Cytoskeletal antigens in neurobiology


Although cytoskeleton is a ubiquitous intracellular system, several cytoskeletal proteins can be used as tissue specific markers, namely to indicate neural tissues.


βIII-Tubulin

The class III isoform of β-tubulin is present dominantly in cells of neuronal origin and it is one of the earliest markers of neuronal differentiation.

MAP2

Microtubule associated proteins 2a and 2b stabilize microtubules mainly in dendrites. They participate in determining the structure of different parts of vertebrate nerve cells.

Neurofilament proteins

Neurofilaments, the type of intermediate filaments expressed almost exclusively in neuronal cells, are abundant in large axons. In most vertebrates they are composed of three different polypeptide chains – neurofilament heavy, medium and light protein, which are for their high stability very useful neuronal markers.

GFAP

Glial fibrillary acidic protein is the principal marker of astroglial cells in the central nervous system, which is specifically expressed in satellite cells in peripheral ganglia and in non myelinating Schwann cells in peripheral nerves.



Tub.jpg
Fig. 1: Immunocytochemistry staining of P-19 murine embryonal carcinoma cell line stimulated to neuronal differentiation by retinoic acid. A - Microtubules decorated with neuron-specific anti-betaIII-tubulin (TU-20; red). B - Merged image of co-staining with anti-beta-tubulin (TU-06; green; cat. no. 11-251-C100). Superposition of red and green colours provided yellow staining. Nuclei were stained with DNA-binding dye (blue).

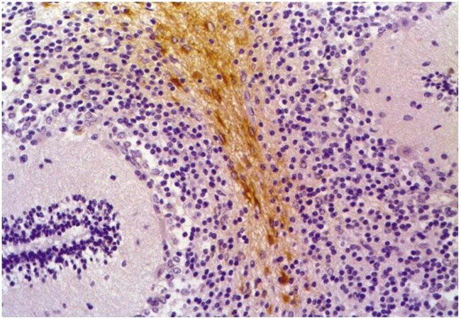
nf.jpg
Fig. 2: Immunohistochemistry staining of human cerebellum (paraffin-embedded sections) with anti-neurofilament heavy protein (NF-01).

gfap.jpg
Fig.3: Immunohistochemistry staining of human cerebellum (paraffin-embedded sections) with anti-GFAP (clone GF-01).

 

Neurobiology-related antibodies to cytoskeletal antigens:

 
Catalog no. Product name Clone Application
11-264-C100 Anti-betaIII-Tubulin Purified TU-20 WB, IHC(P), ICC, FC
1F-264-C100 Anti-betaIII-Tubulin FITC TU-20 FC
11-253-C100 Anti-MAP2 Purified MT-01 WB, ICC, IP
11-472-C100 Anti-MAP2 Purified MT-07 WB, IHC(P), IHC(F), ICC, IP, ELISA
11-473-C100 Anti-MAP2 Purified MT-08 WB, IHC(P), IHC(F), ICC, IP, ELISA
11-294-C100 Anti-Neurofilament M Purified NF-09 WB, IHC(P), ICC
11-440-C100 Anti-Neurofilament H Purified NF-05 WB, IHC(F), ELISA
11-256-C100 Anti-Neurofilament H Purified NF-01 WB, IHC(P), ICC
11-255-C100 Anti-GFAP Purified GF-01 WB, IHC(P), ICC, IP
11-441-C100 Anti-GFAP Purified GF-02 WB, IHC(P), IHC(F), ICC
11-583-C100 Anti-GFAP Purified GA-5 WB, IHC(P), ICC, IP
 

Would you like to have another antibody clones or formates? Let us know!

Contact: info@exbio.cz