 mg
11-115-C100
In stock
169.40 USD
0.025 mg
11-115-C025
Delivery 1 week
84.70 USD
Contact distributor
Datasheet download
Bulk requests
Technical support for this product
Related products
11-724-C100
Mouse IgG2a Isotype Control Purified
-134%
Clone
MOPC-173
Reg. status
RUO
Application
ELISA, FC, FC-IC, IP, WB, IHC-F, IHC-P, ICC
0.1 mg
118.80 USD
11-458-C100
Mouse IgG2a Isotype Control Purified
-134%
Clone
PPV-04
Reg. status
RUO
Application
ELISA, FC, FC-IC, IP, WB, IHC-F, IHC-P, ICC
0.1 mg
118.80 USD
Continue to checkout
×
Zavřít