Clinical products
Premium antibodies (GMP)
Intracellular staining
Surface staining
Hematology
Kits
Lysing solutions
Multicolor cocktails
Single color antibodies
Immunodeficiency
Kits
Lysing solutions
Mitogens
Multicolor cocktails
Single color antibodies
Reproductive immunology
Kits
Lysing solutions
Multicolor cocktails
New products
Allergy
Kits
Recombinant allergens
Allergen extracts
Other allergens
Research products
Antibodies
CD and related antigens
Blood group antigens
Multicolor cocktails
Serum, plasma, and secreted proteins
Cytoskeleton and ECM
Isotype controls
MHC antigens
Nucleus
Other intracellular antigens
Small organic molecules
Tags and labels
Microbiology and virology
Accessory reagents
Annexin V
DNA-binding probes
Lineage cocktail
Lysing solutions
Recombinant proteins
Streptavidin
Recombinant allergens
Animal
Food
House Dust Mite
Mold
Pollen
Venom
Kits
New products
Dry Reagents
About exbio
Company
OEM and Commercial Supplies
Events and Conferences
Blog
Inquiries
Technical resources
International distributors
Contact
Jobs
IVDR
E-mail
*
Password
*
Remember me
Forgotten password
Log in
Register
E-mail
Send request
Log in
Exbio
—
Research products
—
Antibodies
—
Blood group antigens
—
Anti-Sialyl Lewis a Purified
Anti-Sialyl Lewis a Purified
Regulatory status
RUO
Antigen
Sialyl Lewis a
Clone
121SLE
Format
Purified
Reactivity
Human
Application
ELISA, IHC-P
Variant
0.1 mg
11-285-C100
In stock
124.30 USD
0.025 mg
11-285-C025
Delivery 1 week
62.15 USD
Variant
0.1 mg
11-285-C100
In stock
124.30 USD
0.025 mg
11-285-C025
Delivery 1 week
62.15 USD
Contact distributor
Product details
Description
Images
References
SDS download
Isotype
Mouse IgM
Specificity
The antibody 121SLE recognizes Sialyl Lewis a-containing glycolipids (extracellular plasma membrane leaflet antigens).
Workshop
1st international workshop on Mabs against human red blood cell and related antigens, Paris, 1987
Application
ELISA, IHC-P
Application details
Immunohistochemistry (paraffin sections): Recommended dilution: 10 μg/ml; positive control: colorectal adenocarcinoma; heat mediated antigen retrieval (sodium citrate); mAb incubation 1 hour / RT; detection DAB.
Reactivity
Human
Immunogen
Immunoprecipitate obtained after immunodiffusion of MAb 19-9 and mucins isolated from an ovarian cyst of a 0Le(a+b-) patient.
Concentration
1 mg/ml
Preparation
Purified by sequential steps of physicochemical fractionation (differential precipitation and solid-phase chromatography methods).
Formulation
Tris buffered saline (TBS), pH 8.0, 15 mM sodium azide
Storage and handling
Store at 2-8°C. Do not freeze.
Exbio licence note
The product is intended For Research Use Only. Diagnostic or therapeutic applications are strictly forbidden. Products shall not be used for resale or transfer to third parties either as a stand-alone product or as a manufacture component of another product without written consent of EXBIO Praha, a.s. EXBIO Praha, a.s. will not be held responsible for patent infringement or any other violations of intellectual property rights that may occur with the use of the products. Orders for all products are accepted subject to the Term and Conditions available at www.exbio.cz. EXBIO, EXBIO Logo, and all other trademarks are property of EXBIO Praha, a.s.
Other names
CA-19.9
Immunohistochemistry staining of sialyl-Lewis a in colorectal adenocarcinoma (paraffin-embedded sections) with 121SLE antibody.
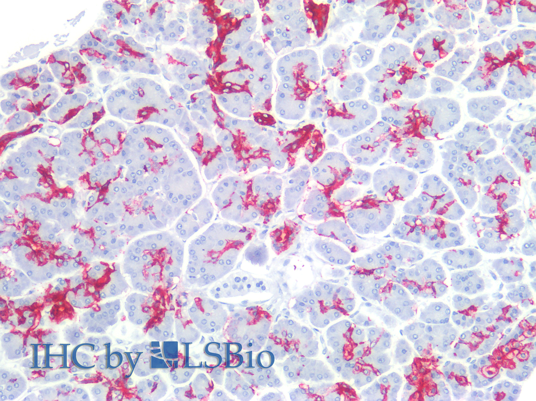
Immunohistochemistry staining of human pancreas (paraffin-embedded sections) with anti-sialyl Lewis a (121SLE), 10 μg/ml. Commercially tested by LifeSpan BioSciences.
Product specific references:
Rouger Ph. et al. (Eds.): Proceedings of the First International Workshop on monoclonal antibodies against human red blood cells and related antigens (Paris, 1987) published in: Blood Transfusion and Immunohaematology 30 (5), pp 353-720.
Rye PD, Bovin NV, Vlasova EV, Molodyk AA, Baryshnikov A, Kreutz FT, Garinther WI, Schultes BC, Noujaim AA, Madiyalakan R, Magnani J, Nilsson O, Nilsson K, Nustad K, Norum L, Bell H, Cao Y, Suresh MR, Very DL, Freeman JV, Yeung KK, Hilgers J: Summary report on the ISOBM TD-6 workshop: analysis of 20 monoclonal antibodies against Sialyl Lewisa and related antigens. Montreux, Switzerland, September 19-24, 1997. Tumour Biol. 1998;19(5):390-420.
PubMed
Further SDS language mutations available for download below. Please contact us with request for additional languages on info@exbio.cz
MPAbNaN3_SDS_v1_AU.pdf
MPAbNaN3_SDS_v1_GB.pdf
MPAbNaN3_SDS_v1_TR.pdf
MPAbNaN3_SDS_v6_AT.pdf
MPAbNaN3_SDS_v6_CH.pdf
MPAbNaN3_SDS_v6_CS.pdf
MPAbNaN3_SDS_v6_EN.pdf
MPAbNaN3_SDS_v6_ES.pdf
MPAbNaN3_SDS_v6_FR.pdf
MPAbNaN3_SDS_v6_IT.pdf
MPAbNaN3_SDS_v6_NO.pdf
MPAbNaN3_SDS_v6_PL.pdf
MPAbNaN3_SDS_v6_PT.pdf
MPAbNaN3_SDS_v6_SE.pdf
MPAbNaN3_SDS_v6_SK.pdf
MPAbNaN3_SDS_v6_SL.pdf
MPAbNaN3_SDS_v7_DE.pdf
Variant
0.1 mg
11-285-C100
In stock
124.30 USD
0.025 mg
11-285-C025
Delivery 1 week
62.15 USD
Variant
0.1 mg
11-285-C100
In stock
124.30 USD
0.025 mg
11-285-C025
Delivery 1 week
62.15 USD
Contact distributor
Datasheet download
Bulk requests
Technical support for this product
Continue to checkout
×
Zavřít