Bcl2 at a glance

Bcl2 (B cell chronic lymphatic leukemia protein 2) is a 26 kDa protein localized in the membrane of endoplasmic reticulum, in the nuclear envelope and in outer mitochondrial membrane. It is an important proto-oncogen, which can contribute to tumorigenesis by counteracting apoptosis in various cell types. The anti-apoptotic effect of Bcl2 is performed by its interactions with suppressors and agonists of cell death and under physiological conditions it is regulated by proteolytic processing and phosphorylation. Its aberrant expression plays a key role in neoplastic transformation and is associated with resistance to cancer therapy. Bcl2 can be detected mainly in lymphoid tissues and in the basal cells of epithelial tissues. It can be used as a marker that can help in classification of lymphoproliferative diseases and epithelial neoplasms, and also as an important prognostic factor and predictive marker in human cancers. It has become a therapeutic target for selective inhibitors. Detection of Bcl2 also serves to identify dysplastic ganglion cells in pediatric patients with intestinal pseudo-obstruction disorder, which is crucial for thorough diagnosis and correct treatment.
  
The mouse monoclonal antibody Bcl-2/100 recognizes human Bcl2 in Western blotting, flow cytometry, immunoprecipitation, immunocytochemistry, and immunohistochemistry application. It does not cross-react with mouse.
 
Currently available formats:
purified                                  11-668-C100      
FITC                                       1F-668-T100
PE                                          1P-668-T100
APC                                       1A-668-T100
 
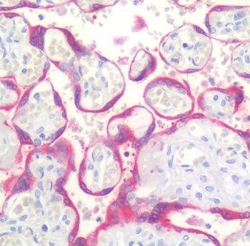
 Fig. 1: Expression of Bcl2 in human placenta detected by mouse monoclonal antibody Bcl-2/100 on paraffin sections.
 

 
 Fig. 2: Flow cytometry analysis (intracellular staining) of human peripheral blood by mouse monoclonal antibody Bcl-2/100. 

Further reading: 
Cook JR, Craig FE, Swerdlow SH: Bcl-2 expression by multicolor flow cytometric analysis assists in the diagnosis of follicular lymphoma in lymph node and bone marrow. Am J Clin Pathol. 2003 Jan;119(1):145-51.
 
Abdel-Fatah TM, Perry C, Dickinson P, Ball G, Moseley P, Madhusudan S, Ellis IO, Chan SY: Bcl2 is an independent prognostic marker of triple negative breast cancer (TNBC) and predicts response to anthracycline combination (ATC) chemotherapy (CT) in adjuvant and neoadjuvant settings. Ann Oncol. 2013 Nov;24(11):2801-7.
 
Punnoose EA, Leverson JD, Peale F, Boghaert ER, Belmont LD, Tan N, Young A, Mitten M, Ingalla E, Darbonne WC, Oleksijew A, Tapang P, Yue P, Oeh J, Lee L, Maiga S, Fairbrother WJ, Amiot M, Souers AJ, Sampath D: Expression profile of BCL-2, BCL-XL, and MCL-1 predicts pharmacological response to the BCL-2 selective antagonist venetoclax in multiple myeloma models. Mol Cancer Ther. 2016 May;15(5):1132-44.
 
Menter T, Medani H, Ahmad R, Flora R, Trivedi P, Reid A, Naresh KN: MYC and BCL2 evaluation in routine diagnostics of aggressive B-cell lymphomas - presentation of a work-flow and the experience with 248 cases. Br J Haematol. 2017 Nov;179(4):681-684.
 
Zhou JD, Zhang TJ, Xu ZJ, Gu Y, Ma JC, Li XX, Guo H, Wen XM, Zhang W, Yang L, Liu XH, Lin J, Qian J: BCL2 overexpression: clinical implication and biological insights in acute myeloid leukemia. Diagn Pathol. 2019 Jun 29;14(1):68.
 
Abd El Fattah Mohamed L, Hegazy NA, Abd El Aziz Ghazal F, El Din Zaki AM, Radwan AB, Hakim SA: Diagnostic utility of Bcl-2 immunohistochemical expression in pediatric functional bowel obstruction cases with ganglionated specimens. Annals of Pediatric Surgery 2022 18:73
 
Hussein MR, Ahmed AM: Expression profile of CD10, BCL-2, p63, and EMA in the normal skin and basal cell carcinomas: An immunohistochemical reappraisal. Actas Dermosifiliogr. 2022 Oct;113(9):848-855.
 
 
 

Would you like to have our antibodies in other formats? Let us know!

Contact: info@exbio.cz